Skip to main content

GOLGA3 Antibody - BSA Free

Novus Biologicals, part of Bio-Techne | Catalog # NBP1-30963

Novus Biologicals, part of Bio-Techne
Catalog #
Availability
Size / Price
Qty
Loading...
NBP1-30963

Key Product Details

Species Reactivity

Human

Applications

Immunohistochemistry, Immunohistochemistry-Paraffin, Western Blot, Immunocytochemistry/ Immunofluorescence

Label

Unconjugated

Antibody Source

Polyclonal Rabbit IgG

Format

BSA Free

Concentration

Concentrations vary lot to lot. See vial label for concentration. If unlisted please contact technical services.

Product Specifications

Immunogen

Carrier-protein conjugated synthetic peptide encompassing a sequence within the C-terminus region of human GOLGA3. The exact sequence is proprietary.

Localization

Cytoplasm , Golgi apparatus , Golgi stack membrane, Peripheral membrane protein

Clonality

Polyclonal

Host

Rabbit

Isotype

IgG

Description

Novus Biologicals Rabbit GOLGA3 Antibody - BSA Free (NBP1-30963) is a polyclonal antibody validated for use in IHC, WB and ICC/IF. All Novus Biologicals antibodies are covered by our 100% guarantee.

Scientific Data Images for GOLGA3 Antibody - BSA Free

Immunocytochemistry/ Immunofluorescence: GOLGA3 Antibody [NBP1-30963]

Immunocytochemistry/ Immunofluorescence: GOLGA3 Antibody [NBP1-30963]

Immunocytochemistry/Immunofluorescence: GOLGA3 Antibody [NBP1-30963] - Analysis of HeLa, using NBP1-30963 at 1:200 dilution.
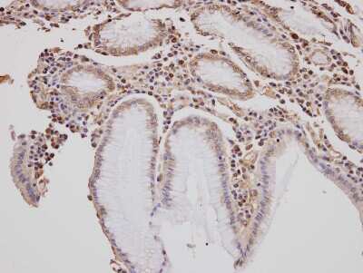
Immunohistochemistry-Paraffin: GOLGA3 Antibody [NBP1-30963]

Immunohistochemistry-Paraffin: GOLGA3 Antibody [NBP1-30963]

Immunohistochemistry-Paraffin: GOLGA3 Antibody [NBP1-30963] - Paraffin-embedded gastric tissue, using antibody at 1:100 dilution.
GOLGA3 Antibody

Western Blot: GOLGA3 Antibody [NBP1-30963] -

Western Blot: GOLGA3 Antibody [NBP1-30963] - Whole cell extract (30 ug) was separated by 5% SDS-PAGE, and the membrane was blotted with GOLGA3 antibody [C3], C-term (NBP1-30963) diluted at 1:1000. The HRP-conjugated anti-rabbit IgG antibody was used to detect the primary antibody, and the signal was developed with Trident ECL plus-Enhanced.

Applications for GOLGA3 Antibody - BSA Free

Application
Recommended Usage

Immunocytochemistry/ Immunofluorescence

1:100-1:1000

Immunohistochemistry

10 - 1:500

Immunohistochemistry-Paraffin

1:100-1:1000

Western Blot

1:500-1:3000

Formulation, Preparation, and Storage

Purification

Antigen Affinity-purified

Formulation

0.1M Tris, 0.1M Glycine, 20% Glycerol

Format

BSA Free

Preservative

0.01% Thimerosal

Concentration

Concentrations vary lot to lot. See vial label for concentration. If unlisted please contact technical services.

Shipping

The product is shipped with polar packs. Upon receipt, store it immediately at the temperature recommended below.

Stability & Storage

Store at 4C short term. Aliquot and store at -20C long term. Avoid freeze-thaw cycles.

Background: GOLGA3

GOLGA3 is a member of the golgin family of proteins which are localized to the Golgi. It has been postulated to play a role in nuclear transport and Golgi apparatus localization.

Alternate Names

GCP170Golgi peripheral membrane protein, golgi autoantigen, golgin subfamily a, 3, Golgi complex-associated protein of 170 kD, Golgi complex-associated protein of 170 kDa, Golgi membrane associated protein, golgin A3, Golgin subfamily A member 3, golgin-160, golgin-165, male enhanced antigen-2, MEA-2, SY2/SY10 protein

Entrez Gene IDs

2802 (Human)

Gene Symbol

GOLGA3

UniProt

Additional GOLGA3 Products

Product Documents for GOLGA3 Antibody - BSA Free

Certificate of Analysis

To download a Certificate of Analysis, please enter a lot number in the search box below.

Product Specific Notices for GOLGA3 Antibody - BSA Free

This product is for research use only and is not approved for use in humans or in clinical diagnosis. Primary Antibodies are guaranteed for 1 year from date of receipt.

Loading...
Loading...
Loading...
Loading...

⚠ WARNING: This product can expose you to chemicals including mercury, which is known to the State of California to cause reproductive toxicity with developmental effects.  For more information go to www.P65Warnings.ca.gov.