Skip to main content

FOCAD Antibody - BSA Free

Novus Biologicals, part of Bio-Techne | Catalog # NBP2-49163

Novus Biologicals, part of Bio-Techne
Catalog #
Availability
Size / Price
Qty
Loading...
NBP2-49163
NBP2-49163-25ul

Key Product Details

Species Reactivity

Human, Rat

Applications

Immunohistochemistry, Immunohistochemistry-Paraffin

Label

Unconjugated

Antibody Source

Polyclonal Rabbit IgG

Format

BSA Free

Concentration

Concentrations vary lot to lot. See vial label for concentration. If unlisted please contact technical services.

Product Specifications

Immunogen

This antibody was developed against a recombinant protein corresponding to amino acids: NWAALLSPLMRLNFGEEIQQLCLEIMVTQAQSSQNAAALLGLWVTPPLIHSLSLNTKRYLLISAPLWIKHISDEQILGFVENLMVAVFKAASPLGSPELCPSALHGLSQAMKLPSPAHHLWSLLSEA

Reactivity Notes

Mouse (80%).

Clonality

Polyclonal

Host

Rabbit

Isotype

IgG

Description

Novus Biologicals Rabbit FOCAD Antibody - BSA Free (NBP2-49163) is a polyclonal antibody validated for use in IHC. All Novus Biologicals antibodies are covered by our 100% guarantee.

Scientific Data Images for FOCAD Antibody - BSA Free

FOCAD Antibody - BSA Free

FOCAD Antibody [NBP2-49163] -

Staining of rat brain shows moderate cytoplasmic positivity in ependymal cells and neurons.
FOCAD Antibody - BSA Free

FOCAD Antibody [NBP2-49163] -

Staining of human testis shows moderate membranous positivity in cells in seminiferous ducts.
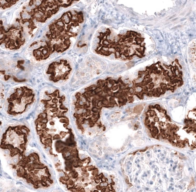
FOCAD Antibody - BSA Free

FOCAD Antibody [NBP2-49163] -

Staining of human kidney shows strong apical membrane positivity in cells in proximal tubules.

Applications for FOCAD Antibody - BSA Free

Application
Recommended Usage

Immunohistochemistry

1:20 - 1:50

Immunohistochemistry-Paraffin

1:20 - 1:50
Application Notes
For IHC-Paraffin, HIER pH 6 retrieval is recommended.

Formulation, Preparation, and Storage

Purification

Affinity purified

Formulation

PBS (pH 7.2) and 40% Glycerol

Format

BSA Free

Preservative

0.02% Sodium Azide

Concentration

Concentrations vary lot to lot. See vial label for concentration. If unlisted please contact technical services.

Shipping

The product is shipped with polar packs. Upon receipt, store it immediately at the temperature recommended below.

Stability & Storage

Store at 4C short term. Aliquot and store at -20C long term. Avoid freeze-thaw cycles.

Background: FOCAD

Alternate Names

Focadhesin, KIAA1797

Gene Symbol

FOCAD

Additional FOCAD Products

Product Documents for FOCAD Antibody - BSA Free

Certificate of Analysis

To download a Certificate of Analysis, please enter a lot number in the search box below.

Product Specific Notices for FOCAD Antibody - BSA Free

This product is for research use only and is not approved for use in humans or in clinical diagnosis. Primary Antibodies are guaranteed for 1 year from date of receipt.

Loading...
Loading...
Loading...
Loading...