Skip to main content

FGFR1OP2 Antibody - BSA Free

Novus Biologicals, part of Bio-Techne | Catalog # NBP2-16479

Novus Biologicals, part of Bio-Techne
Catalog #
Availability
Size / Price
Qty
Loading...
NBP2-16479

Key Product Details

Species Reactivity

Human, Mouse

Applications

Immunohistochemistry, Immunohistochemistry-Paraffin, Western Blot, Immunocytochemistry/ Immunofluorescence

Label

Unconjugated

Antibody Source

Polyclonal Rabbit IgG

Format

BSA Free

Concentration

Concentrations vary lot to lot. See vial label for concentration. If unlisted please contact technical services.

Product Specifications

Immunogen

Recombinant protein encompassing a sequence within the center region of human FGFR1OP2. The exact sequence is proprietary.

Localization

Cytoplasm

Clonality

Polyclonal

Host

Rabbit

Isotype

IgG

Theoretical MW

29 kDa.
Disclaimer note: The observed molecular weight of the protein may vary from the listed predicted molecular weight due to post translational modifications, post translation cleavages, relative charges, and other experimental factors.

Description

Novus Biologicals Rabbit FGFR1OP2 Antibody - BSA Free (NBP2-16479) is a polyclonal antibody validated for use in IHC, WB and ICC/IF. All Novus Biologicals antibodies are covered by our 100% guarantee.

Scientific Data Images for FGFR1OP2 Antibody - BSA Free

Western Blot: FGFR1OP2 Antibody [NBP2-16479]

Western Blot: FGFR1OP2 Antibody [NBP2-16479]

Western Blot: FGFR1OP2 Antibody [NBP2-16479] - Sample (50 ug of whole cell lysate) A: mouse stomach, 12% SDS PAGE gel, diluted at 1:1000.
Immunocytochemistry/ Immunofluorescence: FGFR1OP2 Antibody [NBP2-16479]

Immunocytochemistry/ Immunofluorescence: FGFR1OP2 Antibody [NBP2-16479]

Immunocytochemistry/Immunofluorescence: FGFR1OP2 Antibody [NBP2-16479] - Immunofluorescence analysis of methanol-fixed MCF-7, using antibody at 1:500 dilution.
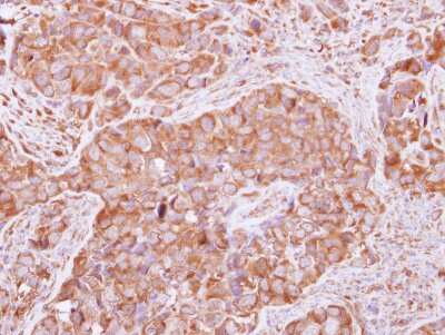
Immunohistochemistry-Paraffin: FGFR1OP2 Antibody [NBP2-16479]

Immunohistochemistry-Paraffin: FGFR1OP2 Antibody [NBP2-16479]

Immunohistochemistry-Paraffin: FGFR1OP2 Antibody [NBP2-16479] - Immunohistochemical analysis of paraffin-embedded H441 xenograft, using antibody at 1:500 dilution.

Applications for FGFR1OP2 Antibody - BSA Free

Application
Recommended Usage

Immunocytochemistry/ Immunofluorescence

1:100-1:1000

Immunohistochemistry

10 - 1:500

Immunohistochemistry-Paraffin

1:100-1:1000

Western Blot

1:500-1:3000

Formulation, Preparation, and Storage

Purification

Antigen Affinity-purified

Formulation

0.1M Tris, 0.1M Glycine, 20% Glycerol

Format

BSA Free

Preservative

0.01% Thimerosal

Concentration

Concentrations vary lot to lot. See vial label for concentration. If unlisted please contact technical services.

Shipping

The product is shipped with polar packs. Upon receipt, store it immediately at the temperature recommended below.

Stability & Storage

Aliquot and store at -20C or -80C. Avoid freeze-thaw cycles.

Background: FGFR1OP2

May be involved in wound healing pathway.

Alternate Names

DKFZp564O1863, DKFZp586C1423, FGFR1 oncogene partner 2, fibroblast growth factor receptor 1 oncogene partner 2, FLJ37569, HSPC123-like, WIT3.0, wound inducible transcript 3.0

Gene Symbol

FGFR1OP2

UniProt

Additional FGFR1OP2 Products

Product Documents for FGFR1OP2 Antibody - BSA Free

Certificate of Analysis

To download a Certificate of Analysis, please enter a lot number in the search box below.

Product Specific Notices for FGFR1OP2 Antibody - BSA Free

This product is for research use only and is not approved for use in humans or in clinical diagnosis. Primary Antibodies are guaranteed for 1 year from date of receipt.

Loading...
Loading...
Loading...
Loading...

⚠ WARNING: This product can expose you to chemicals including mercury, which is known to the State of California to cause reproductive toxicity with developmental effects.  For more information go to www.P65Warnings.ca.gov.