Skip to main content

FNDC8 Antibody (OTI1C10)

Novus Biologicals, part of Bio-Techne | Catalog # NBP2-45692

Novus Biologicals, part of Bio-Techne

Key Product Details

Species Reactivity

Human

Applications

Immunohistochemistry, Immunohistochemistry-Paraffin, Western Blot

Label

Unconjugated

Antibody Source

Monoclonal Mouse IgG1 Clone # OTI1C10

Concentration

1 mg/ml

Product Specifications

Immunogen

Full length human recombinant protein of human FNDC8(NP_060029) produced in HEK293T cell.

Clonality

Monoclonal

Host

Mouse

Isotype

IgG1

Theoretical MW

35.7 kDa.
Disclaimer note: The observed molecular weight of the protein may vary from the listed predicted molecular weight due to post translational modifications, post translation cleavages, relative charges, and other experimental factors.

Description

Novus Biologicals Mouse FNDC8 Antibody (OTI1C10) (NBP2-45692) is a monoclonal antibody validated for use in IHC and WB. All Novus Biologicals antibodies are covered by our 100% guarantee.

Scientific Data Images for FNDC8 Antibody (OTI1C10)

Western Blot: FNDC8 Antibody (OTI1C10) [NBP2-45692]

Western Blot: FNDC8 Antibody (OTI1C10) [NBP2-45692]

Western Blot: FNDC8 Antibody (1C10) [NBP2-45692] - Analysis of HEK293T cells were transfected with the pCMV6-ENTRY control (Left lane) or pCMV6-ENTRY FNDC8.
Immunohistochemistry: FNDC8 Antibody (OTI1C10) [NBP2-45692]

Immunohistochemistry: FNDC8 Antibody (OTI1C10) [NBP2-45692]

Immunohistochemistry: FNDC8 Antibody (1C10) [NBP2-45692] - Analysis of Human lymph node tissue. (Heat-induced epitope retrieval by 1 mM EDTA in 10mM Tris, pH8.5, 120C for 3min)
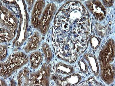
Immunohistochemistry: FNDC8 Antibody (OTI1C10) [NBP2-45692]

Immunohistochemistry: FNDC8 Antibody (OTI1C10) [NBP2-45692]

Immunohistochemistry: FNDC8 Antibody (1C10) [NBP2-45692] - Analysis of Human Kidney tissue. (Heat-induced epitope retrieval by 1 mM EDTA in 10mM Tris, pH8.5, 120C for 3min)

Applications for FNDC8 Antibody (OTI1C10)

Application
Recommended Usage

Immunohistochemistry

1:150

Western Blot

1:4000

Formulation, Preparation, and Storage

Purification

Immunogen affinity purified

Formulation

PBS (pH 7.3), 1.0% BSA and 50% Glycerol

Preservative

0.02% Sodium Azide

Concentration

1 mg/ml

Shipping

The product is shipped with polar packs. Upon receipt, store it immediately at the temperature recommended below.

Stability & Storage

Store at -20C. Avoid freeze-thaw cycles.

Background: FNDC8

Alternate Names

DKFZp434H2215, fibronectin type III domain containing 8, fibronectin type III domain-containing protein 8

Gene Symbol

FNDC8

Additional FNDC8 Products

Product Documents for FNDC8 Antibody (OTI1C10)

Certificate of Analysis

To download a Certificate of Analysis, please enter a lot number in the search box below.

Product Specific Notices for FNDC8 Antibody (OTI1C10)

This product is for research use only and is not approved for use in humans or in clinical diagnosis. Primary Antibodies are guaranteed for 1 year from date of receipt.

Loading...
Loading...
Loading...
Loading...