Skip to main content

GLTP Antibody - BSA Free

Novus Biologicals, part of Bio-Techne | Catalog # NBP3-41322

Novus Biologicals, part of Bio-Techne
Catalog #
Availability
Size / Price
Qty
Loading...
NBP3-41322

Key Product Details

Species Reactivity

Human, Mouse, Porcine

Applications

Immunohistochemistry, Immunohistochemistry-Paraffin, Western Blot

Label

Unconjugated

Antibody Source

Polyclonal Rabbit

Format

BSA Free

Concentration

0.5 mg/ml

Product Specifications

Immunogen

Immunized with recombinant Human GLTP (Uniprot#: Q9NZD2; Ala2-Val209 (Uniprot#: Q9NZD2)

Clonality

Polyclonal

Host

Rabbit

Description

Novus Biologicals Rabbit GLTP Antibody - BSA Free (NBP3-41322) is a polyclonal antibody validated for use in IHC and WB. All Novus Biologicals antibodies are covered by our 100% guarantee.

Scientific Data Images for GLTP Antibody - BSA Free

GLTP Antibody

Western Blot: GLTP Antibody [NBP3-41322] -

Western Blot: GLTP Antibody [NBP3-41322] - Sample: Lane1: Porcine Stomach lysate; Lane2: Mouse Cerebrum lysate Primary Ab: 1ug/ml NBP3-41322; Second Ab: 0.2ug/mL HRP-Linked Caprine Anti-Rabbit IgG Polyclonal Antibody
GLTP Antibody

Immunohistochemistry-Paraffin: GLTP Antibody [NBP3-41322] -

Immunohistochemistry-Paraffin: GLTP Antibody [NBP3-41322] - DAB staining on IHC-P; Samples: Human Stomach cancer Tissue; Primary Ab: 30ug/ml NBP3-41322; Second Ab: 2ug/mL HRP-Linked Caprine Anti-Rabbit IgG Polyclonal Antibody
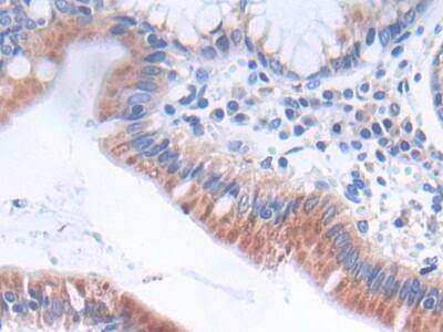
GLTP Antibody

Immunohistochemistry-Paraffin: GLTP Antibody [NBP3-41322] -

Immunohistochemistry-Paraffin: GLTP Antibody [NBP3-41322] - DAB staining on IHC-P; Samples: Human Stomach Tissue; Primary Ab: 30ug/ml NBP3-41322; Second Ab: 2ug/mL HRP-Linked Caprine Anti-Rabbit IgG Polyclonal Antibody

Applications for GLTP Antibody - BSA Free

Application
Recommended Usage

Immunohistochemistry

5-30ug/mL

Immunohistochemistry-Paraffin

5-30ug/mL

Western Blot

0.01-3ug/mL

Formulation, Preparation, and Storage

Purification

Antigen and protein A Affinity-purified

Formulation

0.01M PBS, pH7.4, 50% glycerol

Format

BSA Free

Preservative

0.05% Proclin 300

Concentration

0.5 mg/ml

Shipping

The product is shipped with polar packs. Upon receipt, store it immediately at the temperature recommended below.

Stability & Storage

Store at 4C short term. Aliquot and store at -20C long term. Avoid freeze-thaw cycles.

Background: GLTP

The GLTP gene codes for a cycloplasmic glycolipid transfer protein that is 209 amino acids long and is approximately 23 kDA. GLTP has been researched with its role in cholesterol, tuberculosis, venous insufficiency, and varicose veins. The GLTP gene frequently interacts with genes ELAVL1 and UBC.

Alternate Names

glycolipid transfer protein

Gene Symbol

GLTP

Additional GLTP Products

Product Documents for GLTP Antibody - BSA Free

Certificate of Analysis

To download a Certificate of Analysis, please enter a lot number in the search box below.

Product Specific Notices for GLTP Antibody - BSA Free

This product is for research use only and is not approved for use in humans or in clinical diagnosis. Primary Antibodies are guaranteed for 1 year from date of receipt.

Loading...
Loading...
Loading...
Loading...