Skip to main content

GOT2 Antibody (4J7O3)

Novus Biologicals, part of Bio-Techne | Catalog # NBP3-15708

Recombinant Monoclonal Antibody
Novus Biologicals, part of Bio-Techne
Catalog #
Availability
Size / Price
Qty
Loading...
NBP3-15708-100ul
NBP3-15708-20ul

Key Product Details

Species Reactivity

Human, Mouse, Rat

Applications

Immunohistochemistry, Immunohistochemistry-Paraffin, Western Blot

Label

Unconjugated

Antibody Source

Recombinant Monoclonal Rabbit IgG Clone # 4J7O3 expressed in HEK293

Concentration

Please see the vial label for concentration. If unlisted please contact technical services.

Product Specifications

Immunogen

A synthetic peptide corresponding to a sequence within amino acids 1-100 of human GOT2 (P00505). MALLHSGRVLPGIAAAFHPGLAAAASARASSWWTHVEMGPPDPILGVTEAFKRDTNSKKMNLGVGAYRDDNGKPYVLPSVRKAEAQIAAKNLDKEYLPIG

Clonality

Monoclonal

Host

Rabbit

Isotype

IgG

Description

Novus Biologicals Rabbit GOT2 Antibody (4J7O3) (NBP3-15708) is a recombinant monoclonal antibody validated for use in IHC and WB. All Novus Biologicals antibodies are covered by our 100% guarantee.

Scientific Data Images for GOT2 Antibody (4J7O3)

Western Blot: GOT2 Antibody (4J7O3) [NBP3-15708]

Western Blot: GOT2 Antibody (4J7O3) [NBP3-15708]

Western Blot: GOT2 Antibody (4J7O3) [NBP3-15708] - Analysis of extracts of various cell lines, using GOT2 antibody (NBP3-15708) at 1:1000 dilution. Secondary antibody: HRP Goat Anti-Rabbit IgG (H+L) at 1:10000 dilution. Lysates/proteins: 25ug per lane. Blocking buffer: 3% nonfat dry milk in TBST. Detection: ECL Basic Kit. Exposure time: 1s.
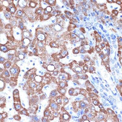
Immunohistochemistry-Paraffin: GOT2 Antibody (4J7O3) [NBP3-15708]

Immunohistochemistry-Paraffin: GOT2 Antibody (4J7O3) [NBP3-15708]

Immunohistochemistry-Paraffin: GOT2 Antibody (4J7O3) [NBP3-15708] - Human liver using GOT2 Rabbit mAb (NBP3-15708) at dilution of 1:100 (40x lens).Perform microwave antigen retrieval with 10 mM Tris/EDTA buffer pH 9.0 before commencing with IHC staining protocol.
Immunohistochemistry-Paraffin: GOT2 Antibody (4J7O3) [NBP3-15708]

Immunohistochemistry-Paraffin: GOT2 Antibody (4J7O3) [NBP3-15708]

Immunohistochemistry-Paraffin: GOT2 Antibody (4J7O3) [NBP3-15708] - Rat brain using GOT2 Rabbit mAb (NBP3-15708) at dilution of 1:100 (40x lens).Perform microwave antigen retrieval with 10 mM Tris/EDTA buffer pH 9.0 before commencing with IHC staining protocol.

Applications for GOT2 Antibody (4J7O3)

Application
Recommended Usage

Immunohistochemistry

1:50 - 1:200

Western Blot

1:500 - 1:1000

Formulation, Preparation, and Storage

Purification

Affinity purified

Formulation

PBS (pH 7.3), 50% glycerol, 0.05% BSA

Preservative

0.02% Sodium Azide

Concentration

Please see the vial label for concentration. If unlisted please contact technical services.

Shipping

The product is shipped with polar packs. Upon receipt, store it immediately at the temperature recommended below.

Stability & Storage

Store at -20C. Avoid freeze-thaw cycles.

Background: GOT2

Glutamic-oxaloacetic transaminase is a pyridoxal phosphate-dependent enzyme which exists in cytoplasmic and inner-membrane mitochondrial forms, GOT1 and GOT2, respectively. GOT plays a role in amino acid metabolism and the urea and tricarboxylic acid cycles. The two enzymes are homodimeric and show close homology.

Alternate Names

aspartate aminotransferase, mitochondrial, EC 2.6.1, EC 2.6.1.1, FABP-1, FABPpm, Fatty acid-binding protein, FLJ40994, Glutamate oxaloacetate transaminase 2, glutamic-oxaloacetic transaminase 2, mitochondrial (aspartate aminotransferase2), KAT4, KATIV, kynurenine aminotransferase IV, mAspAT, mitAAT, Plasma membrane-associated fatty acid-binding protein, Transaminase A

Gene Symbol

GOT2

Additional GOT2 Products

Product Documents for GOT2 Antibody (4J7O3)

Certificate of Analysis

To download a Certificate of Analysis, please enter a lot number in the search box below.

Product Specific Notices for GOT2 Antibody (4J7O3)

This product is for research use only and is not approved for use in humans or in clinical diagnosis. Primary Antibodies are guaranteed for 1 year from date of receipt.

Loading...
Loading...
Loading...
Loading...