Galectin-3 Antibody (A3A12) - BSA Free
Novus Biologicals, part of Bio-Techne | Catalog # NB300-538
Conjugate
Catalog #
Key Product Details
Validated by
Biological Validation
Species Reactivity
Validated:
Human, Mouse, Rat, Rabbit
Cited:
Human, Mouse, Rabbit
Applications
Validated:
Immunohistochemistry, Immunohistochemistry-Paraffin, Immunohistochemistry-Frozen, Western Blot, ELISA, Flow Cytometry, Immunocytochemistry/ Immunofluorescence
Cited:
Immunohistochemistry-Paraffin, Immunohistochemistry-Frozen, Flow Cytometry
Label
Unconjugated
Antibody Source
Monoclonal Mouse IgG1 Clone # A3A12
Format
BSA Free
Concentration
1 mg/ml
Product Specifications
Immunogen
Full length recombinant human galectin-3.
Epitope
The epitope for this antibody has been mapped to the first 58 amino acids of Galectin 3.
Reactivity Notes
Rabbit reactivity reported in scientific literature (PMID: 19744479). Please note that this antibody is reactive to Mouse and derived from the same host, Mouse. Additional Mouse on Mouse blocking steps may be required for IHC and ICC experiments. Please contact Technical Support for more information.
Specificity
Galectin 3 (A3A12)
Clonality
Monoclonal
Host
Mouse
Isotype
IgG1
Theoretical MW
26 kDa.
Disclaimer note: The observed molecular weight of the protein may vary from the listed predicted molecular weight due to post translational modifications, post translation cleavages, relative charges, and other experimental factors.
Disclaimer note: The observed molecular weight of the protein may vary from the listed predicted molecular weight due to post translational modifications, post translation cleavages, relative charges, and other experimental factors.
Description
Novus Biologicals Mouse Galectin-3 Antibody (A3A12) - BSA Free (NB300-538) is a monoclonal antibody validated for use in IHC, WB, ELISA, Flow and ICC/IF. Anti-Galectin-3 Antibody: Cited in 4 publications. All Novus Biologicals antibodies are covered by our 100% guarantee.
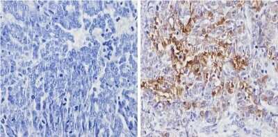
Scientific Data Images for Galectin-3 Antibody (A3A12) - BSA Free
Western Blot: Galectin-3 Antibody (A3A12)BSA Free [NB300-538]
Western Blot: Galectin-3 Antibody (A3A12) [NB300-538] - Analysis of 25 ug of MCF-7 (Lane 1), Hela (Lane 2), and NIH-3T3 cell lysates (Lane 3) and a molecular weight protein ladder.Immunocytochemistry/ Immunofluorescence: Galectin-3 Antibody (A3A12) - BSA Free [NB300-538]
Immunocytochemistry/Immunofluorescence: Galectin-3 Antibody (A3A12) [NB300-538] - LLOMe treatment results in lysosomal damage in T98G glioblastoma cells as evidenced by the accumulation of galectin-3 positive vesicles. T98G cells were treated with LLOMe (1 uM) for 1 h to induce lysosomal damage. Cells were fixed (4% paraformaldehyde) 6 h after washout, blocked with 10% goat serum in 0.1% PBST (1 h, RT), stained with DyLight 488 conjugated galectin-3 antibody (green) (overnight, 4C).The following day, samples were washed with cold PBST, mounted using Prolong Gold mountant with DAPI (blue). Confocal immunofluorescence using DyLight 488 conjugated galectin-3 antibody. This image was submitted via customer Review. Image using the DyLight 488 form of this antibody.Immunohistochemistry-Paraffin: Galectin-3 Antibody (A3A12) - BSA Free [NB300-538]
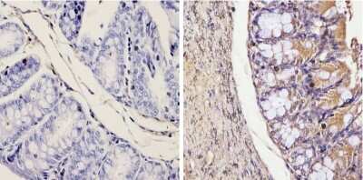
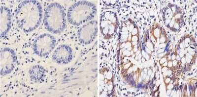
Immunohistochemistry-Paraffin: Galectin-3 Antibody (A3A12) [NB300-538] - Analysis showing positive staining in the nucleus and cytoplasm of Human colon tissue (right) compared with a negative control in the absence of primary antibody (left).Applications for Galectin-3 Antibody (A3A12) - BSA Free
Application
Recommended Usage
ELISA
1:100 - 1:2000
Immunocytochemistry/ Immunofluorescence
1:10 - 1:500
Immunohistochemistry
1:10 - 1:500
Immunohistochemistry-Frozen
6 ug/ml
Immunohistochemistry-Paraffin
6 ug/ml
Western Blot
1 ug/ml
Formulation, Preparation, and Storage
Purification
Immunogen affinity purified
Formulation
PBS
Format
BSA Free
Preservative
0.05% Sodium Azide
Concentration
1 mg/ml
Shipping
The product is shipped with polar packs. Upon receipt, store it immediately at the temperature recommended below.
Stability & Storage
Store at -20C. Avoid freeze-thaw cycles.
Background: Galectin-3
Alternate Names
AGE-R3, CBP35, GAL3, Galectin3, L29, LGALS3, Mac-2
Gene Symbol
LGALS3
UniProt
Additional Galectin-3 Products
Product Documents for Galectin-3 Antibody (A3A12) - BSA Free
Product Specific Notices for Galectin-3 Antibody (A3A12) - BSA Free
This product is for research use only and is not approved for use in humans or in clinical diagnosis. Primary Antibodies are guaranteed for 1 year from date of receipt.
Loading...
Loading...
Loading...
Loading...
Loading...