Skip to main content

FLJ21908 Antibody - BSA Free

Novus Biologicals, part of Bio-Techne | Catalog # NBP1-89850

Novus Biologicals, part of Bio-Techne
Catalog #
Availability
Size / Price
Qty
Loading...
NBP1-89850
NBP1-89850-25ul

Key Product Details

Validated by

Knockout/Knockdown, Independent Antibodies

Species Reactivity

Human

Applications

Immunohistochemistry, Immunohistochemistry-Paraffin, Western Blot, Immunocytochemistry/ Immunofluorescence, Knockdown Validated

Label

Unconjugated

Antibody Source

Polyclonal Rabbit IgG

Format

BSA Free

Concentration

Concentrations vary lot to lot. See vial label for concentration. If unlisted please contact technical services.

Product Specifications

Immunogen

This antibody was developed against Recombinant Protein corresponding to amino acids: SEKMPIEIEQKPAQFATTVLPPIPANSFQLESDFRQLKSSPDMLYQYLKQIEPSLYPKLFQKNLDPDVFNQIVKILHDFYIEKEKPLLIFEILQRLSELKRFDMAVMFM

Clonality

Polyclonal

Host

Rabbit

Isotype

IgG

Scientific Data Images for FLJ21908 Antibody - BSA Free

Immunocytochemistry/ Immunofluorescence: FLJ21908 Antibody [NBP1-89850]

Immunocytochemistry/ Immunofluorescence: FLJ21908 Antibody [NBP1-89850]

Immunocytochemistry/Immunofluorescence: FLJ21908 Antibody [NBP1-89850] - Staining of human cell line U-2 OS shows positivity in cytoplasm.
Immunohistochemistry-Paraffin: FLJ21908 Antibody [NBP1-89850]

Immunohistochemistry-Paraffin: FLJ21908 Antibody [NBP1-89850]

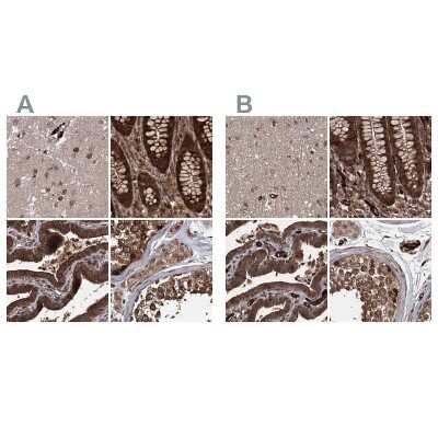
Immunohistochemistry-Paraffin: FLJ21908 Antibody [NBP1-89850] - Staining of human cerebral cortex, colon, fallopian tube and testis using Anti-RPAP3 antibody NBP1-89850 (A) shows similar protein distribution across tissues to independent antibody NBP1-89849 (B).
Immunohistochemistry-Paraffin: FLJ21908 Antibody [NBP1-89850]

Immunohistochemistry-Paraffin: FLJ21908 Antibody [NBP1-89850]

Immunohistochemistry-Paraffin: FLJ21908 Antibody [NBP1-89850] - Staining of human cerebral cortex.

Applications for FLJ21908 Antibody - BSA Free

Application
Recommended Usage

Immunocytochemistry/ Immunofluorescence

0.25-2 ug/ml

Immunohistochemistry

1:50 - 1:200

Immunohistochemistry-Paraffin

1:50 - 1:200

Western Blot

0.04-0.4 ug/ml
Application Notes
For IHC-Paraffin, HIER pH 6 retrieval is recommended. Immunocytochemistry/Immunofluorescence Fixation Permeabilization: Use PFA/Triton X-100.

Formulation, Preparation, and Storage

Purification

Affinity purified

Formulation

PBS (pH 7.2) and 40% Glycerol

Format

BSA Free

Preservative

0.02% Sodium Azide

Concentration

Concentrations vary lot to lot. See vial label for concentration. If unlisted please contact technical services.

Shipping

The product is shipped with polar packs. Upon receipt, store it immediately at the temperature recommended below.

Stability & Storage

Store at 4C short term. Aliquot and store at -20C long term. Avoid freeze-thaw cycles.

Background: FLJ21908

FLJ21908, also known as RNA polymerase II associated protein, has a 665 amino acid isoform that is 76 kDa, a 631 amino acid isoform that is 72 kDa, and a 506 amino acid isoform that is 57 kDa; is involved in formation of an interface between the RNA polymerase II enzyme and chaperone/scaffolding protein, suggesting that it is required to connect RNA polymerase II to regulators of protein complex formation. Disease research suggests correlation of this protein with sickle cell trait and malaria. This protein has interactions with HSP90AA1, HSP90AB1, MAP3K3, ITCH, PPP1CA, POLR2A, HELLS, WDR92 and TEL02.

Alternate Names

FLJ21908, RNA polymerase II associated protein 3, RNA polymerase II-associated protein 3, spag

Gene Symbol

RPAP3

Additional FLJ21908 Products

Product Documents for FLJ21908 Antibody - BSA Free

Certificate of Analysis

To download a Certificate of Analysis, please enter a lot number in the search box below.

Product Specific Notices for FLJ21908 Antibody - BSA Free

This product is for research use only and is not approved for use in humans or in clinical diagnosis. Primary Antibodies are guaranteed for 1 year from date of receipt.

Loading...
Loading...
Loading...
Loading...