Skip to main content

FXYD6 Antibody - BSA Free

Novus Biologicals, part of Bio-Techne | Catalog # NBP1-91915

Novus Biologicals, part of Bio-Techne
Catalog #
Availability
Size / Price
Qty
Loading...
NBP1-91915
NBP1-91915-25ul

Key Product Details

Validated by

Orthogonal Validation

Species Reactivity

Validated:

Human

Predicted:

Mouse (94%), Rat (94%). Backed by our 100% Guarantee.

Applications

Immunohistochemistry, Immunohistochemistry-Paraffin

Label

Unconjugated

Antibody Source

Polyclonal Rabbit IgG

Format

BSA Free

Concentration

Concentrations vary lot to lot. See vial label for concentration. If unlisted please contact technical services.

Product Specifications

Immunogen

This antibody was developed against Recombinant Protein corresponding to amino acids: SRRCKCSFNQKPRAPGDEEAQVENLITANATEP

Clonality

Polyclonal

Host

Rabbit

Isotype

IgG

Description

Novus Biologicals Rabbit FXYD6 Antibody - BSA Free (NBP1-91915) is a polyclonal antibody validated for use in IHC. All Novus Biologicals antibodies are covered by our 100% guarantee.

Scientific Data Images for FXYD6 Antibody - BSA Free

Immunohistochemistry-Paraffin: FXYD6 Antibody [NBP1-91915]

Immunohistochemistry-Paraffin: FXYD6 Antibody [NBP1-91915]

Immunohistochemistry-Paraffin: FXYD6 Antibody [NBP1-91915] - Staining of human cerebral cortex shows strong membranous positivity in neuropil.
Immunohistochemistry-Paraffin: FXYD6 Antibody [NBP1-91915]

Immunohistochemistry-Paraffin: FXYD6 Antibody [NBP1-91915]

Immunohistochemistry-Paraffin: FXYD6 Antibody [NBP1-91915] - Staining of human liver shows moderate granular cytoplasmic positivity in hepatocytes.
Immunohistochemistry-Paraffin: FXYD6 Antibody [NBP1-91915]

Immunohistochemistry-Paraffin: FXYD6 Antibody [NBP1-91915]

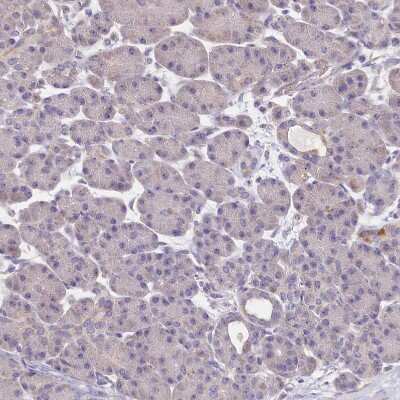
Immunohistochemistry-Paraffin: FXYD6 Antibody [NBP1-91915] - Staining of human pancreas shows no positivity in exocrine glandular cells as expected.

Applications for FXYD6 Antibody - BSA Free

Application
Recommended Usage

Immunohistochemistry

1:20 - 1:50

Immunohistochemistry-Paraffin

1:20 - 1:50
Application Notes
For IHC-Paraffin, HIER pH 6 retrieval is recommended.

Formulation, Preparation, and Storage

Purification

Affinity purified

Formulation

PBS (pH 7.2) and 40% Glycerol

Format

BSA Free

Preservative

0.02% Sodium Azide

Concentration

Concentrations vary lot to lot. See vial label for concentration. If unlisted please contact technical services.

Shipping

The product is shipped with polar packs. Upon receipt, store it immediately at the temperature recommended below.

Stability & Storage

Store at 4C short term. Aliquot and store at -20C long term. Avoid freeze-thaw cycles.

Background: FXYD6

This reference sequence was derived from multiple replicate ESTs and validated by human genomic sequence. This geneencodes a member of a family of small membrane proteins that share a 35-amino acid signature sequence domain,beginning with the sequence PFXYD and containing 7 invariant and 6 highly conserved amino acids. The approved humangene nomenclature for the family is FXYD-domain containing ion transport regulator. FXYD2, also known as the gammasubunit of the Na,K-ATPase, regulates the properties of that enzyme. FXYD1 (phospholemman), FXYD2 (gamma), FXYD3(MAT-8), FXYD4 (CHIF), and FXYD5 (RIC) have been shown to induce channel activity in experimental expression systems.Transmembrane topology has been established for two family members (FXYD1 and FXYD2), with the N-terminusextracellular and the C-terminus on the cytoplasmic side of the membrane. This gene product, FXYD6, is novel and hasnot been characterized as a protein. Multiple alternatively spliced transcript variants that encode the same proteinisoform have been described. RefSeq curation by Kathleen J. Sweadner, Ph.D., sweadner@helix.mgh.harvard.edu.)

Alternate Names

FXYD domain containing ion transport regulator 6, FXYD domain-containing ion transport regulator 6, phosphohippolin

Gene Symbol

FXYD6

Additional FXYD6 Products

Product Documents for FXYD6 Antibody - BSA Free

Certificate of Analysis

To download a Certificate of Analysis, please enter a lot number in the search box below.

Product Specific Notices for FXYD6 Antibody - BSA Free

This product is for research use only and is not approved for use in humans or in clinical diagnosis. Primary Antibodies are guaranteed for 1 year from date of receipt.

Loading...
Loading...
Loading...
Loading...