Skip to main content

FGFR1 Antibody (M17D10) - Azide and BSA Free

Novus Biologicals, part of Bio-Techne | Catalog # NBP2-80733

Novus Biologicals, part of Bio-Techne
Catalog #
Availability
Size / Price
Qty
Loading...
NBP2-80733

Key Product Details

Species Reactivity

Human, Mouse

Applications

Immunohistochemistry, Immunohistochemistry-Paraffin, Western Blot, Flow Cytometry, Immunocytochemistry/ Immunofluorescence, Immunoprecipitation, CyTOF-ready

Label

Unconjugated

Antibody Source

Monoclonal Mouse IgG1 Clone # M17D10

Format

Azide and BSA Free

Concentration

1 mg/ml

Product Specifications

Immunogen

Recombinant human ectodomain of FGFr1b expressed in E. coli from pro23 to his415; antigen contained NH2-terminal gly-ser-pro-gly-ile and COOH-terminal glu-phe sequences.

Epitope

Epitope is within the sequence pro179 to lys195 in Ig loop II.

Reactivity Notes

Mouse reactivity reported in scientific literature (PMID: 8575296). Not yet tested in other species.

Localization

Cell Membrane

Clonality

Monoclonal

Host

Mouse

Isotype

IgG1

Description

Novus Biologicals Mouse FGFR1 Antibody (M17D10) - Azide and BSA Free (NB100-2080) is a monoclonal antibody validated for use in IHC, WB, Flow, ICC/IF and IP. All Novus Biologicals antibodies are covered by our 100% guarantee.

Scientific Data Images for FGFR1 Antibody (M17D10) - Azide and BSA Free

Western Blot: FGFR1 Antibody (M17D10)Azide and BSA Free [NBP2-80733]

Western Blot: FGFR1 Antibody (M17D10)Azide and BSA Free [NBP2-80733]

Western Blot: FGFR1 Antibody (M17D10) - Azide and BSA Free [NBP2-80733] - Total protein from MOLT-4 (lane 1) and Ntera-2 (lane 2) was separated on a 7.5% gel by SDS-PAGE. Protein was transferred to PVDF membrane, blocked and probed with 1 ug/mL of anti-FGF R1. FGF R1 protein was detected at ~150 kDa using an anti-mouse HRP secondary antibody. Image from the standard format of this antibody.
Immunocytochemistry: FGFR1 Antibody (M17D10) - Azide and BSA Free [NBP2-80733]

Immunocytochemistry: FGFR1 Antibody (M17D10) - Azide and BSA Free [NBP2-80733]

Immunocytochemistry: FGFR1 Antibody (M17D10) - Azide and BSA Free [NBP2-80733] - Analysis of FFPE tissue section of human liver using mouse monoclonal FGF R1 antibody (clone M17D10) at 5 ug/mL. The hepatocytes depicted an expected and specific membrane-cytoplasmic-nuclear immunostaining of FGF R1 protein. Image from the standard forma
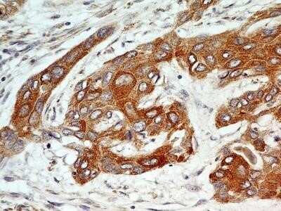
Immunohistochemistry-Paraffin: FGFR1 Antibody (M17D10) - Azide and BSA Free [NBP2-80733]

Immunohistochemistry-Paraffin: FGFR1 Antibody (M17D10) - Azide and BSA Free [NBP2-80733]

Immunohistochemistry-Paraffin: FGFR1 Antibody (M17D10) - Azide and BSA Free [NBP2-80733] - IHC analysis of formalin-fixed paraffin-embedded tissue section of human esophageal squamous cell carcinoma (SCC) using mouse monoclonal FGF R1 antibody (clone M17D10) at 5 ug/ml concentration. Specific membrane-cytoplasmic immunopositivity of FGF R1 prot

Applications for FGFR1 Antibody (M17D10) - Azide and BSA Free

Application
Recommended Usage

Flow Cytometry

1:500 - 1:1000

Immunocytochemistry/ Immunofluorescence

10 ug/ml

Immunohistochemistry

5 ug/ml

Immunoprecipitation

1:10 - 1:500

Western Blot

1 ug/ml
Application Notes
This antibody is CyTOF ready.

Formulation, Preparation, and Storage

Purification

Protein G purified

Formulation

PBS

Format

Azide and BSA Free

Preservative

No Preservative

Concentration

1 mg/ml

Shipping

The product is shipped with polar packs. Upon receipt, store it immediately at the temperature recommended below.

Stability & Storage

Store at 4C short term. Aliquot and store at -20C long term. Avoid freeze-thaw cycles.

Background: FGFR1

FGF activity is mediated by a family of type I transmembrane tyrosine kinases, which undergo dimerization and autophosphorylation after ligand binding. Five distinct genes encode closely related FGF receptors, FGFR1 through 5. FGFRs contain three Ig-like domains and a stretch of acidic residues between the first and second Ig-like domains. FGFR1, 2, 3, and -4 have a cytoplasmic split tyrosine-kinase domain, but FGFR5 does not. Multiple forms of FGFR1, 2, and 3 are generated by alternative splicing.

Long Name

Fibroblast Growth Factor Receptor 1

Alternate Names

CD331, FGF R1, Flt-2

Gene Symbol

FGFR1

Additional FGFR1 Products

Product Documents for FGFR1 Antibody (M17D10) - Azide and BSA Free

Certificate of Analysis

To download a Certificate of Analysis, please enter a lot number in the search box below.

Product Specific Notices for FGFR1 Antibody (M17D10) - Azide and BSA Free

This product is for research use only and is not approved for use in humans or in clinical diagnosis. Primary Antibodies are guaranteed for 1 year from date of receipt.

Loading...
Loading...
Loading...
Loading...
Loading...
Loading...