Skip to main content

Golgin A8 Family, Member A Antibody - BSA Free

Novus Biologicals, part of Bio-Techne | Catalog # NBP2-55044

Novus Biologicals, part of Bio-Techne
Catalog #
Availability
Size / Price
Qty
Loading...
NBP2-55044
NBP2-55044-25ul

Key Product Details

Species Reactivity

Human

Applications

Immunocytochemistry/ Immunofluorescence, Immunohistochemistry, Immunohistochemistry-Paraffin

Label

Unconjugated

Antibody Source

Polyclonal Rabbit IgG

Format

BSA Free

Concentration

Concentrations vary lot to lot. See vial label for concentration. If unlisted please contact technical services.

Product Specifications

Immunogen

This antibody was developed against a recombinant protein corresponding to the following amino acid sequence: EKEPEAAVPASGTGGESSGLMDLLE

Clonality

Polyclonal

Host

Rabbit

Isotype

IgG

Description

Novus Biologicals Rabbit Golgin A8 Family, Member A Antibody - BSA Free (NBP2-55044) is a polyclonal antibody validated for use in IHC and ICC/IF. All Novus Biologicals antibodies are covered by our 100% guarantee.

Scientific Data Images for Golgin A8 Family, Member A Antibody - BSA Free

Immunocytochemistry/ Immunofluorescence: Golgin A8 Family, Member A Antibody [NBP2-55044]

Immunocytochemistry/ Immunofluorescence: Golgin A8 Family, Member A Antibody [NBP2-55044]

Immunocytochemistry/Immunofluorescence: Golgin A8 Family, Member A Antibody [NBP2-55044] - Staining of human cell line HEK 293 shows localization to cytosol & the Golgi apparatus.
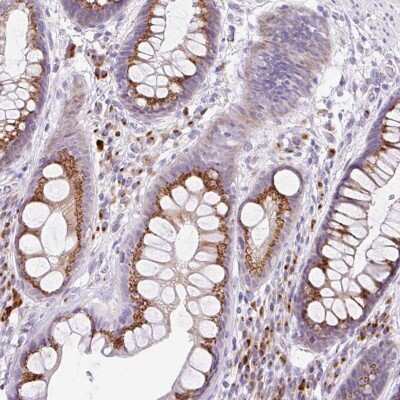
Immunohistochemistry-Paraffin: Golgin A8 Family, Member A Antibody [NBP2-55044]

Immunohistochemistry-Paraffin: Golgin A8 Family, Member A Antibody [NBP2-55044]

Immunohistochemistry-Paraffin: Golgin A8 Family, Member A Antibody [NBP2-55044] - Staining of human rectum shows strong cytoplasmic positivity in glandular cells.

Applications for Golgin A8 Family, Member A Antibody - BSA Free

Application
Recommended Usage

Immunocytochemistry/ Immunofluorescence

0.25-2 ug/ml

Immunohistochemistry

1:200 - 1:500

Immunohistochemistry-Paraffin

1:200 - 1:500
Application Notes
Immunocytochemistry/Immunofluorescence Fixation Permeabilization: Use PFA/Triton X-100.

Formulation, Preparation, and Storage

Purification

Affinity purified

Formulation

PBS (pH 7.2) and 40% Glycerol

Format

BSA Free

Preservative

0.02% Sodium Azide

Concentration

Concentrations vary lot to lot. See vial label for concentration. If unlisted please contact technical services.

Shipping

The product is shipped with polar packs. Upon receipt, store it immediately at the temperature recommended below.

Stability & Storage

Store at 4C short term. Aliquot and store at -20C long term. Avoid freeze-thaw cycles.

Background: Golgin A8 Family, Member A

Alternate Names

88 KDa Golgi Matrix Protein, 88-KDa Golgi Protein, GM88, GM88 Autoantigen, GOLGA8A, Golgi Autoantigen, Golgin Subfamily A, 8A, Golgin Subfamily A Member 8A, GOLGIN-67

Gene Symbol

GOLGA8A

Additional Golgin A8 Family, Member A Products

Product Documents for Golgin A8 Family, Member A Antibody - BSA Free

Certificate of Analysis

To download a Certificate of Analysis, please enter a lot number in the search box below.

Product Specific Notices for Golgin A8 Family, Member A Antibody - BSA Free

This product is for research use only and is not approved for use in humans or in clinical diagnosis. Primary Antibodies are guaranteed for 1 year from date of receipt.

Loading...
Loading...
Loading...
Loading...