GARS Antibody (OTI4G4)
Novus Biologicals, part of Bio-Techne | Catalog # NBP2-45808
Conjugate
Catalog #
Forumulation
Catalog #
Key Product Details
Species Reactivity
Human, Mouse, Rat
Applications
Immunohistochemistry, Immunohistochemistry-Paraffin
Label
Unconjugated
Antibody Source
Monoclonal Mouse IgG1 Clone # OTI4G4
Concentration
1 mg/ml
Product Specifications
Immunogen
Full length human recombinant protein of human GARS (NP_002038) produced in HEK293T cell.
Reactivity Notes
Please note that this antibody is reactive to Mouse and derived from the same host, Mouse. Mouse-On-Mouse blocking reagent may be needed for IHC and ICC experiments to reduce high background signal. You can find these reagents under catalog numbers PK-2200-NB and MP-2400-NB. Please contact Technical Support if you have any questions.
Clonality
Monoclonal
Host
Mouse
Isotype
IgG1
Theoretical MW
83 kDa.
Disclaimer note: The observed molecular weight of the protein may vary from the listed predicted molecular weight due to post translational modifications, post translation cleavages, relative charges, and other experimental factors.
Disclaimer note: The observed molecular weight of the protein may vary from the listed predicted molecular weight due to post translational modifications, post translation cleavages, relative charges, and other experimental factors.
Description
Novus Biologicals Mouse GARS Antibody (OTI4G4) (NBP2-45808) is a monoclonal antibody validated for use in IHC. All Novus Biologicals antibodies are covered by our 100% guarantee.
Scientific Data Images for GARS Antibody (OTI4G4)
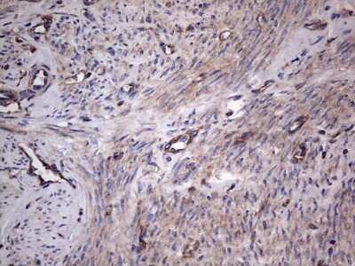
Immunohistochemistry: GARS Antibody (OTI4G4) [NBP2-45808]
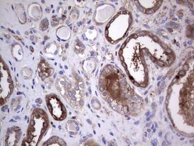
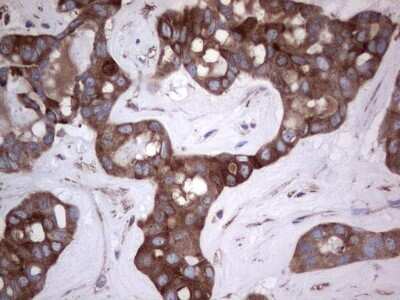
Immunohistochemistry: GARS Antibody (4G4) [NBP2-45808] - Analysis of Carcinoma of Human prostate tissue (Heat-induced epitope retrieval by 1 mM EDTA in 10mM Tris, pH8.5, 120C for 3min)Immunohistochemistry: GARS Antibody (OTI4G4) [NBP2-45808]
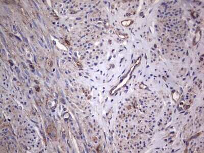
Immunohistochemistry: GARS Antibody (4G4) [NBP2-45808] - Analysis of Human colon tissue. (Heat-induced epitope retrieval by 1 mM EDTA in 10mM Tris, pH8.5, 120C for 3min)Immunohistochemistry: GARS Antibody (OTI4G4) [NBP2-45808]
Immunohistochemistry: GARS Antibody (4G4) [NBP2-45808] - Analysis of Adenocarcinoma of Human colon tissue. (Heat-induced epitope retrieval by 1 mM EDTA in 10mM Tris, pH8.5, 120C for 3min)Applications for GARS Antibody (OTI4G4)
Application
Recommended Usage
Immunohistochemistry
1:150
Formulation, Preparation, and Storage
Purification
Immunogen affinity purified
Formulation
PBS (pH 7.3), 1.0% BSA and 50% Glycerol
Preservative
0.02% Sodium Azide
Concentration
1 mg/ml
Shipping
The product is shipped with polar packs. Upon receipt, store it immediately at the temperature recommended below.
Stability & Storage
Store at -20C. Avoid freeze-thaw cycles.
Background: GARS
Alternate Names
AP-4-A synthetase, Charcot-Marie-Tooth neuropathy 2D, Charcot-Marie-Tooth neuropathy, neuronal type, D, Diadenosine tetraphosphate synthetase, DSMAV, glycine tRNA ligase, Glycine--tRNA ligase, glycyl-tRNA synthetase, GlyRSEC 6.1.1.14, HMN5, SMAD1CMT2D
Gene Symbol
GARS1
Additional GARS Products
Product Documents for GARS Antibody (OTI4G4)
Product Specific Notices for GARS Antibody (OTI4G4)
This product is for research use only and is not approved for use in humans or in clinical diagnosis. Primary Antibodies are guaranteed for 1 year from date of receipt.
Loading...
Loading...
Loading...
Loading...