FUK Antibody - BSA Free
Novus Biologicals, part of Bio-Techne | Catalog # NBP3-46290
Key Product Details
Species Reactivity
Human, Mouse, Rat
Applications
Immunohistochemistry, Western Blot, ELISA
Label
Unconjugated
Antibody Source
Polyclonal Rabbit IgG
Format
BSA Free
Concentration
Please see the vial label for concentration. If unlisted please contact technical services.
Product Specifications
Immunogen
fucokinase. (Uniprot# Q8N0W3)
Clonality
Polyclonal
Host
Rabbit
Isotype
IgG
Theoretical MW
107 kDa.
Disclaimer note: The observed molecular weight of the protein may vary from the listed predicted molecular weight due to post translational modifications, post translation cleavages, relative charges, and other experimental factors.
Disclaimer note: The observed molecular weight of the protein may vary from the listed predicted molecular weight due to post translational modifications, post translation cleavages, relative charges, and other experimental factors.
Scientific Data Images for FUK Antibody - BSA Free
Western Blot: FUK Antibody - BSA Free [NBP3-46290] -
Western Blot: FUK Antibody - BSA Free [NBP3-46290] - Mouse kidney tissue were subjected to SDS PAGE followed by western blot with (FUK antibody) at dilution of 1:500Immunohistochemistry: FUK Antibody - BSA Free [NBP3-46290] -
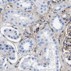
Immunohistochemistry: FUK Antibody - BSA Free [NBP3-46290] - Immunohistochemistry of paraffin-embedded mouse kidney tissue slide using (FUK Antibody) at dilution of 1:50Applications for FUK Antibody - BSA Free
Application
Recommended Usage
Immunohistochemistry
1:20-1:200
Western Blot
1:500-1:2000
Formulation, Preparation, and Storage
Purification
Immunogen affinity purified
Formulation
PBS, 50% Glycerol, pH (7.3)
Format
BSA Free
Preservative
0.02% Sodium Azide
Concentration
Please see the vial label for concentration. If unlisted please contact technical services.
Shipping
The product is shipped with polar packs. Upon receipt, store it immediately at the temperature recommended below.
Stability & Storage
Store at -20C. Avoid freeze-thaw cycles.
Background: FUK
Alternate Names
EC 2.7.1.52, FLJ39408,1110046B12Rik, Fucokinase, L-fucose kinase
Gene Symbol
FCSK
Additional FUK Products
Product Documents for FUK Antibody - BSA Free
Product Specific Notices for FUK Antibody - BSA Free
This product is for research use only and is not approved for use in humans or in clinical diagnosis. Primary Antibodies are guaranteed for 1 year from date of receipt.
Loading...
Loading...
Loading...
Loading...