Skip to main content

Glucose 6 phosphate isomerase Antibody (GPI/2439)

Novus Biologicals, part of Bio-Techne | Catalog # NBP3-44601

Novus Biologicals, part of Bio-Techne
Catalog #
Availability
Size / Price
Qty
Loading...
NBP3-44601-100ug
NBP3-44601-20ug

Key Product Details

Species Reactivity

Human

Applications

Immunohistochemistry, Western Blot

Label

Unconjugated

Antibody Source

Monoclonal Mouse IgG2b Kappa Clone # GPI/2439

Concentration

0.2 mg/ml

Product Specifications

Immunogen

Recombinant human full-length Glucose 6 phosphate isomerase protein (Uniprot: P06744).

Localization

Cytoplasm, Secreted

Clonality

Monoclonal

Host

Mouse

Isotype

IgG2b Kappa

Theoretical MW

55 kDa.
Disclaimer note: The observed molecular weight of the protein may vary from the listed predicted molecular weight due to post translational modifications, post translation cleavages, relative charges, and other experimental factors.

Description

200ug/ml of antibody purified from Bioreactor Concentrate by Protein A/G. Prepared in 10 mM PBS with 0.05% BSA & 0.05% azide. Also available WITHOUT BSA & azide at 1.0 mg/ml.

Antibody with azide - store at 2 to 8C. Antibody without azide - store at -20 to -80C. Non-hazardous. No MSDS required.

Scientific Data Images for Glucose 6 phosphate isomerase Antibody (GPI/2439)

Glucose 6 phosphate isomerase Antibody (GPI/2439)

Western Blot: Glucose 6 phosphate isomerase Antibody (GPI/2439) [NBP3-44601] -

Western blot analysis of Human kidney tissue lysate using Glucose 6 phosphate isomerase Antibody (GPI/2439).
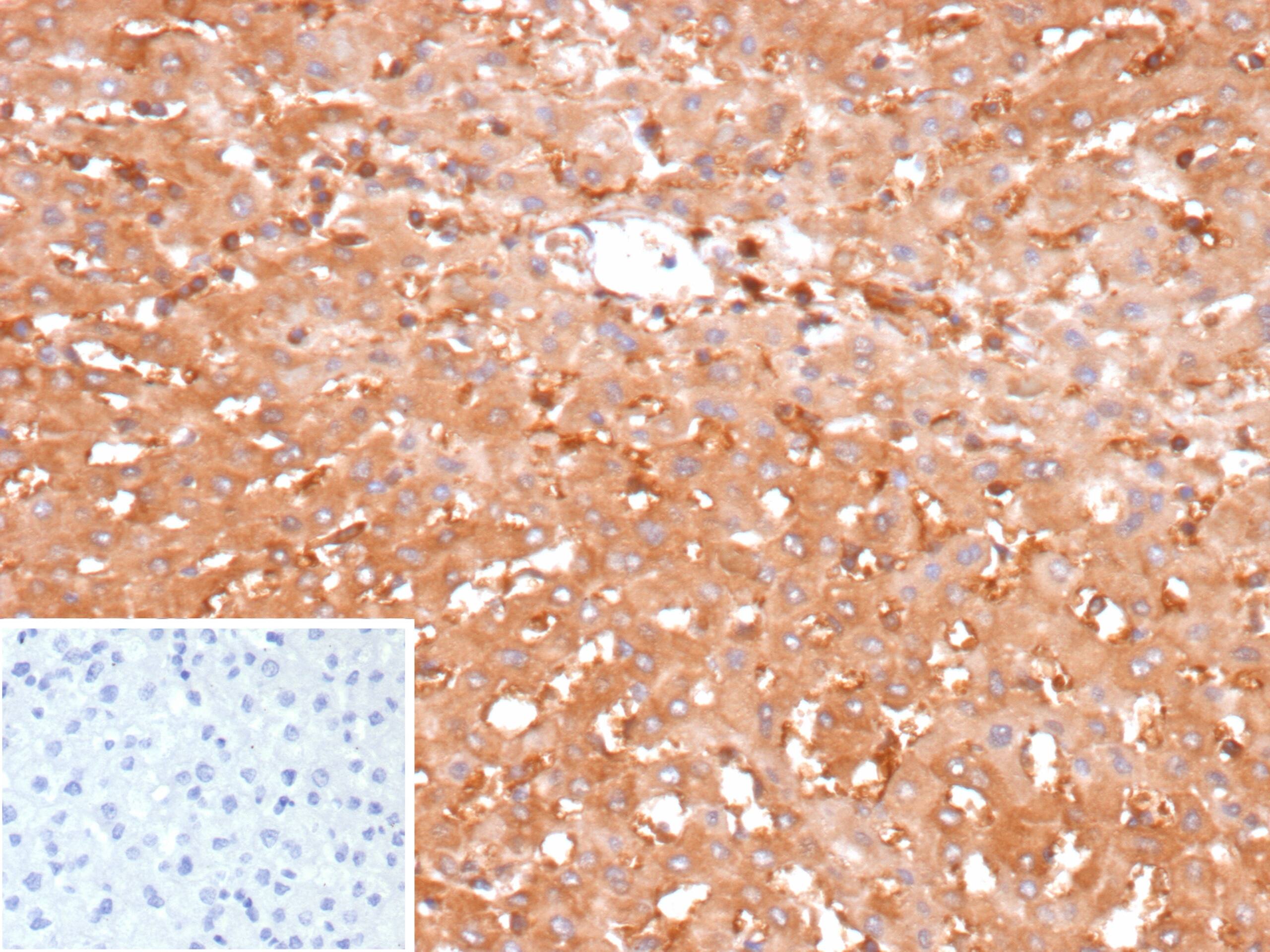
Glucose 6 phosphate isomerase Antibody (GPI/2439)

Immunohistochemistry-Paraffin: Glucose 6 phosphate isomerase Antibody (GPI/2439) [NBP3-44601] -

Formalin-fixed, paraffin-embedded human hepatocellular carcinoma stained with Glucose 6 phosphate isomerase Antibody (GPI/2439).Inset: PBS instead of primary antibody; secondary only negative control.

Applications for Glucose 6 phosphate isomerase Antibody (GPI/2439)

Application
Recommended Usage

Immunohistochemistry

1-2ug/ml

Western Blot

2-4ug/ml
Application Notes
Immunohistochemistry: 30 min at RT. Staining of formalin-fixed tissues requires heating tissue sections in 10mM Tris with 1mM EDTA, pH 9.0, for 45 min at 95C followed by cooling at RT for 20 minutes.

Formulation, Preparation, and Storage

Purification

Protein A purified

Formulation

10 mM PBS with 0.05% BSA

Preservative

0.05% Sodium Azide

Concentration

0.2 mg/ml

Shipping

The product is shipped with polar packs. Upon receipt, store it immediately at the temperature recommended below.

Stability & Storage

Store at 4C.

Background: Glucose 6 phosphate isomerase

Glucose 6 phosphate isomerase belongs to the GPI family whose members encode multifunctional phosphoglucose isomerase proteins involved in energy pathways. The protein encoded by this gene is a dimeric enzyme that catalyzes the reversible isomerization of glucose-6-phosphate and fructose-6-phosphate. The protein functions in different capacities inside and outside the cell. In the cytoplasm, the gene product is involved in glycolysis and gluconeogenesis, while outside the cell it functions as a neurotrophic factor for spinal and sensory neurons. Defects in this gene are the cause of nonspherocytic hemolytic anemia and a severe enzyme deficiency can be associated with hydrops fetalis, immediate neonatal death and neurological impairment.

Alternate Names

AMFGNPI, Autocrine motility factor, DKFZp686C13233, EC 5.3.1.9, glucose phosphate isomerase, glucose-6-phosphate isomerase, hexose monophosphate isomerase, hexosephosphate isomerase, Neuroleukin, NLKSA36, oxoisomerase, PGI, PHI, Phosphoglucose isomerase, phosphohexomutase, Phosphohexose isomerase, phosphosaccharomutase, SA-36, Sperm antigen 36, sperm antigen-36

Gene Symbol

GPI

Additional Glucose 6 phosphate isomerase Products

Product Documents for Glucose 6 phosphate isomerase Antibody (GPI/2439)

Certificate of Analysis

To download a Certificate of Analysis, please enter a lot number in the search box below.

Product Specific Notices for Glucose 6 phosphate isomerase Antibody (GPI/2439)

This product is for research use only and is not approved for use in humans or in clinical diagnosis. Primary Antibodies are guaranteed for 1 year from date of receipt.

Loading...
Loading...
Loading...
Loading...