GALNTL6 Antibody - BSA Free
Novus Biologicals, part of Bio-Techne | Catalog # NBP1-81845
Key Product Details
Species Reactivity
Validated:
Human
Predicted:
Mouse (93%). Backed by our 100% Guarantee.
Applications
Immunohistochemistry, Immunohistochemistry-Paraffin, Western Blot
Label
Unconjugated
Antibody Source
Polyclonal Rabbit IgG
Format
BSA Free
Concentration
Concentrations vary lot to lot. See vial label for concentration. If unlisted please contact technical services.
Product Specifications
Immunogen
This antibody was developed against Recombinant Protein corresponding to amino acids: DKHLVKSAEPGEQQTFPLGLGDGQFYSWTDGLRRKDWHDYESIQKEAMRSGKGEHGKPYPLTEEDHDDSAYRENGFNIFVSN
Clonality
Polyclonal
Host
Rabbit
Isotype
IgG
Scientific Data Images for GALNTL6 Antibody - BSA Free
Western Blot: GALNTL6 Antibody [NBP1-81845]
Western Blot: GALNTL6 Antibody [NBP1-81845] - Lane 1: Marker [kDa] 230, 130, 95, 72, 56, 36, 28, 17, 11. Lane 2: Human cell line RT-228Immunohistochemistry-Paraffin: GALNTL6 Antibody [NBP1-81845]
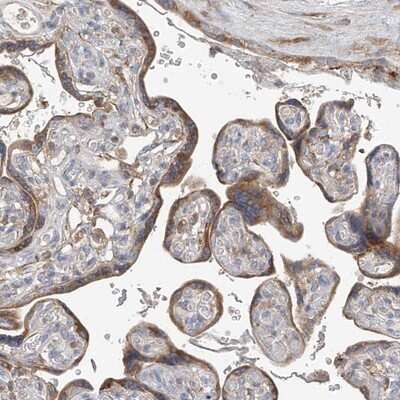
Immunohistochemistry-Paraffin: GALNTL6 Antibody [NBP1-81845] - Staining of human placenta shows moderate cytoplasmic positivity in trophoblastic cells.Applications for GALNTL6 Antibody - BSA Free
Application
Recommended Usage
Immunohistochemistry
1:50 - 1:200
Immunohistochemistry-Paraffin
1:50 - 1:200
Western Blot
0.04-0.4 ug/ml
Application Notes
For IHC-Paraffin, HIER pH 6 retrieval is recommended.
Formulation, Preparation, and Storage
Purification
Affinity purified
Formulation
PBS (pH 7.2) and 40% Glycerol
Format
BSA Free
Preservative
0.02% Sodium Azide
Concentration
Concentrations vary lot to lot. See vial label for concentration. If unlisted please contact technical services.
Shipping
The product is shipped with polar packs. Upon receipt, store it immediately at the temperature recommended below.
Stability & Storage
Store at 4C short term. Aliquot and store at -20C long term. Avoid freeze-thaw cycles.
Background: GALNTL6
Alternate Names
EC 2.4.1.41, GalNAc transferase 17, galNAc-T17, GALNT17Polypeptide GalNAc transferase 17, GaNTase 17, MGC44629, polypeptide N-acetylgalactosaminyltransferase-like 6, pp-GaNTase 17, Protein-UDP acetylgalactosaminyltransferase 17, Putative polypeptide N-acetylgalactosaminyltransferase 17, UDP-GalNAc:polypeptide N-acetylgalactosaminyltransferase 17, UDP-N-acetyl-alpha-D-galactosamine:polypeptideN-acetylgalactosaminyltransferase 20, UDP-N-acetyl-alpha-D-galactosamine:polypeptideN-acetylgalactosaminyltransferase-like 6
Gene Symbol
GALNTL6
Additional GALNTL6 Products
Product Documents for GALNTL6 Antibody - BSA Free
Product Specific Notices for GALNTL6 Antibody - BSA Free
This product is for research use only and is not approved for use in humans or in clinical diagnosis. Primary Antibodies are guaranteed for 1 year from date of receipt.
Loading...
Loading...
Loading...
Loading...