Skip to main content

FUNDC2 Antibody - BSA Free

Novus Biologicals, part of Bio-Techne | Catalog # NBP2-31745

Novus Biologicals, part of Bio-Techne
Catalog #
Availability
Size / Price
Qty
Loading...
NBP2-31745-25ul
NBP2-31745

Key Product Details

Species Reactivity

Human

Applications

Immunohistochemistry, Immunohistochemistry-Paraffin

Label

Unconjugated

Antibody Source

Polyclonal Rabbit IgG

Format

BSA Free

Concentration

Concentrations vary lot to lot. See vial label for concentration. If unlisted please contact technical services.

Product Specifications

Immunogen

This antibody was developed against a recombinant protein corresponding to amino acids: MAASSQGNFEGDIESVDLAEFAKQQPWWRKLFGPESGLSAEKYSVATHLFIG

Clonality

Polyclonal

Host

Rabbit

Isotype

IgG

Description

Novus Biologicals Rabbit FUNDC2 Antibody - BSA Free (NBP2-31745) is a polyclonal antibody validated for use in IHC. All Novus Biologicals antibodies are covered by our 100% guarantee.

Scientific Data Images for FUNDC2 Antibody - BSA Free

Immunohistochemistry-Paraffin: FUNDC2 Antibody [NBP2-31745]

Immunohistochemistry-Paraffin: FUNDC2 Antibody [NBP2-31745]

Immunohistochemistry-Paraffin: FUNDC2 Antibody [NBP2-31745] - Staining of human cerebral cortex shows moderate cytoplasmic positivity in neurons.
Immunohistochemistry-Paraffin: FUNDC2 Antibody [NBP2-31745]

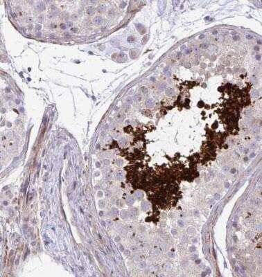
Immunohistochemistry-Paraffin: FUNDC2 Antibody [NBP2-31745]

Immunohistochemistry-Paraffin: FUNDC2 Antibody [NBP2-31745] - Staining of human testis shows strong cytoplasmic positivity in cells in seminiferous ducts.
Immunohistochemistry-Paraffin: FUNDC2 Antibody [NBP2-31745]

Immunohistochemistry-Paraffin: FUNDC2 Antibody [NBP2-31745]

Immunohistochemistry-Paraffin: FUNDC2 Antibody [NBP2-31745] - Staining of human heart muscle shows moderate cytoplasmic positivity in cardiomyocytes.

Applications for FUNDC2 Antibody - BSA Free

Application
Recommended Usage

Immunohistochemistry

1:200 - 1:500

Immunohistochemistry-Paraffin

1:200 - 1:500
Application Notes
For IHC-Paraffin, HIER pH 6 retrieval is recommended.

Formulation, Preparation, and Storage

Purification

Affinity purified

Formulation

PBS (pH 7.2) and 40% Glycerol

Format

BSA Free

Preservative

0.02% Sodium Azide

Concentration

Concentrations vary lot to lot. See vial label for concentration. If unlisted please contact technical services.

Shipping

The product is shipped with polar packs. Upon receipt, store it immediately at the temperature recommended below.

Stability & Storage

Store at 4C short term. Aliquot and store at -20C long term. Avoid freeze-thaw cycles.

Background: FUNDC2

Alternate Names

cervical cancer oncogene 3, Cervical cancer proto-oncogene 3 protein, DC44, FLJ33773, FUN14 domain containing 2, FUN14 domain-containing protein 2, HCBP6MGC131676, HCC3, HCC-3, Hepatitis C virus core-binding protein 6, MGC2495, PD03104

Gene Symbol

FUNDC2

UniProt

Additional FUNDC2 Products

Product Documents for FUNDC2 Antibody - BSA Free

Certificate of Analysis

To download a Certificate of Analysis, please enter a lot number in the search box below.

Product Specific Notices for FUNDC2 Antibody - BSA Free

This product is for research use only and is not approved for use in humans or in clinical diagnosis. Primary Antibodies are guaranteed for 1 year from date of receipt.

Loading...
Loading...
Loading...
Loading...