GNA11 Antibody - BSA Free
Novus Biologicals, part of Bio-Techne | Catalog # NBP3-38012
Key Product Details
Species Reactivity
Human, Mouse, Rat
Applications
Immunohistochemistry, Immunohistochemistry-Paraffin, Western Blot, ELISA
Label
Unconjugated
Antibody Source
Polyclonal Rabbit IgG
Format
BSA Free
Concentration
Please see the vial label for concentration. If unlisted please contact technical services.
Product Specifications
Immunogen
Recombinant fusion protein containing a sequence corresponding to amino acids 250-350 of human GNA11 (NP_002058.2).
Sequence:
YLTDVDRIATLGYLPTQQDVLRVRVPTTGIIEYPFDLENIIFRMVDVGGQRSERRKWIHCFENVTSIMFLVALSEYDQVLVESDNENRMEESKALFRTIITYPWFQNSSVILFLNKKDLLEDKILYSHLVDYFPEFDGPQRDAQAAREFILKMFVDLNPDSDKIIYSHFTCATDTENIRFVFAAVKDTILQLNLKEYNLV
Sequence:
YLTDVDRIATLGYLPTQQDVLRVRVPTTGIIEYPFDLENIIFRMVDVGGQRSERRKWIHCFENVTSIMFLVALSEYDQVLVESDNENRMEESKALFRTIITYPWFQNSSVILFLNKKDLLEDKILYSHLVDYFPEFDGPQRDAQAAREFILKMFVDLNPDSDKIIYSHFTCATDTENIRFVFAAVKDTILQLNLKEYNLV
Clonality
Polyclonal
Host
Rabbit
Isotype
IgG
Theoretical MW
42 kDa.
Disclaimer note: The observed molecular weight of the protein may vary from the listed predicted molecular weight due to post translational modifications, post translation cleavages, relative charges, and other experimental factors.
Disclaimer note: The observed molecular weight of the protein may vary from the listed predicted molecular weight due to post translational modifications, post translation cleavages, relative charges, and other experimental factors.
Description
Novus Biologicals Rabbit GNA11 Antibody - BSA Free (NBP3-38012) is a polyclonal antibody validated for use in IHC, WB and ELISA. All Novus Biologicals antibodies are covered by our 100% guarantee.
Scientific Data Images for GNA11 Antibody - BSA Free
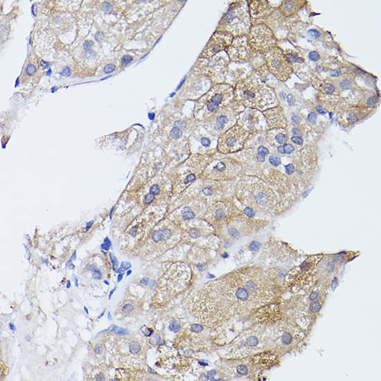
Immunohistochemistry: GNA11 Antibody [NBP3-38012] -
Immunohistochemistry: GNA11 Antibody [NBP3-38012] - Immunohistochemistry analysis of paraffin-embedded Human esophageal cancer using GNA11 Rabbit pAb at dilution of 1:100 (40x lens). High pressure antigen retrieval performed with 0.01M Citrate Bufferr (pH 6.0) prior to IHC staining.Immunohistochemistry: GNA11 Antibody [NBP3-38012] -
Immunohistochemistry: GNA11 Antibody [NBP3-38012] - Immunohistochemistry analysis of paraffin-embedded Human liver cancer using GNA11 Rabbit pAb at dilution of 1:100 (40x lens). High pressure antigen retrieval performed with 0.01M Citrate Bufferr (pH 6.0) prior to IHC staining.Western Blot: GNA11 Antibody [NBP3-38012] -
Western Blot: GNA11 Antibody [NBP3-38012] - Western blot analysis of various lysates using GNA11 Rabbit pAb at 1:400 dilution.Secondary antibody: HRP-conjugated Goat anti-Rabbit IgG (H+L) at 1:10000 dilution.
Lysates/proteins: 25ug per lane.
Blocking buffer: 3% nonfat dry milk in TBST.
Detection: ECL Basic Kit.
Exposure time: 90s.
Applications for GNA11 Antibody - BSA Free
Application
Recommended Usage
Immunohistochemistry-Paraffin
1:50 - 1:200
Western Blot
1:500 - 1:2000
Formulation, Preparation, and Storage
Purification
Affinity purified
Formulation
PBS (pH 7.3), 50% glycerol
Format
BSA Free
Preservative
0.01% Thimerosal
Concentration
Please see the vial label for concentration. If unlisted please contact technical services.
Shipping
The product is shipped with polar packs. Upon receipt, store it immediately at the temperature recommended below.
Stability & Storage
Store at -20C. Avoid freeze-thaw cycles.
Background: GNA11
Alternate Names
G alpha-11, GA11, GNA-11, G-protein subunit alpha-11, guanine nucleotide binding protein (G protein), alpha 11 (Gq class), Guanine nucleotide-binding protein G(y) subunit alpha, guanine nucleotide-binding protein subunit alpha-11, guanine nucleotide-binding protein, Gq class, GNA11
Gene Symbol
GNA11
Additional GNA11 Products
Product Documents for GNA11 Antibody - BSA Free
Product Specific Notices for GNA11 Antibody - BSA Free
This product is for research use only and is not approved for use in humans or in clinical diagnosis. Primary Antibodies are guaranteed for 1 year from date of receipt.
Loading...
Loading...
Loading...
Loading...