Skip to main content

GDAP1 Antibody - BSA Free

Novus Biologicals, part of Bio-Techne | Catalog # NBP3-04549

Novus Biologicals, part of Bio-Techne
Catalog #
Availability
Size / Price
Qty
Loading...
NBP3-04549-100ul
NBP3-04549-20ul

Key Product Details

Species Reactivity

Human, Mouse, Rat

Applications

Immunohistochemistry, Immunohistochemistry-Paraffin, Western Blot, ELISA

Label

Unconjugated

Antibody Source

Polyclonal Rabbit IgG

Format

BSA Free

Concentration

Please see the vial label for concentration. If unlisted please contact technical services.

Product Specifications

Immunogen

Recombinant fusion protein containing a sequence corresponding to amino acids 1-225 of human GDAP1 (NP_001035808.1). MRLNSTGEVPVLIHGENIICEATQIIDYLEQTFLDERTPRLMPDKESMYYPRVQHYRELLDSLPMDAYTHGCILHPELTVDSMIPAYATTRIRSQIGNTESELKKLAEENPDLQEAYIAKQKRLKSKLLDHDNVKYLKKILDELEKVLDQVETELQRRNEETPEEGQQPWLCGESFTLADVSLAVTLHRLKFLGFARRNWGNGKRPNLETYYERVLKRKTFNKVL

Clonality

Polyclonal

Host

Rabbit

Isotype

IgG

Theoretical MW

41 kDa.
Disclaimer note: The observed molecular weight of the protein may vary from the listed predicted molecular weight due to post translational modifications, post translation cleavages, relative charges, and other experimental factors.

Description

Novus Biologicals Rabbit GDAP1 Antibody - BSA Free (NBP3-04549) is a polyclonal antibody validated for use in IHC, WB and ELISA. All Novus Biologicals antibodies are covered by our 100% guarantee.

Scientific Data Images for GDAP1 Antibody - BSA Free

Western Blot: GDAP1 AntibodyBSA Free [NBP3-04549]

Western Blot: GDAP1 AntibodyBSA Free [NBP3-04549]

Western Blot: GDAP1 Antibody [NBP3-04549] - Analysis of extracts of various cell lines, using GDAP1 antibody at 1:1000 dilution. Secondary antibody: HRP Goat Anti-Rabbit IgG (H+L) at 1:10000 dilution. Lysates/proteins: 25ug per lane. Blocking buffer: 3% nonfat dry milk in TBST. Detection: CL Basic Kit
Immunohistochemistry-Paraffin: GDAP1 Antibody - BSA Free [NBP3-04549]

Immunohistochemistry-Paraffin: GDAP1 Antibody - BSA Free [NBP3-04549]

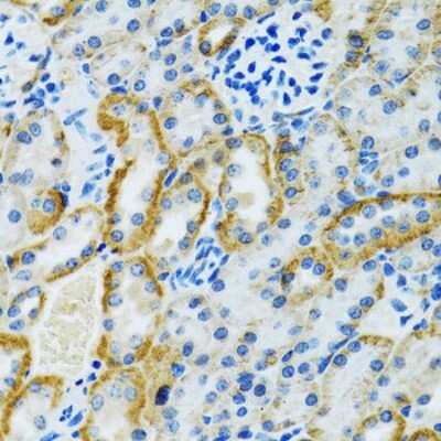
Immunohistochemistry-Paraffin: GDAP1 Antibody [NBP3-04549] - Paraffin-embedded mouse kidney using GDAP1 antibody at dilution of 1:100 (40x lens).
Immunohistochemistry-Paraffin: GDAP1 Antibody - BSA Free [NBP3-04549]

Immunohistochemistry-Paraffin: GDAP1 Antibody - BSA Free [NBP3-04549]

Immunohistochemistry-Paraffin: GDAP1 Antibody [NBP3-04549] - Paraffin-embedded rat kidney using GDAP1 antibody at dilution of 1:100 (40x lens).

Applications for GDAP1 Antibody - BSA Free

Application
Recommended Usage

ELISA

Recommended starting concentration is 1 μg/mL.

Immunohistochemistry

1:50-1:200

Western Blot

1:500-1:2000

Formulation, Preparation, and Storage

Purification

Affinity purified

Formulation

PBS (pH 7.3), 50% glycerol

Format

BSA Free

Preservative

0.02% Sodium Azide

Concentration

Please see the vial label for concentration. If unlisted please contact technical services.

Shipping

The product is shipped with polar packs. Upon receipt, store it immediately at the temperature recommended below.

Stability & Storage

Store at -20C. Avoid freeze-thaw cycles.

Background: GDAP1

The GDAP1 gene encodes for a member of the ganglioside-induced differentiation-associated protein family that is active in signal transduction pathways during neuronal development. These proteins also monitor the mitochondrial network by endorsing mitochondrial fission. Isoform 1 is 358 amino acids long at 41 kDA while isoform 2 is 290 amino acids long at approximately 33 kDA. Neuropathy, muscular dystrophy, and multiple forms of Charcot-Marie-Tooth Disease have been linked to mutations in the GDAP1 gene. The GDAP1 gene is involved in NgR-p75(NTR)-Mediated signaling and interacts with genes such as FIS1, ATP6V1D, TUBB, UBC, and YWHAB.

Alternate Names

Charcot-Marie-Tooth neuropathy 4A, CMT2K, CMT4, CMT4A, CMTRIA, ganglioside differentiation associated protein 1, ganglioside-induced differentiation-associated protein 1, truncated ganglioside differentiation associated protein 1

Gene Symbol

GDAP1

Additional GDAP1 Products

Product Documents for GDAP1 Antibody - BSA Free

Certificate of Analysis

To download a Certificate of Analysis, please enter a lot number in the search box below.

Product Specific Notices for GDAP1 Antibody - BSA Free

This product is for research use only and is not approved for use in humans or in clinical diagnosis. Primary Antibodies are guaranteed for 1 year from date of receipt.

Loading...
Loading...
Loading...
Loading...