Skip to main content

FUBP1 Antibody (S06-4F3)

Novus Biologicals, part of Bio-Techne | Catalog # NBP3-19639

Recombinant Monoclonal Antibody
Novus Biologicals, part of Bio-Techne
Catalog #
Availability
Size / Price
Qty
Loading...
NBP3-19639-100ul
NBP3-19639-50ul

Key Product Details

Species Reactivity

Human, Mouse, Rat

Applications

Immunohistochemistry, Immunohistochemistry-Paraffin, Western Blot

Label

Unconjugated

Antibody Source

Recombinant Monoclonal Rabbit IgG Clone # S06-4F3 expressed in HEK293

Concentration

0.3 mg/ml

Product Specifications

Immunogen

A synthetic peptide of human FUBP1 (Uniprot # Q96AE4)

Clonality

Monoclonal

Host

Rabbit

Isotype

IgG

Theoretical MW

74 kDa.
Disclaimer note: The observed molecular weight of the protein may vary from the listed predicted molecular weight due to post translational modifications, post translation cleavages, relative charges, and other experimental factors.

Description

Novus Biologicals Rabbit FUBP1 Antibody (S06-4F3) (NBP3-19639) is a recombinant monoclonal antibody validated for use in IHC and WB. All Novus Biologicals antibodies are covered by our 100% guarantee.

Scientific Data Images for FUBP1 Antibody (S06-4F3)

Western Blot: FUBP1 Antibody (S06-4F3) [NBP3-19639]

Western Blot: FUBP1 Antibody (S06-4F3) [NBP3-19639]

Western Blot: FUBP1 Antibody (S06-4F3) [NBP3-19639] - Western blot detection of FUBP1/FBP in Jurkat, C6 cell lysates using NBP3-19639 (1:1000 diluted). Predicted band size: 68kDa. Observed band size: 74kDa.
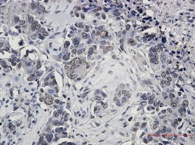
Immunohistochemistry-Paraffin: FUBP1 Antibody (S06-4F3) [NBP3-19639]

Immunohistochemistry-Paraffin: FUBP1 Antibody (S06-4F3) [NBP3-19639]

Immunohistochemistry-Paraffin: FUBP1 Antibody (S06-4F3) [NBP3-19639] - Immunohistochemistry of FUBP1 in paraffin-embedded Human Cholangiocarcinoma using NBP3-19639 at dilution 1/20

Applications for FUBP1 Antibody (S06-4F3)

Application
Recommended Usage

Immunohistochemistry

1/50

Western Blot

1/1000-1/5000

Formulation, Preparation, and Storage

Purification

Affinity purified

Formulation

50mM Tris-Glycine(pH 7.4), 0.15M NaCl, 40% Glycerol, 0.05% BSA

Preservative

0.01% Sodium Azide

Concentration

0.3 mg/ml

Shipping

The product is shipped with polar packs. Upon receipt, store it immediately at the temperature recommended below.

Stability & Storage

Store at 4C short term. Aliquot and store at -20C long term. Avoid freeze-thaw cycles.

Background: FUBP1

FUBP1 encodes a ssDNA binding protein that activates the far upstream element (FUSE) of c-myc and stimulates expression of c-myc in undifferentiated cells. Regulation of FUSE by FUBP occurs through single-strand binding of FUBP to the non-coding strand. This protein has been shown to function as an ATP-dependent DNA helicase.

Alternate Names

far upstream element (FUSE) binding protein 1, far upstream element binding protein, far upstream element-binding protein 1, FBPDNA helicase V, FUBP, FUSE-binding protein 1, hDH V

Gene Symbol

FUBP1

Additional FUBP1 Products

Product Documents for FUBP1 Antibody (S06-4F3)

Certificate of Analysis

To download a Certificate of Analysis, please enter a lot number in the search box below.

Product Specific Notices for FUBP1 Antibody (S06-4F3)

This product is for research use only and is not approved for use in humans or in clinical diagnosis. Primary Antibodies are guaranteed for 1 year from date of receipt.

Loading...
Loading...
Loading...
Loading...