GGPS1 Antibody (OTI3F9)
Novus Biologicals, part of Bio-Techne | Catalog # NBP2-03037
Conjugate
Catalog #
Forumulation
Catalog #
Key Product Details
Species Reactivity
Human, Mouse, Rat
Applications
Immunohistochemistry, Immunohistochemistry-Paraffin, Western Blot
Label
Unconjugated
Antibody Source
Monoclonal Mouse IgG1 Clone # OTI3F9
Concentration
0.81 mg/ml
Product Specifications
Immunogen
Full length human recombinant protein of human GGPS1 (NP_004828) produced in HEK293T cell.
Reactivity Notes
Please note that this antibody is reactive to Mouse and derived from the same host, Mouse. Mouse-On-Mouse blocking reagent may be needed for IHC and ICC experiments to reduce high background signal. You can find these reagents under catalog numbers PK-2200-NB and MP-2400-NB. Please contact Technical Support if you have any questions.
Clonality
Monoclonal
Host
Mouse
Isotype
IgG1
Theoretical MW
34.7 kDa.
Disclaimer note: The observed molecular weight of the protein may vary from the listed predicted molecular weight due to post translational modifications, post translation cleavages, relative charges, and other experimental factors.
Disclaimer note: The observed molecular weight of the protein may vary from the listed predicted molecular weight due to post translational modifications, post translation cleavages, relative charges, and other experimental factors.
Description
Novus Biologicals Mouse GGPS1 Antibody (OTI3F9) (NBP2-03037) is a monoclonal antibody validated for use in IHC and WB. All Novus Biologicals antibodies are covered by our 100% guarantee.
Scientific Data Images for GGPS1 Antibody (OTI3F9)
Western Blot: GGPS1 Antibody (OTI3F9) [NBP2-03037]
Western Blot: GGPS1 Antibody (3F9) [NBP2-03037] - HEK293T cells were transfected with the pCMV6-ENTRY control (Left lane) or pCMV6-ENTRY GGPS1 (Right lane) cDNA for 48 hrs and lysed. Equivalent amounts of cell lysates (5 ug per lane) were separated by SDS-PAGE and immunoblotted with anti-GGPS1.
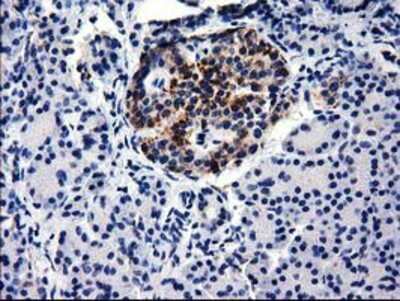
Immunohistochemistry-Paraffin: GGPS1 Antibody (3F9) [NBP2-03037] Staining of paraffin-embedded Human pancreas tissue using anti-GGPS1 mouse monoclonal antibody.
Immunohistochemistry-Paraffin: GGPS1 Antibody (OTI3F9) [NBP2-03037]
Immunohistochemistry-Paraffin: GGPS1 Antibody (3F9) [NBP2-03037] - Staining of paraffin-embedded Adenocarcinoma of Human breast tissue using anti-GGPS1 mouse monoclonal antibody.Applications for GGPS1 Antibody (OTI3F9)
Application
Recommended Usage
Immunohistochemistry
1:150
Immunohistochemistry-Paraffin
1:150
Western Blot
1:500
Formulation, Preparation, and Storage
Purification
Immunogen affinity purified
Formulation
PBS (pH 7.3), 1.0% BSA and 50% Glycerol
Preservative
0.02% Sodium Azide
Concentration
0.81 mg/ml
Shipping
The product is shipped with polar packs. Upon receipt, store it immediately at the temperature recommended below.
Stability & Storage
Store at -20C. Avoid freeze-thaw cycles.
Background: GGPS1
Alternate Names
6E)-farnesyl diphosphate synthase, Dimethylallyltranstransferase, EC 2.5.1.1, EC 2.5.1.10, EC 2.5.1.29, Farnesyl diphosphate synthase, Farnesyltranstransferase, Geranylgeranyl diphosphate synthase, geranylgeranyl diphosphate synthase 1, geranylgeranyl pyrophosphate synthase, geranyltranstransferase, GGPP synthase, GGPPS, GGPPS1farnesyltranstransferase, GGPPSase
Entrez Gene IDs
9453 (Human)
Gene Symbol
GGPS1
Additional GGPS1 Products
Product Documents for GGPS1 Antibody (OTI3F9)
Product Specific Notices for GGPS1 Antibody (OTI3F9)
This product is for research use only and is not approved for use in humans or in clinical diagnosis. Primary Antibodies are guaranteed for 1 year from date of receipt.
Loading...
Loading...
Loading...
Loading...