Skip to main content

Glucosylceramidase/GBA Antibody (JM10-76)

Novus Biologicals, part of Bio-Techne | Catalog # NBP2-66871

Recombinant Monoclonal Antibody.
Novus Biologicals, part of Bio-Techne
Catalog #
Availability
Size / Price
Qty
Loading...
NBP2-66871

Key Product Details

Validated by

Knockout/Knockdown, Biological Validation

Species Reactivity

Human, Mouse, Rat

Applications

Flow Cytometry, Immunocytochemistry/ Immunofluorescence, Immunohistochemistry, Immunohistochemistry-Frozen, Immunohistochemistry-Paraffin, Knockout Validated, Western Blot

Label

Unconjugated

Antibody Source

Recombinant Monoclonal Rabbit IgG Clone # JM10-76 expressed in HEK293

Concentration

1 mg/ml

Product Specifications

Immunogen

Synthetic peptide within Human Glucosylceramidase/GBA aa 477-534 / 536. (SwissProt: P04062 Human; SwissProt: P17439 Mouse; Entrez Gene:684536 Rat)

Localization

Lysosome membrane.

Clonality

Monoclonal

Host

Rabbit

Isotype

IgG

Description

Novus Biologicals Knockout (KO) Validated Rabbit Glucosylceramidase/GBA Antibody (JM10-76) (NBP2-66871) is a recombinant monoclonal antibody validated for use in IHC, WB, Flow and ICC/IF. All Novus Biologicals antibodies are covered by our 100% guarantee.

Scientific Data Images for Glucosylceramidase/GBA Antibody (JM10-76)

Glucosylceramidase/GBA Antibody (JM10-76) Western Blot Shows Glucosylceramidase/GBA Specificity Using Knockout Cell Line.

Western Blot Shows Glucosylceramidase/GBA Specificity Using Knockout Cell Line.

Western blot shows lysates of HAP1 parental cell line and Glucosylceramidase/GBA knockout HAP1 cell line (KO). Nitrocellulose membrane was probed with Glucosylceramidase/GBA Antibody (JM10-76) (Catalog # NBP2-66871) followed by HRP-conjugated secondary antibody. A specific band was detected for Glucosylceramidase/GBA at approximately 59.7 kDa (as indicated) in the parental HAP1 cell line, but is not detectable in knockout HAP1 cell line. Primary antibody dilution used: 1/500. The Ponceau stained transfer of the blot is shown. This experiment was conducted under reducing conditions. Image, protocol, and testing courtesy of YCharOS Inc. See ycharos.com for additional details.
Western Blot: Glucosylceramidase/GBA Antibody (JM10-76) [NBP2-66871]

Western Blot: Glucosylceramidase/GBA Antibody (JM10-76) [NBP2-66871]

Western Blot: Glucosylceramidase/GBA Antibody (JM10-76) [NBP2-66871] - All lanes: Western blot analysis of GBA with anti-GBA antibody [JM10-76 at 1:1,000 dilution.Lane 1: Wild-type HEK293T whole cell lysate (20 ug).Lane 2: GBA knockout HEK293T whole cell lysate (20 ug). NBP2-66871was shown to specifically react with GBA in wild-type HEK293T cells. No band was observed when GBA knockout sample was tested. Wild-type and GBA knockout samples were subjected to SDS-PAGE. Proteins were transferred to a PVDF membrane and blocked with 5% NFDM in TBST for 1 hour at room temperature. The primary antibody (1/1,000) and Loading control antibody (Rabbit anti-GAPDH , 1/10,000) was used in 5% BSA at room temperature for 2 hours. Goat Anti-Rabbit IgG-HRP Secondary Antibody at 1:200,000 dilution was used for 1 hour at room temperature.
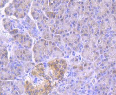
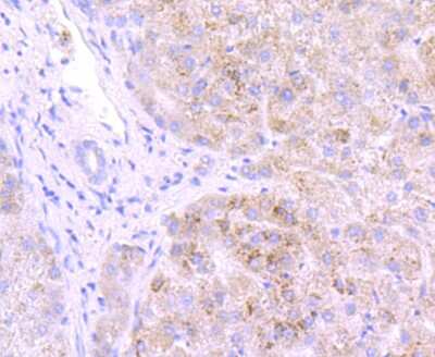
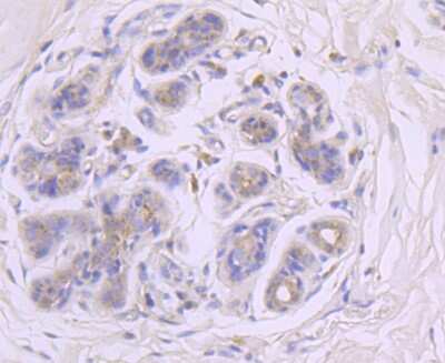
Immunohistochemistry-Paraffin: Glucosylceramidase/GBA Antibody (JM10-76) [NBP2-66871]

Immunohistochemistry-Paraffin: Glucosylceramidase/GBA Antibody (JM10-76) [NBP2-66871]

Immunohistochemistry-Paraffin: Glucosylceramidase/GBA Antibody (JM10-76) [NBP2-66871] - Analysis of paraffin-embedded mouse pancreas tissue using anti-GBA antibody. The section was pre-treated using heat mediated antigen retrieval with Tris-EDTA buffer (pH 8.0-8.4) for 20 minutes.The tissues were blocked in 5% BSA for 30 minutes at room temperature, washed with ddH2O and PBS, and then probed with the primary antibody (1/50) for 30 minutes at room temperature. The detection was performed using an HRP conjugated compact polymer system. DAB was used as the chromogen. Tissues were counterstained with hematoxylin and mounted with DPX.

Applications for Glucosylceramidase/GBA Antibody (JM10-76)

Application
Recommended Usage

Flow Cytometry

1:500

Immunocytochemistry/ Immunofluorescence

1:100

Immunohistochemistry-Paraffin

1:50-1:200

Knockout Validated

Knockout validated from YCharOS Inc. (ycharos.com)

Western Blot

1:500-1:2000

Reviewed Applications

Read 1 review rated 5 using NBP2-66871 in the following applications:

Formulation, Preparation, and Storage

Purification

Protein A purified

Formulation

TBS (pH7.4), 0.05% BSA, 40% Glycerol

Preservative

0.05% Sodium Azide

Concentration

1 mg/ml

Shipping

The product is shipped with polar packs. Upon receipt, store it immediately at the temperature recommended below.

Stability & Storage

Store at 4C short term. Aliquot and store at -20C long term. Avoid freeze-thaw cycles.

Background: Glucosylceramidase/GBA

GBA encodes a lysosomal membrane protein that cleaves the beta-glucosidic linkage of glycosylceramide, an intermediate in glycolipid metabolism. Mutations in this gene cause Gaucher disease, a lysosomal storage disease characterized by an accumulation of glucocerebrosides. A related pseudogene is approximately 12 kb downstream of this gene on chromosome 1. Alternative splicing results in multiple transcript variants encoding the same protein.

Alternate Names

Alglucerase, GBA, GBA1, Imiglucerase

Gene Symbol

GBA1

Additional Glucosylceramidase/GBA Products

Product Documents for Glucosylceramidase/GBA Antibody (JM10-76)

Certificate of Analysis

To download a Certificate of Analysis, please enter a lot number in the search box below.

Product Specific Notices for Glucosylceramidase/GBA Antibody (JM10-76)

This product is for research use only and is not approved for use in humans or in clinical diagnosis. Primary Antibodies are guaranteed for 1 year from date of receipt.

Loading...
Loading...
Loading...
Loading...
Loading...