Skip to main content

GDAP1 Antibody - BSA Free

Novus Biologicals, part of Bio-Techne | Catalog # NBP1-84429

Novus Biologicals, part of Bio-Techne
Catalog #
Availability
Size / Price
Qty
Loading...
NBP1-84429
NBP1-84429-25ul

Key Product Details

Validated by

Orthogonal Validation, Independent Antibodies

Species Reactivity

Validated:

Human

Predicted:

Mouse (99%), Rat (97%). Backed by our 100% Guarantee.

Applications

Immunohistochemistry, Immunohistochemistry-Paraffin

Label

Unconjugated

Antibody Source

Polyclonal Rabbit IgG

Format

BSA Free

Concentration

Concentrations vary lot to lot. See vial label for concentration. If unlisted please contact technical services.

Product Specifications

Immunogen

This antibody was developed against Recombinant Protein corresponding to amino acids: ILHPELTVDSMIPAYATTRIRSQIGNTESELKKLAEENPDLQEAYIAKQKRLKSKLLDHDNVKYLKKILDELEKVLDQVETELQRRNEETPEEGQQPWLCGESFTLADVSLAVTLHRLKFLGFARRNWGNGKRPNLETYYERV

Clonality

Polyclonal

Host

Rabbit

Isotype

IgG

Scientific Data Images for GDAP1 Antibody - BSA Free

GDAP1 Antibody - BSA Free Immunohistochemistry-Paraffin: GDAP1 Antibody - BSA Free [NBP1-84429]

Immunohistochemistry-Paraffin: GDAP1 Antibody - BSA Free [NBP1-84429]

Staining of human skin shows negative cytoplasmic positivity in squamous epithelial cells as expected.
GDAP1 Antibody - BSA Free Immunohistochemistry-Paraffin: GDAP1 Antibody - BSA Free [NBP1-84429]

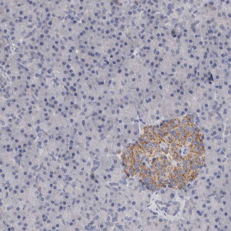
Staining of human cerebellum, cerebral cortex, pancreas and skin using Anti-GDAP1 antibody NBP1-84429 (A) shows similar protein distribution across tissues to independent antibody HPA014266 (B).

Staining of human cerebellum, cerebral cortex, pancreas and skin using Anti-GDAP1 antibody HPA024334 (A) shows similar protein distribution across tissues to independent antibody HPA014266 (B).
GDAP1 Antibody - BSA Free Immunohistochemistry-Paraffin: GDAP1 Antibody - BSA Free [NBP1-84429]

Immunohistochemistry-Paraffin: GDAP1 Antibody - BSA Free [NBP1-84429]

Staining of human cerebral cortex shows moderate cytoplasmic positivity in neurons.

Applications for GDAP1 Antibody - BSA Free

Application
Recommended Usage

Immunohistochemistry

1:200 - 1:500

Immunohistochemistry-Paraffin

1:200 - 1:500
Application Notes
For IHC-Paraffin, HIER pH 6 retrieval is recommended.

Formulation, Preparation, and Storage

Purification

Affinity purified

Formulation

PBS (pH 7.2) and 40% Glycerol

Format

BSA Free

Preservative

0.02% Sodium Azide

Concentration

Concentrations vary lot to lot. See vial label for concentration. If unlisted please contact technical services.

Shipping

The product is shipped with polar packs. Upon receipt, store it immediately at the temperature recommended below.

Stability & Storage

Store at 4C short term. Aliquot and store at -20C long term. Avoid freeze-thaw cycles.

Background: GDAP1

The GDAP1 gene encodes for a member of the ganglioside-induced differentiation-associated protein family that is active in signal transduction pathways during neuronal development. These proteins also monitor the mitochondrial network by endorsing mitochondrial fission. Isoform 1 is 358 amino acids long at 41 kDA while isoform 2 is 290 amino acids long at approximately 33 kDA. Neuropathy, muscular dystrophy, and multiple forms of Charcot-Marie-Tooth Disease have been linked to mutations in the GDAP1 gene. The GDAP1 gene is involved in NgR-p75(NTR)-Mediated signaling and interacts with genes such as FIS1, ATP6V1D, TUBB, UBC, and YWHAB.

Alternate Names

Charcot-Marie-Tooth neuropathy 4A, CMT2K, CMT4, CMT4A, CMTRIA, ganglioside differentiation associated protein 1, ganglioside-induced differentiation-associated protein 1, truncated ganglioside differentiation associated protein 1

Gene Symbol

GDAP1

Additional GDAP1 Products

Product Documents for GDAP1 Antibody - BSA Free

Certificate of Analysis

To download a Certificate of Analysis, please enter a lot number in the search box below.

Product Specific Notices for GDAP1 Antibody - BSA Free

This product is for research use only and is not approved for use in humans or in clinical diagnosis. Primary Antibodies are guaranteed for 1 year from date of receipt.

Loading...
Loading...
Loading...
Loading...