Skip to main content

Glucocorticoid Receptor alpha Antibody - BSA Free

Novus Biologicals, part of Bio-Techne | Catalog # NB300-633

Novus Biologicals, part of Bio-Techne
Catalog #
Availability
Size / Price
Qty
Loading...
NB300-633-25ug
NB300-633

Key Product Details

Species Reactivity

Validated:

Human, Mouse, Rat, Sheep

Cited:

Human

Applications

Validated:

Immunohistochemistry, Immunohistochemistry-Paraffin, Western Blot, Immunocytochemistry/ Immunofluorescence, Simple Western, Immunoprecipitation, Chromatin Immunoprecipitation (ChIP)

Cited:

Western Blot, Chemotaxis

Label

Unconjugated

Antibody Source

Polyclonal Rabbit IgG

Format

BSA Free

Concentration

LYOPH mg/ml

Product Specifications

Immunogen

Synthetic Peptide: C(755) E I I T N Q I P K Y S N G N I K K(771)

Reactivity Notes

Sheep reactivity reported in scientific literature (see Gupta et all 2003).

Specificity

Detects GR alpha from human, mouse and rat tissues. This does not detect GR beta.

Clonality

Polyclonal

Host

Rabbit

Isotype

IgG

Description

Novus Biologicals Rabbit Glucocorticoid Receptor alpha Antibody - BSA Free (NB300-633) is a polyclonal antibody validated for use in IHC, WB, ICC/IF, Simple Western, IP and ChIP. Anti-Glucocorticoid Receptor alpha Antibody: Cited in 4 publications. All Novus Biologicals antibodies are covered by our 100% guarantee.

Scientific Data Images for Glucocorticoid Receptor alpha Antibody - BSA Free

Immunocytochemistry/ Immunofluorescence: Glucocorticoid Receptor alpha Antibody - BSA Free [NB300-633]

Immunocytochemistry/ Immunofluorescence: Glucocorticoid Receptor alpha Antibody - BSA Free [NB300-633]

Immunocytochemistry/Immunofluorescence: Glucocorticoid Receptor alpha Antibody [NB300-633] - Analysis of Glucocorticoid Receptor alpha using Glucocorticoid Receptor alpha Polyclonal Antibody shows staining in U251 Cells. Glucocorticoid Receptor alpha (green), F-Actin staining with Phalloidin (red) and nuclei with DAPI (blue) is shown. Cells were grown on chamber slides and fixed with formaldehyde prior to staining. Cells were probed without (control) or with an antibody recognizing Glucocorticoid Receptor alpha at a dilution of 1:100 over night at 4C, washed with PBS and incubated with a DyLight-488 conjugated.
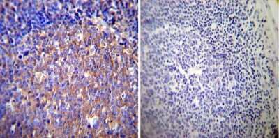
Immunohistochemistry-Paraffin: Glucocorticoid Receptor alpha Antibody - BSA Free [NB300-633]

Immunohistochemistry-Paraffin: Glucocorticoid Receptor alpha Antibody - BSA Free [NB300-633]

Immunohistochemistry-Paraffin: Glucocorticoid Receptor alpha Antibody [NB300-633] - Both normal and cancer biopsies of deparaffinized Human heart tissues.
Immunocytochemistry/ Immunofluorescence: Glucocorticoid Receptor alpha Antibody - BSA Free [NB300-633]

Immunocytochemistry/ Immunofluorescence: Glucocorticoid Receptor alpha Antibody - BSA Free [NB300-633]

Immunocytochemistry/Immunofluorescence: Glucocorticoid Receptor alpha Antibody [NB300-633] - Analysis of Glucocorticoid Receptor alpha using Glucocorticoid Receptor alpha Polyclonal Antibody shows staining in A2058 Cells. Glucocorticoid Receptor alpha (green), F-Actin staining with Phalloidin (red) and nuclei with DAPI (blue) is shown. Cells were grown on chamber slides and fixed with formaldehyde prior to staining. Cells were probed without (control) or with an antibody recognizing Glucocorticoid Receptor alpha at a dilution of 1:200 over night at 4C, washed with PBS and incubated with a DyLight-488 conjugated.

Applications for Glucocorticoid Receptor alpha Antibody - BSA Free

Application
Recommended Usage

Chromatin Immunoprecipitation (ChIP)

1:10-1:500

Immunocytochemistry/ Immunofluorescence

1:10-1:500

Immunohistochemistry

1:20

Immunohistochemistry-Paraffin

1:20

Immunoprecipitation

1:10 - 1:500

Western Blot

4 ug/ml
Application Notes
Useful in WB, IP, ICC, IF and ChIP. WB: Detects an approx. 90 kDa protein representing GR in HeLa cell lysate.
See Simple Western Antibody Database for Simple Western validation: tested in mammalian cell lysates; antibody dilution of 1:50; separated by size; detects a band at 95 kDa

Formulation, Preparation, and Storage

Purification

Immunogen affinity purified

Reconstitution

Reconstitute with 50 ul ultra-pure water to desired concetration.

Formulation

PBS

Format

BSA Free

Preservative

0.05% Sodium Azide

Concentration

LYOPH mg/ml

Shipping

The product is shipped with polar packs. Upon receipt, store it immediately at the temperature recommended below.

Stability & Storage

Store at -20C. Avoid freeze-thaw cycles.

Background: Glucocorticoid Receptor alpha

Glucocorticoids are a family of steroids necessary for the regulation of energy metabolism and the immune and inflammatory responses. These compounds exert their effect through their interaction with the Glucocorticoid Receptor (GR) and that complex's subsequent association with DNA. All normal mammalian tissues examined to date have been shown to contain GR. The human GR exists in two forms, alpha and beta, which are thought to be the result of alternative splicing of a single gene. Sequence analysis indicates that alpha and beta forms of human GR are 777 and 742 amino acids long, respectively. They are identical up to residue 727, after which they diverge. After ligand binding, the 94 kDa GR alpha isoform translocates from the cytoplasm to the nucleus where it regulates gene expression. In contrast, the 90 kDa GR beta isoform does not appear to bind either glucocorticoid agonists or antagonists, and has been localized predominantly in the nucleus independent of hormone treatment in some human cell lines. Studies suggest that human GR alpha has a greater affinity for GR response elements (GREs) than GR beta only when in the ligand bound state.

Alternate Names

GCR, glucocorticoid receptor, GRGCCR, GRLNuclear receptor subfamily 3 group C member 1, nuclear receptor subfamily 3, group C, member 1, nuclear receptor subfamily 3, group C, member 1 (glucocorticoid receptor)

Entrez Gene IDs

2908 (Human); 13627 (Mouse); 24413 (Rat)

Gene Symbol

NR3C1

UniProt

Additional Glucocorticoid Receptor alpha Products

Product Documents for Glucocorticoid Receptor alpha Antibody - BSA Free

Certificate of Analysis

To download a Certificate of Analysis, please enter a lot number in the search box below.

Product Specific Notices for Glucocorticoid Receptor alpha Antibody - BSA Free

This product is for research use only and is not approved for use in humans or in clinical diagnosis. Primary Antibodies are guaranteed for 1 year from date of receipt.

Loading...
Loading...
Loading...
Loading...
Loading...