Skip to main content

GOLGA3 Antibody - BSA Free

Novus Biologicals, part of Bio-Techne | Catalog # NBP1-91953

Novus Biologicals, part of Bio-Techne
Catalog #
Availability
Size / Price
Qty
Loading...
NBP1-91953
NBP1-91953-25ul

Key Product Details

Validated by

Independent Antibodies

Species Reactivity

Human, Mouse, Rat

Applications

Immunohistochemistry, Immunohistochemistry-Paraffin, Western Blot, Immunocytochemistry/ Immunofluorescence

Label

Unconjugated

Antibody Source

Polyclonal Rabbit IgG

Format

BSA Free

Concentration

Concentrations vary lot to lot. See vial label for concentration. If unlisted please contact technical services.

Product Specifications

Immunogen

This antibody was developed against Recombinant Protein corresponding to amino acids: TTLTSKLKASQAEISSLQSVRQWYQQQLALAQEARVRLQGEMAHIQVGQMTQAGLLEHLKLENVSLSQQLTETQHRSMKEKGRIAAQLQGIEADMLDQEAA

Clonality

Polyclonal

Host

Rabbit

Isotype

IgG

Description

Novus Biologicals Rabbit GOLGA3 Antibody - BSA Free (NBP1-91953) is a polyclonal antibody validated for use in IHC, WB and ICC/IF. All Novus Biologicals antibodies are covered by our 100% guarantee.

Scientific Data Images for GOLGA3 Antibody - BSA Free

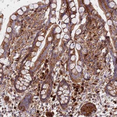
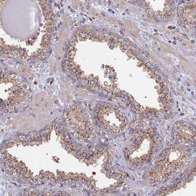
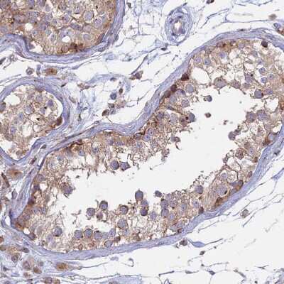
Immunohistochemistry-Paraffin: GOLGA3 Antibody [NBP1-91953]

Immunohistochemistry-Paraffin: GOLGA3 Antibody [NBP1-91953]

Immunohistochemistry-Paraffin: GOLGA3 Antibody [NBP1-91953] - Staining of human colon, prostate, testis and tonsil using Anti-GOLGA3 antibody NBP1-91953 (A) shows similar protein distribution across tissues to independent antibody NBP1-91952 (B).
Western Blot: GOLGA3 Antibody [NBP1-91953]

Western Blot: GOLGA3 Antibody [NBP1-91953]

Western Blot: GOLGA3 Antibody [NBP1-91953] - Lane 1: NIH-3T3 cell lysate (Mouse embryonic fibroblast cells)
Lane 2: NBT-II cell lysate (Rat Wistar bladder tumour cells)
Immunocytochemistry/ Immunofluorescence: GOLGA3 Antibody [NBP1-91953]

Immunocytochemistry/ Immunofluorescence: GOLGA3 Antibody [NBP1-91953]

Immunocytochemistry/Immunofluorescence: GOLGA3 Antibody [NBP1-91953] - Immunofluorescent staining of human cell line A-431 shows localization to nucleus, nucleoli & the Golgi apparatus.

Applications for GOLGA3 Antibody - BSA Free

Application
Recommended Usage

Immunocytochemistry/ Immunofluorescence

0.25-2 ug/ml

Immunohistochemistry

1:500 - 1:1000

Immunohistochemistry-Paraffin

1:500 - 1:1000

Western Blot

0.04-0.4 ug/ml
Application Notes
For IHC-Paraffin, HIER pH 6 retrieval is recommended. ICC/IF, Fixation Permeabilization: Use PFA/Triton X-100.

Formulation, Preparation, and Storage

Purification

Affinity purified

Formulation

PBS (pH 7.2) and 40% Glycerol

Format

BSA Free

Preservative

0.02% Sodium Azide

Concentration

Concentrations vary lot to lot. See vial label for concentration. If unlisted please contact technical services.

Shipping

The product is shipped with polar packs. Upon receipt, store it immediately at the temperature recommended below.

Stability & Storage

Store at 4C short term. Aliquot and store at -20C long term. Avoid freeze-thaw cycles.

Background: GOLGA3

GOLGA3 is a member of the golgin family of proteins which are localized to the Golgi. It has been postulated to play a role in nuclear transport and Golgi apparatus localization.

Alternate Names

GCP170Golgi peripheral membrane protein, golgi autoantigen, golgin subfamily a, 3, Golgi complex-associated protein of 170 kD, Golgi complex-associated protein of 170 kDa, Golgi membrane associated protein, golgin A3, Golgin subfamily A member 3, golgin-160, golgin-165, male enhanced antigen-2, MEA-2, SY2/SY10 protein

Gene Symbol

GOLGA3

Additional GOLGA3 Products

Product Documents for GOLGA3 Antibody - BSA Free

Certificate of Analysis

To download a Certificate of Analysis, please enter a lot number in the search box below.

Product Specific Notices for GOLGA3 Antibody - BSA Free

This product is for research use only and is not approved for use in humans or in clinical diagnosis. Primary Antibodies are guaranteed for 1 year from date of receipt.

Loading...
Loading...
Loading...
Loading...