GCC1 Antibody - BSA Free
Novus Biologicals, part of Bio-Techne | Catalog # NBP1-83610
Key Product Details
Validated by
Knockout/Knockdown, Independent Antibodies
Species Reactivity
Validated:
Human
Predicted:
Mouse (93%), Rat (93%). Backed by our 100% Guarantee.
Applications
Immunohistochemistry, Immunohistochemistry-Paraffin, Western Blot, Immunocytochemistry/ Immunofluorescence, Knockdown Validated
Label
Unconjugated
Antibody Source
Polyclonal Rabbit IgG
Format
BSA Free
Concentration
Concentrations vary lot to lot. See vial label for concentration. If unlisted please contact technical services.
Product Specifications
Immunogen
This antibody was developed against Recombinant Protein corresponding to amino acids: LELRLEETREALAGRAYAAEQMEGFELQTKQLTREVEELKSELQAIRDEKNQPDPRLQELQEEAARLKSHFQAQLQQEMR
Clonality
Polyclonal
Host
Rabbit
Isotype
IgG
Scientific Data Images for GCC1 Antibody - BSA Free
Immunocytochemistry/ Immunofluorescence: GCC1 Antibody [NBP1-83610]
Immunocytochemistry/Immunofluorescence: GCC1 Antibody [NBP1-83610] - Immunofluorescent staining of human cell line A-431 shows localization to plasma membrane, cytosol & the Golgi apparatus.Immunohistochemistry-Paraffin: GCC1 Antibody [NBP1-83610]
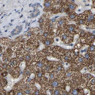
Immunohistochemistry-Paraffin: GCC1 Antibody [NBP1-83610] - Staining of human liver.Applications for GCC1 Antibody - BSA Free
Application
Recommended Usage
Immunocytochemistry/ Immunofluorescence
0.25-2 ug/ml
Immunohistochemistry
1:200 - 1:500
Immunohistochemistry-Paraffin
1:200 - 1:500
Western Blot
0.04-0.4 ug/ml
Application Notes
For IHC-Paraffin, HIER pH 6 retrieval is recommended. Immunocytochemistry/Immunofluorescence Fixation Permeabilization: Use PFA/Triton X-100.
Formulation, Preparation, and Storage
Purification
Affinity purified
Formulation
PBS (pH 7.2) and 40% Glycerol
Format
BSA Free
Preservative
0.02% Sodium Azide
Concentration
Concentrations vary lot to lot. See vial label for concentration. If unlisted please contact technical services.
Shipping
The product is shipped with polar packs. Upon receipt, store it immediately at the temperature recommended below.
Stability & Storage
Store at 4C short term. Aliquot and store at -20C long term. Avoid freeze-thaw cycles.
Background: GCC1
Alternate Names
FLJ22035, GCC1P, GCC88Golgi coiled-coil protein 1, golgi coiled-coil 1, GRIP and coiled-coil domain containing 1, GRIP and coiled-coil domain-containing protein 1, MGC20706, peripheral membrane Golgi protein
Gene Symbol
GCC1
Additional GCC1 Products
Product Documents for GCC1 Antibody - BSA Free
Product Specific Notices for GCC1 Antibody - BSA Free
This product is for research use only and is not approved for use in humans or in clinical diagnosis. Primary Antibodies are guaranteed for 1 year from date of receipt.
Loading...
Loading...
Loading...
Loading...