Skip to main content

FERD3L Antibody - BSA Free

Novus Biologicals, part of Bio-Techne | Catalog # NBP1-91897

Novus Biologicals, part of Bio-Techne
Catalog #
Availability
Size / Price
Qty
Loading...
NBP1-91897
NBP1-91897-25ul

Key Product Details

Species Reactivity

Human

Applications

Immunohistochemistry, Immunohistochemistry-Paraffin, Western Blot

Label

Unconjugated

Antibody Source

Polyclonal Rabbit IgG

Format

BSA Free

Concentration

Concentrations vary lot to lot. See vial label for concentration. If unlisted please contact technical services.

Product Specifications

Immunogen

This antibody was developed against Recombinant Protein corresponding to amino acids: MAAYPESCVDTTVLDFVADLSLASPRRPLLCDFAPGVSLGDPALALREGRPRRMARFEEGDPEEEECEVDQ

Clonality

Polyclonal

Host

Rabbit

Isotype

IgG

Description

Novus Biologicals Rabbit FERD3L Antibody - BSA Free (NBP1-91897) is a polyclonal antibody validated for use in IHC and WB. All Novus Biologicals antibodies are covered by our 100% guarantee.

Scientific Data Images for FERD3L Antibody - BSA Free

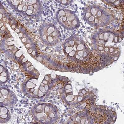
Immunohistochemistry-Paraffin: FERD3L Antibody [NBP1-91897]

Immunohistochemistry-Paraffin: FERD3L Antibody [NBP1-91897]

Immunohistochemistry-Paraffin: FERD3L Antibody [NBP1-91897] - Staining of human colon shows strong cytoplasmic and membranous positivity in superficial glandular cells.
FERD3L Antibody - BSA Free Western Blot: FERD3L Antibody - BSA Free [NBP1-91897]

Western Blot: FERD3L Antibody - BSA Free [NBP1-91897]

Analysis in control (vector only transfected HEK293T lysate) and FERD3L over-expression lysate (Co-expressed with a C-terminal myc-DDK tag (~3.1 kDa) in mammalian HEK293T cells).

Applications for FERD3L Antibody - BSA Free

Application
Recommended Usage

Immunohistochemistry

1:50 - 1:200

Immunohistochemistry-Paraffin

1:50 - 1:200

Western Blot

0.04-0.4 ug/ml
Application Notes
For IHC-Paraffin, HIER pH 6 retrieval is recommended.

Formulation, Preparation, and Storage

Purification

Affinity purified

Formulation

PBS (pH 7.2) and 40% Glycerol

Format

BSA Free

Preservative

0.02% Sodium Azide

Concentration

Concentrations vary lot to lot. See vial label for concentration. If unlisted please contact technical services.

Shipping

The product is shipped with polar packs. Upon receipt, store it immediately at the temperature recommended below.

Stability & Storage

Store at 4C short term. Aliquot and store at -20C long term. Avoid freeze-thaw cycles.

Background: FERD3L

Transcription factor that binds to the E-box and functions as inhibitor of transcription. DNA bindingrequires dimerization with an E protein. Inhibits transcription activation by ASCL1/MASH1 by sequestering E proteins

Alternate Names

Basic helix-loop-helix protein N-twist, BHLHA31, bHLHa31NTWIST, Class A basic helix-loop-helix protein 31, Fer3-like (Drosophila), fer3-like protein, MGC119861, NATO3Neuronal twist, Nephew of atonal 3, N-TWIST

Gene Symbol

FERD3L

Additional FERD3L Products

Product Documents for FERD3L Antibody - BSA Free

Certificate of Analysis

To download a Certificate of Analysis, please enter a lot number in the search box below.

Product Specific Notices for FERD3L Antibody - BSA Free

This product is for research use only and is not approved for use in humans or in clinical diagnosis. Primary Antibodies are guaranteed for 1 year from date of receipt.

Loading...
Loading...
Loading...
Loading...