Skip to main content

FNBP1L Antibody - BSA Free

Novus Biologicals, part of Bio-Techne | Catalog # NBP1-80569

Novus Biologicals, part of Bio-Techne

Key Product Details

Validated by

Independent Antibodies, Biological Validation

Species Reactivity

Human

Applications

Immunohistochemistry, Immunohistochemistry-Paraffin, Western Blot, Immunoprecipitation

Label

Unconjugated

Antibody Source

Polyclonal Rabbit IgG

Format

BSA Free

Concentration

1.0 mg/ml

Product Specifications

Immunogen

The immunogen this antibody was made to, maps to a region between residue 450 and 500 of human Transducer of Cdc42-Dependent Actin Assembly Protein 1 using the numbering given in entry NP_001157945.1 (GeneID 54874).

Clonality

Polyclonal

Host

Rabbit

Isotype

IgG

Description

Novus Biologicals Rabbit FNBP1L Antibody - BSA Free (NBP1-80569) is a polyclonal antibody validated for use in IHC, WB and IP. All Novus Biologicals antibodies are covered by our 100% guarantee.

Scientific Data Images for FNBP1L Antibody - BSA Free

Western Blot: FNBP1L Antibody [NBP1-80569]

Western Blot: FNBP1L Antibody [NBP1-80569]

Western Blot: FNBP1L Antibody [NBP1-80569] - Whole cell lysate from Jurkat (15 and 50 mcg for WB; 1 mg for IP, 20% of IP loaded), 293T (T; 50 mcg) and HeLa (H; 50 mcg) cells. Antibodies: Affinity purified rabbit anti-Toca-1 antibody used for WB at 0.1 mcg/ml (A) and 1 mcg/ml (B) and used for IP at 6 mcg/mg lysate. Toca-1 was also immunoprecipitated by rabbit anti-Toca-1 antibody NBP1-80563 which recognizes an upstream epitope.
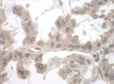
Immunohistochemistry-Paraffin: FNBP1L Antibody [NBP1-80569]

Immunohistochemistry-Paraffin: FNBP1L Antibody [NBP1-80569]

Immunohistochemistry-Paraffin: FNBP1L Antibody [NBP1-80569] - Section of human lung carcinoma. Antibody: Affinity purified rabbit anti-Toca-1used at a dilution of 1:1,000 (1ug/ml) Detection: DAB

Applications for FNBP1L Antibody - BSA Free

Application
Recommended Usage

Immunohistochemistry

1:500 - 1:2000

Immunohistochemistry-Paraffin

1:500-1:2000

Immunoprecipitation

2-10 ug/mg

Western Blot

1:2000-1:10000
Application Notes
Epitope retrieval with citrate buffer pH6.0 is recommended for FFPE tissue sections.

Formulation, Preparation, and Storage

Purification

Immunogen affinity purified

Formulation

Tris-Citrate/Phosphate (pH 7.0 - 8.0)

Format

BSA Free

Preservative

0.09% Sodium Azide

Concentration

1.0 mg/ml

Shipping

The product is shipped with polar packs. Upon receipt, store it immediately at the temperature recommended below.

Stability & Storage

Store at 4C. Do not freeze.

Background: FNBP1L

The protein encoded by the FNBP1L gene binds to both CDC42 and N-WASP. This protein promotes CDC42-induced actin polymerization by activating the N-WASP-WIP complex and, therefore, is involved in a pathway that links cell surface signals to the actin cytoskeleton. Alternative splicing results in multiple transcript variants encoding different isoforms. [provided by RefSeq]

Alternate Names

C1orf39, chromosome 1 open reading frame 39, FLJ20275, formin binding protein 1-like, formin-binding protein 1-like, toca-1, TOCA1Transducer of Cdc42-dependent actin assembly protein 1, transducer of Cdc42-dependent actin assembly 1

Gene Symbol

FNBP1L

Additional FNBP1L Products

Product Documents for FNBP1L Antibody - BSA Free

Certificate of Analysis

To download a Certificate of Analysis, please enter a lot number in the search box below.

Product Specific Notices for FNBP1L Antibody - BSA Free

This product is for research use only and is not approved for use in humans or in clinical diagnosis. Primary Antibodies are guaranteed for 1 year from date of receipt.

Loading...
Loading...
Loading...
Loading...