GID4 Antibody - BSA Free
Novus Biologicals, part of Bio-Techne | Catalog # NBP1-91717
Key Product Details
Species Reactivity
Validated:
Human
Predicted:
Mouse (100%), Rat (100%). Backed by our 100% Guarantee.
Applications
Immunohistochemistry, Immunohistochemistry-Paraffin, Immunocytochemistry/ Immunofluorescence
Label
Unconjugated
Antibody Source
Polyclonal Rabbit IgG
Format
BSA Free
Concentration
Concentrations vary lot to lot. See vial label for concentration. If unlisted please contact technical services.
Product Specifications
Immunogen
This antibody was developed against Recombinant Protein corresponding to amino acids: DTGNSYLCGYLKIKGLTEEYPTLTTFFEGEIISKKHPFLTRKWDADEDVDRKHWGKFLAFYQYAKSFNSDDFDYE
Clonality
Polyclonal
Host
Rabbit
Isotype
IgG
Scientific Data Images for GID4 Antibody - BSA Free
Immunohistochemistry-Paraffin: C17orf39 Antibody [NBP1-91717] -
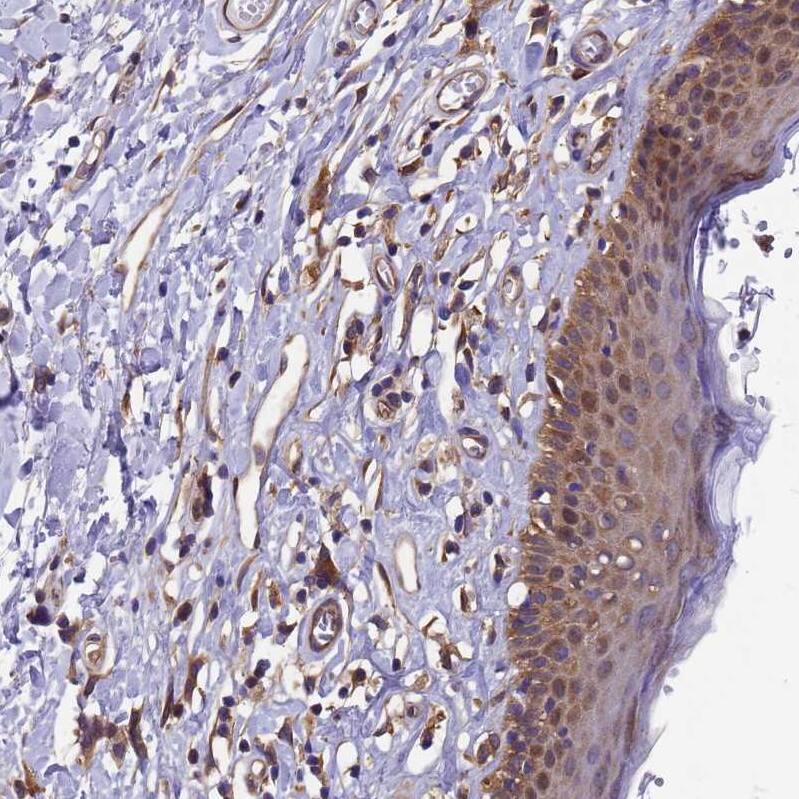
Immunohistochemistry-Paraffin: C17orf39 Antibody [NBP1-91717] -Staining of human skin shows moderate cytoplasmic/membranous positivity in endothelial cells and squamous epithelial cells.Immunohistochemistry: GID4 Antibody - BSA Free [NBP1-91717]
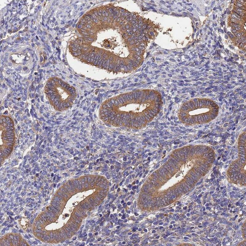
Staining of human endometrium shows moderate cytoplasmic/membranous positivity in glandular cells.Immunohistochemistry: GID4 Antibody - BSA Free [NBP1-91717]
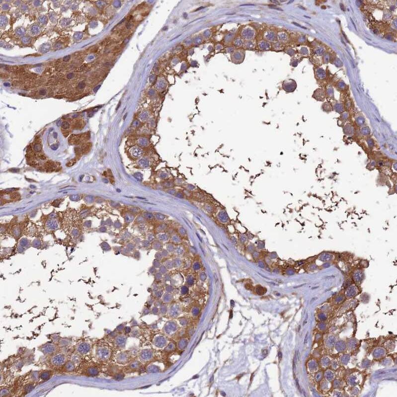
Staining of human testis shows moderate cytoplasmic positivity in cells in seminiferous ducts and leydig cells.Applications for GID4 Antibody - BSA Free
Application
Recommended Usage
Immunocytochemistry/ Immunofluorescence
0.25-2 ug/ml
Immunohistochemistry
1:500 - 1:1000
Immunohistochemistry-Paraffin
1:500 - 1:1000
Application Notes
For IHC-Paraffin, HIER pH 6 retrieval is recommended. ICC/IF,Fixation Permeabilization: Use PFA/Triton X-100.
Formulation, Preparation, and Storage
Purification
Affinity purified
Formulation
PBS (pH 7.2) and 40% Glycerol
Format
BSA Free
Preservative
0.02% Sodium Azide
Concentration
Concentrations vary lot to lot. See vial label for concentration. If unlisted please contact technical services.
Shipping
The product is shipped with polar packs. Upon receipt, store it immediately at the temperature recommended below.
Stability & Storage
Store at 4C short term. Aliquot and store at -20C long term. Avoid freeze-thaw cycles.
Background: GID4
Alternate Names
C17orf39, chromosome 17 open reading frame 39, GID complex subunit 4, VID24 homolog (S. cerevisiae), hypothetical protein LOC79018, MGC3048, VID24
Gene Symbol
GID4
Additional GID4 Products
Product Documents for GID4 Antibody - BSA Free
Product Specific Notices for GID4 Antibody - BSA Free
This product is for research use only and is not approved for use in humans or in clinical diagnosis. Primary Antibodies are guaranteed for 1 year from date of receipt.
Loading...
Loading...
Loading...
Loading...