Skip to main content

FHAD1 Antibody - BSA Free

Novus Biologicals, part of Bio-Techne | Catalog # NBP2-14780

Novus Biologicals, part of Bio-Techne
Catalog #
Availability
Size / Price
Qty
Loading...
NBP2-14780
NBP2-14780-25ul

Key Product Details

Validated by

Orthogonal Validation

Species Reactivity

Human

Applications

Immunohistochemistry, Immunohistochemistry-Paraffin

Label

Unconjugated

Antibody Source

Polyclonal Rabbit IgG

Format

BSA Free

Concentration

Concentrations vary lot to lot. See vial label for concentration. If unlisted please contact technical services.

Product Specifications

Immunogen

This antibody was developed against a recombinant protein corresponding to the amino acids: LQEMGNRESVIKINLERAVGQLEHFRSQVIKATYGRAKPFRDKPVTDQQLIEKITQVTEDNINFQQKKWTLQKETQLSNSKQ

Reactivity Notes

Immunogen displays the following percentage of sequence identity for non-tested species: Rat (80%)

Clonality

Polyclonal

Host

Rabbit

Isotype

IgG

Description

Novus Biologicals Rabbit FHAD1 Antibody - BSA Free (NBP2-14780) is a polyclonal antibody validated for use in IHC. All Novus Biologicals antibodies are covered by our 100% guarantee.

Scientific Data Images for FHAD1 Antibody - BSA Free

Immunohistochemistry-Paraffin: FHAD1 Antibody [NBP2-14780]

Immunohistochemistry-Paraffin: FHAD1 Antibody [NBP2-14780]

Immunohistochemistry-Paraffin: FHAD1 Antibody [NBP2-14780] - Staining of human placenta shows low expression as expected.
Immunohistochemistry-Paraffin: FHAD1 Antibody [NBP2-14780]

Immunohistochemistry-Paraffin: FHAD1 Antibody [NBP2-14780]

Immunohistochemistry-Paraffin: FHAD1 Antibody [NBP2-14780] - Staining of human cerebellum shows strong cytoplasmic positivity in Purkinje cells
Immunohistochemistry-Paraffin: FHAD1 Antibody [NBP2-14780]

Immunohistochemistry-Paraffin: FHAD1 Antibody [NBP2-14780]

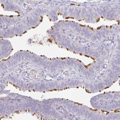
Immunohistochemistry-Paraffin: FHAD1 Antibody [NBP2-14780] - Staining of human fallopian tube shows high expression.

Applications for FHAD1 Antibody - BSA Free

Application
Recommended Usage

Immunohistochemistry

1:20 - 1:50

Immunohistochemistry-Paraffin

1:20 - 1:50
Application Notes
For IHC-Paraffin, HIER pH 6 retrieval is recommended.

Formulation, Preparation, and Storage

Purification

Affinity purified

Formulation

PBS (pH 7.2) and 40% Glycerol

Format

BSA Free

Preservative

0.02% Sodium Azide

Concentration

Concentrations vary lot to lot. See vial label for concentration. If unlisted please contact technical services.

Shipping

The product is shipped with polar packs. Upon receipt, store it immediately at the temperature recommended below.

Stability & Storage

Store at 4C short term. Aliquot and store at -20C long term. Avoid freeze-thaw cycles.

Background: FHAD1

Alternate Names

FHAD1 forkhead-associated (FHA) phosphopeptide binding domain 1, RP3-467K16.1

Gene Symbol

FHAD1

Additional FHAD1 Products

Product Documents for FHAD1 Antibody - BSA Free

Certificate of Analysis

To download a Certificate of Analysis, please enter a lot number in the search box below.

Product Specific Notices for FHAD1 Antibody - BSA Free

This product is for research use only and is not approved for use in humans or in clinical diagnosis. Primary Antibodies are guaranteed for 1 year from date of receipt.

Loading...
Loading...
Loading...
Loading...