Skip to main content

FOLR2 Antibody - Azide and BSA Free

Novus Biologicals, part of Bio-Techne | Catalog # NBP2-99741

Novus Biologicals, part of Bio-Techne

Key Product Details

Species Reactivity

Human

Applications

Immunohistochemistry, Immunohistochemistry-Paraffin, Western Blot, ELISA

Label

Unconjugated

Antibody Source

Polyclonal Rabbit IgG

Format

Azide and BSA Free

Concentration

Please see the vial label for concentration. If unlisted please contact technical services.

Product Specifications

Immunogen

Produced in rabbits immunized with purified, recombinant Human FOLR2 (Accession#: P14207-1; Met1-His228)

Clonality

Polyclonal

Host

Rabbit

Isotype

IgG

Description

This antibody can be stored at 2C to 8C for one month without detectable loss of activity. Antibody products are stable for twelve months from date of receipt when stored at -20C to -80C. Avoid repeated freeze-thaw cycles.

Scientific Data Images for FOLR2 Antibody - Azide and BSA Free

Western Blot: FOLR2 Antibody [NBP2-99741]

Western Blot: FOLR2 Antibody [NBP2-99741]

Western Blot: FOLR2 Antibody [NBP2-99741] - Anti-FOLR2 rabbit polyclonal antibody at 1:500 dilution. Lane A: HeLa Whole Cell Lysate Lane B: MCF-7 Whole Cell Lysate Lysates/proteins at 30 ug per lane. Secondary Goat Anti-Rabbit IgG (H+L)/HRP at 1/10000 dilution. Developed using the ECL technique. Performed under reducing conditions. Predicted band size: 29 kDa. Observed band size: 29 kDa (We are unsure as to the identity of these extra bands).
Immunohistochemistry-Paraffin: FOLR2 Antibody [NBP2-99741]

Immunohistochemistry-Paraffin: FOLR2 Antibody [NBP2-99741]

Immunohistochemistry-Paraffin: FOLR2 Antibody [NBP2-99741] - Immunochemical staining of human FOLR2 in human spleen with rabbit polyclonal antibody at 1:1000 dilution, formalin-fixed paraffin embedded sections.
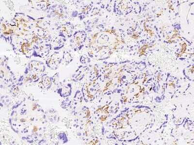
Immunohistochemistry-Paraffin: FOLR2 Antibody [NBP2-99741]

Immunohistochemistry-Paraffin: FOLR2 Antibody [NBP2-99741]

Immunohistochemistry-Paraffin: FOLR2 Antibody [NBP2-99741] - Immunochemical staining of human FOLR2 in human placenta with rabbit polyclonal antibody at 1:1000 dilution, formalin-fixed paraffin embedded sections.

Applications for FOLR2 Antibody - Azide and BSA Free

Application
Recommended Usage

ELISA

1:5000-1:10000

Immunohistochemistry

1:500-1:2000

Western Blot

1:500-1:2000

Formulation, Preparation, and Storage

Purification

Antigen and protein A Affinity-purified

Formulation

0.2 um filtered solution in PBS

Format

Azide and BSA Free

Preservative

No Preservative

Concentration

Please see the vial label for concentration. If unlisted please contact technical services.

Shipping

The product is shipped with polar packs. Upon receipt, store it immediately at the temperature recommended below.

Stability & Storage

Store at 4C short term. Aliquot and store at -20C long term. Avoid freeze-thaw cycles.

Background: FOLR2

Folate Receptor 2 (FOLR2), also known as Folate Receptor beta, is a 38 kDa glycoprotein that is anchored to the membrane via glycosyl phosphatidylinositol. It mediates the cellular uptake of dietary folates that are required for key steps in amino acid metabolism. FOLR2 is predominantly expressed in placenta, myeloid cells, and some CD34+ hematopoietic progenitor cells. It is upregulated on some cancer cells and at sites of chronic inflammation.

Long Name

Folate Receptor 2

Alternate Names

beta-HFR, FR-beta, FR-P3

Gene Symbol

FOLR2

Additional FOLR2 Products

Product Documents for FOLR2 Antibody - Azide and BSA Free

Certificate of Analysis

To download a Certificate of Analysis, please enter a lot number in the search box below.

Product Specific Notices for FOLR2 Antibody - Azide and BSA Free

This product is for research use only and is not approved for use in humans or in clinical diagnosis. Primary Antibodies are guaranteed for 1 year from date of receipt.

Loading...
Loading...
Loading...
Loading...