Skip to main content

FNTB Antibody (3I4X5)

Novus Biologicals, part of Bio-Techne | Catalog # NBP3-15557

Recombinant Monoclonal Antibody
Novus Biologicals, part of Bio-Techne
Catalog #
Availability
Size / Price
Qty
Loading...
NBP3-15557-100ul
NBP3-15557-20ul

Key Product Details

Species Reactivity

Human, Rat

Applications

Immunohistochemistry, Immunohistochemistry-Paraffin, Western Blot

Label

Unconjugated

Antibody Source

Recombinant Monoclonal Rabbit IgG Clone # 3I4X5 expressed in HEK293

Concentration

Please see the vial label for concentration. If unlisted please contact technical services.

Product Specifications

Immunogen

A synthetic peptide corresponding to a sequence within amino acids 1-100 of human FNTB (P49356). MASPSSFTYYCPPSSSPVWSEPLYSLRPEHARERLQDDSVETVTSIEQAKVEEKIQEVFSSYKFNHLVPRLVLQREKHFHYLKRGLRQLTDAYECLDASR

Clonality

Monoclonal

Host

Rabbit

Isotype

IgG

Description

Novus Biologicals Rabbit FNTB Antibody (3I4X5) (NBP3-15557) is a recombinant monoclonal antibody validated for use in IHC and WB. All Novus Biologicals antibodies are covered by our 100% guarantee.

Scientific Data Images for FNTB Antibody (3I4X5)

Western Blot: FNTB Antibody (3I4X5) [NBP3-15557]

Western Blot: FNTB Antibody (3I4X5) [NBP3-15557]

Western Blot: FNTB Antibody (3I4X5) [NBP3-15557] - Western blot analysis of extracts of various cell lines, using FNTB Rabbit mAb (NBP3-15557) at 1:1000 dilution. Secondary antibody: HRP Goat Anti-Rabbit IgG (H+L) at 1:10000 dilution. Lysates/proteins: 25ug per lane. Blocking buffer: 3% nonfat dry milk in TBST. Detection: ECL Basic Kit. Exposure time: 10s.
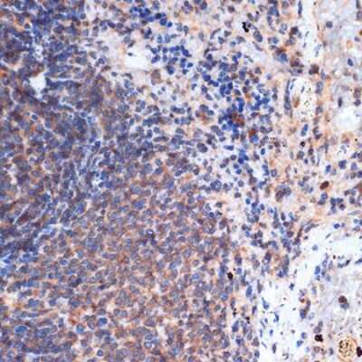
Immunohistochemistry-Paraffin: FNTB Antibody (3I4X5) [NBP3-15557]

Immunohistochemistry-Paraffin: FNTB Antibody (3I4X5) [NBP3-15557]

Immunohistochemistry-Paraffin: FNTB Antibody (3I4X5) [NBP3-15557] - Immunohistochemistry of paraffin-embedded rat spleen using FNTB Rabbit mAb (NBP3-15557) at dilution of 1:100 (40x lens).Perform microwave antigen retrieval with 10 mM Tris/EDTA buffer pH 9.0 before commencing with IHC staining protocol.

Applications for FNTB Antibody (3I4X5)

Application
Recommended Usage

Immunohistochemistry

1:50 - 1:200

Western Blot

1:500 - 1:1000

Formulation, Preparation, and Storage

Purification

Affinity purified

Formulation

PBS (pH 7.3), 50% glycerol, 0.05% BSA

Preservative

0.02% Sodium Azide

Concentration

Please see the vial label for concentration. If unlisted please contact technical services.

Shipping

The product is shipped with polar packs. Upon receipt, store it immediately at the temperature recommended below.

Stability & Storage

Store at -20C. Avoid freeze-thaw cycles.

Background: FNTB

Long Name

Protein farnesyltransferase subunit beta

Alternate Names

FTase-beta

Gene Symbol

FNTB

Additional FNTB Products

Product Documents for FNTB Antibody (3I4X5)

Certificate of Analysis

To download a Certificate of Analysis, please enter a lot number in the search box below.

Product Specific Notices for FNTB Antibody (3I4X5)

This product is for research use only and is not approved for use in humans or in clinical diagnosis. Primary Antibodies are guaranteed for 1 year from date of receipt.

Loading...
Loading...
Loading...
Loading...