Skip to main content

GBP2 Antibody (OTI5C8)

Novus Biologicals, part of Bio-Techne | Catalog # NBP1-47768

Novus Biologicals, part of Bio-Techne
Catalog #
Availability
Size / Price
Qty
Loading...
NBP1-47768

Key Product Details

Species Reactivity

Validated:

Human

Cited:

Human

Applications

Validated:

Immunohistochemistry, Immunohistochemistry-Paraffin, Western Blot, Flow Cytometry, Immunocytochemistry/ Immunofluorescence

Cited:

Immunohistochemistry-Paraffin, Western Blot, IF/IHC

Label

Unconjugated

Antibody Source

Monoclonal Mouse IgG2B Clone # OTI5C8

Concentration

1.5 mg/ml

Product Specifications

Immunogen

Full length human recombinant protein of human GBP2 (NP_004111) produced in HEK293T cell.

Clonality

Monoclonal

Host

Mouse

Isotype

IgG2B

Theoretical MW

67 kDa.
Disclaimer note: The observed molecular weight of the protein may vary from the listed predicted molecular weight due to post translational modifications, post translation cleavages, relative charges, and other experimental factors.

Description

Novus Biologicals Mouse GBP2 Antibody (OTI5C8) (NBP1-47768) is a monoclonal antibody validated for use in IHC, WB, Flow and ICC/IF. Anti-GBP2 Antibody: Cited in 3 publications. All Novus Biologicals antibodies are covered by our 100% guarantee.

Scientific Data Images for GBP2 Antibody (OTI5C8)

Western Blot: GBP2 Antibody (OTI5C8) [NBP1-47768]

Western Blot: GBP2 Antibody (OTI5C8) [NBP1-47768]

Western Blot: GBP2 Antibody (OTI5C8) [NBP1-47768] - Analysis of extracts (35ug) from 9 different cell lines by using anti-GBP2 monoclonal antibody (HepG2: human; HeLa: human; SVT2: mouse; A549: human; COS7: monkey; Jurkat: human; MDCK: canine; PC12: rat; MCF7: human).(1:200)
Immunocytochemistry/ Immunofluorescence: GBP2 Antibody (OTI5C8) [NBP1-47768]

Immunocytochemistry/ Immunofluorescence: GBP2 Antibody (OTI5C8) [NBP1-47768]

Immunocytochemistry/Immunofluorescence: GBP2 Antibody (OTI5C8) [NBP1-47768] - Staining of COS7 cells transiently transfected by pCMV6-ENTRY GBP2.
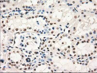
Immunohistochemistry-Paraffin: GBP2 Antibody (OTI5C8) [NBP1-47768]

Immunohistochemistry-Paraffin: GBP2 Antibody (OTI5C8) [NBP1-47768]

Immunohistochemistry-Paraffin: GBP2 Antibody (OTI5C8) [NBP1-47768] - Staining of paraffin-embedded Human colon tissue within the normal limits using anti-GBP2 mouse monoclonal antibody. (Heat-induced epitope retrieval by 10mM citric buffer, pH6.0, 100C for 10min)

Applications for GBP2 Antibody (OTI5C8)

Application
Recommended Usage

Flow Cytometry

1:100

Immunocytochemistry/ Immunofluorescence

1:100

Immunohistochemistry

1:50

Immunohistochemistry-Paraffin

1:50

Western Blot

1:2000

Formulation, Preparation, and Storage

Purification

Immunogen affinity purified

Formulation

PBS (pH 7.3), 1.0% BSA and 50% Glycerol

Preservative

0.02% Sodium Azide

Concentration

1.5 mg/ml

Shipping

The product is shipped with polar packs. Upon receipt, store it immediately at the temperature recommended below.

Stability & Storage

Store at -20C. Avoid freeze-thaw cycles.

Background: GBP2

Interferons are cytokines that have antiviral effects and inhibit tumor cell proliferation. They induce a large number of genes in their target cells, including those coding for the guanylate-binding proteins (GBPs). GBPs are characterized by their ability to specifically bind guanine nucleotides (GMP, GDP, and GTP). The protein encoded by this gene is a GTPase that converts GTP to GDP and GMP.

Alternate Names

GBP-2, GTP-binding protein 2, Guanine nucleotide-binding protein 2, guanylate binding protein 2, interferon-inducible, huGBP-2, interferon-induced guanylate-binding protein 2

Entrez Gene IDs

2634 (Human)

Gene Symbol

GBP2

UniProt

Additional GBP2 Products

Product Documents for GBP2 Antibody (OTI5C8)

Certificate of Analysis

To download a Certificate of Analysis, please enter a lot number in the search box below.

Product Specific Notices for GBP2 Antibody (OTI5C8)

This product is for research use only and is not approved for use in humans or in clinical diagnosis. Primary Antibodies are guaranteed for 1 year from date of receipt.

Loading...
Loading...
Loading...
Loading...
Loading...