GMEB2 Antibody - BSA Free
Novus Biologicals, part of Bio-Techne | Catalog # NBP1-81421
Key Product Details
Species Reactivity
Validated:
Human
Predicted:
Rat (90%). Backed by our 100% Guarantee.
Applications
Immunohistochemistry, Immunohistochemistry-Paraffin, Western Blot, Immunocytochemistry/ Immunofluorescence
Label
Unconjugated
Antibody Source
Polyclonal Rabbit IgG
Format
BSA Free
Concentration
Concentrations vary lot to lot. See vial label for concentration. If unlisted please contact technical services.
Product Specifications
Immunogen
This antibody was developed against Recombinant Protein corresponding to amino acids: TSVPLGKVVSTLPSTVLGKGSLQAPPASSPASPLLGGYTVLASSGSTYPSTVEIHPDASSLTVLSTAAVQDGSTVFKVVSPLQLLTLPGLGPTLQNVAQASPGSSTIVTVPAGAAPGPEEHTATIE
Reactivity Notes
Immunogen displays the following percentage of sequence identity for non-tested species: Mouse (88%)
Clonality
Polyclonal
Host
Rabbit
Isotype
IgG
Scientific Data Images for GMEB2 Antibody - BSA Free
Western Blot: GMEB2 Antibody [NBP1-81421]
Western Blot: GMEB2 Antibody [NBP1-81421] - Lane 1: Marker [kDa] 230, 130, 95, 72, 56, 36, 28, 17, 11. Lane 2: Human cell line RT-244Immunocytochemistry/ Immunofluorescence: GMEB2 Antibody [NBP1-81421]
Immunocytochemistry/Immunofluorescence: GMEB2 Antibody [NBP1-81421] - Staining of human cell line A-431 shows localization to nucleoplasm & cytosol.Immunohistochemistry-Paraffin: GMEB2 Antibody [NBP1-81421]
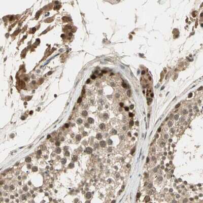
Immunohistochemistry-Paraffin: GMEB2 Antibody [NBP1-81421] - Staining of human testis shows moderate nuclear positivity in cells in seminiferous ducts.Applications for GMEB2 Antibody - BSA Free
Application
Recommended Usage
Immunocytochemistry/ Immunofluorescence
0.25-2 ug/ml
Immunohistochemistry
1:20 - 1:50
Immunohistochemistry-Paraffin
1:20 - 1:50
Western Blot
0.04-0.4 ug/ml
Application Notes
For IHC-Paraffin, HIER pH 6 retrieval is recommended. Immunocytochemistry/Immunofluorescence Fixation Permeabilization: Use PFA/Triton X-100.
Formulation, Preparation, and Storage
Purification
Affinity purified
Formulation
PBS (pH 7.2) and 40% Glycerol
Format
BSA Free
Preservative
0.02% Sodium Azide
Concentration
Concentrations vary lot to lot. See vial label for concentration. If unlisted please contact technical services.
Shipping
The product is shipped with polar packs. Upon receipt, store it immediately at the temperature recommended below.
Stability & Storage
Store at 4C short term. Aliquot and store at -20C long term. Avoid freeze-thaw cycles.
Background: GMEB2
Alternate Names
DNA-binding protein p79PIF, glucocorticoid modulatory element binding protein 2, KIAA1269PIF p79, p79, P79PIF
Gene Symbol
GMEB2
Additional GMEB2 Products
Product Documents for GMEB2 Antibody - BSA Free
Product Specific Notices for GMEB2 Antibody - BSA Free
This product is for research use only and is not approved for use in humans or in clinical diagnosis. Primary Antibodies are guaranteed for 1 year from date of receipt.
Loading...
Loading...
Loading...
Loading...