Skip to main content

Glutathione S Transferase kappa 1 Antibody - BSA Free

Novus Biologicals, part of Bio-Techne | Catalog # NBP3-38128

Novus Biologicals, part of Bio-Techne
Catalog #
Availability
Size / Price
Qty
Loading...
NBP3-38128-20ul
NBP3-38128-100ul

Key Product Details

Species Reactivity

Human, Mouse, Rat

Applications

Immunohistochemistry, Immunohistochemistry-Paraffin, Western Blot, ELISA, Immunocytochemistry/ Immunofluorescence

Label

Unconjugated

Antibody Source

Polyclonal Rabbit IgG

Format

BSA Free

Concentration

Please see the vial label for concentration. If unlisted please contact technical services.

Product Specifications

Immunogen

Recombinant fusion protein containing a sequence corresponding to amino acids 1-226 of human Glutathione S Transferase kappa 1 (NP_057001.1).

Sequence:
MGPLPRTVELFYDVLSPYSWLGFEILCRYQNIWNINLQLRPSLITGIMKDSGNKPPGLLPRKGLYMANDLKLLRHHLQIPIHFPKDFLSVMLEKGSLSAMRFLTAVNLEHPEMLEKASRELWMRVWSRNEDITEPQSILAAAEKAGMSAEQAQGLLEKIATPKVKNQLKETTEAACRYGAFGLPITVAHVDGQTHMLFGSDRMELLAHLLGEKWMGPIPPAVNARL

Clonality

Polyclonal

Host

Rabbit

Isotype

IgG

Theoretical MW

25 kDa.
Disclaimer note: The observed molecular weight of the protein may vary from the listed predicted molecular weight due to post translational modifications, post translation cleavages, relative charges, and other experimental factors.

Description

Novus Biologicals Rabbit Glutathione S Transferase kappa 1 Antibody - BSA Free (NBP3-38128) is a polyclonal antibody validated for use in IHC, WB, ELISA and ICC/IF. All Novus Biologicals antibodies are covered by our 100% guarantee.

Scientific Data Images for Glutathione S Transferase kappa 1 Antibody - BSA Free

Glutathione S Transferase kappa 1 Antibody

Western Blot: Glutathione S Transferase kappa 1 Antibody [NBP3-38128] -

Western Blot: Glutathione S Transferase kappa 1 Antibody [NBP3-38128] - Western blot analysis of various lysates using Glutathione S Transferase kappa 1 Rabbit pAb at 1:1000 dilution.
Secondary antibody: HRP-conjugated Goat anti-Rabbit IgG (H+L) at 1:10000 dilution.
Lysates/proteins: 25ug per lane.
Blocking buffer: 3% nonfat dry milk in TBST.
Detection: ECL Basic Kit.
Exposure time: 60s.
Glutathione S Transferase kappa 1 Antibody

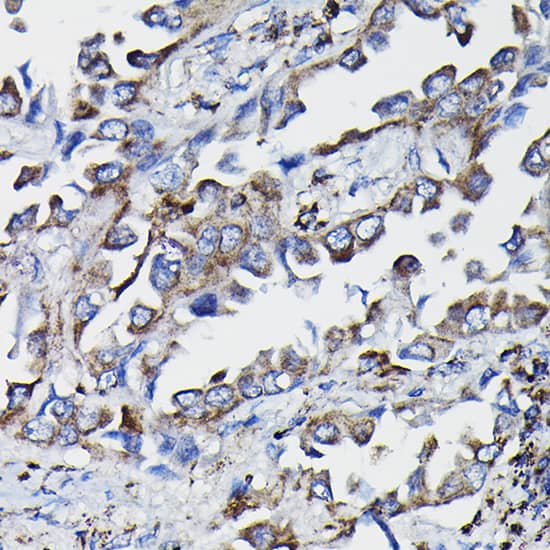
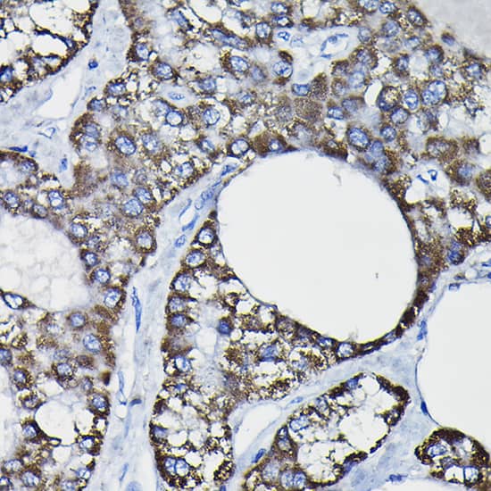
Immunohistochemistry: Glutathione S Transferase kappa 1 Antibody [NBP3-38128] -

Immunohistochemistry: Glutathione S Transferase kappa 1 Antibody [NBP3-38128] - Immunohistochemistry analysis of paraffin-embedded Human lung cancer using Glutathione S Transferase kappa 1 Rabbit pAb at dilution of 1:20 (40x lens). High pressure antigen retrieval performed with 0.01M Citrate Bufferr (pH 6.0) prior to IHC staining.
Glutathione S Transferase kappa 1 Antibody

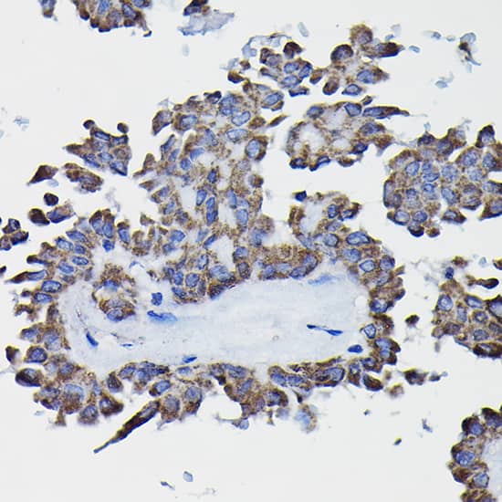
Immunohistochemistry: Glutathione S Transferase kappa 1 Antibody [NBP3-38128] -

Immunohistochemistry: Glutathione S Transferase kappa 1 Antibody [NBP3-38128] - Immunohistochemistry analysis of paraffin-embedded Human liver cancer using Glutathione S Transferase kappa 1 Rabbit pAb at dilution of 1:20 (40x lens). High pressure antigen retrieval performed with 0.01M Citrate Bufferr (pH 6.0) prior to IHC staining.

Applications for Glutathione S Transferase kappa 1 Antibody - BSA Free

Application
Recommended Usage

Immunocytochemistry/ Immunofluorescence

1:50 - 1:100

Immunohistochemistry-Paraffin

1:50 - 1:200

Western Blot

1:500 - 1:1000

Formulation, Preparation, and Storage

Purification

Affinity purified

Formulation

PBS (pH 7.3), 50% glycerol

Format

BSA Free

Preservative

0.02% Sodium Azide

Concentration

Please see the vial label for concentration. If unlisted please contact technical services.

Shipping

The product is shipped with polar packs. Upon receipt, store it immediately at the temperature recommended below.

Stability & Storage

Store at -20C. Avoid freeze-thaw cycles.

Background: Glutathione S Transferase kappa 1

Glutathione transferases (GSTs) are a superfamily of enzymes that play a vital functional role in the cellular detoxification process. They catalyze the conjugation of the thiol group of glutathione (GSH) to the electrophilic groups of a wide range of hydrophobic substrates, leading to an easier removal of the latter from the cells (1) The Kappa class of GSTs comprises soluble enzymes originally isolated from the mitochondrial matrix of rats. Gsk1 catalyses some typical GST reactions, it has been proposed that it is structurally distinct from other classes of cytosolic GSTs (2). Gsk1 has been identified in rat, mouse, and human. The C terminus of Gsk1 was essential for localization of the protein to peroxisomes, and the C-terminal sequence Ala-Arg-Leu represents a peroxisome targeting signal (3).

Alternate Names

EC 2.5.1.18, glutathione S-transferase k1, glutathione S-transferase kappa 1, Glutathione S-transferase subunit 13, glutathione S-transferase subunit 13 homolog, GST, GST 13-13, GST class-kappa, GST13, GST13-13, GSTK1-1, hGSTK1

Gene Symbol

GSTK1

Additional Glutathione S Transferase kappa 1 Products

Product Documents for Glutathione S Transferase kappa 1 Antibody - BSA Free

Certificate of Analysis

To download a Certificate of Analysis, please enter a lot number in the search box below.

Product Specific Notices for Glutathione S Transferase kappa 1 Antibody - BSA Free

This product is for research use only and is not approved for use in humans or in clinical diagnosis. Primary Antibodies are guaranteed for 1 year from date of receipt.

Loading...
Loading...
Loading...
Loading...