Skip to main content

FCER1G Antibody (HL1418) - Azide and BSA Free

Novus Biologicals, part of Bio-Techne | Catalog # NBP3-25463

Recombinant Monoclonal Antibody
Novus Biologicals, part of Bio-Techne
Catalog #
Availability
Size / Price
Qty
Loading...
NBP3-25463

Key Product Details

Species Reactivity

Validated:

Human, Mouse, Rat, Canine, Feline

Predicted:

Bovine (92%), Porcine (100%), Rhesus Macaque (100%). Backed by our 100% Guarantee.

Applications

Immunohistochemistry, Immunohistochemistry-Paraffin, Western Blot, Immunocytochemistry/ Immunofluorescence

Label

Unconjugated

Antibody Source

Recombinant Monoclonal Rabbit IgG Clone # HL1418 expressed in HEK293

Format

Azide and BSA Free

Concentration

Concentrations vary lot to lot. See vial label for concentration. If unlisted please contact technical services.

Product Specifications

Immunogen

Carrier-protein conjugated synthetic peptide encompassing a sequence within the C-terminus region of human FCER1G. The exact sequence is proprietary.

Clonality

Monoclonal

Host

Rabbit

Isotype

IgG

Description

Novus Biologicals Rabbit FCER1G Antibody (HL1418) - Azide and BSA Free (NBP3-25463) is a recombinant monoclonal antibody validated for use in IHC, WB and ICC/IF. All Novus Biologicals antibodies are covered by our 100% guarantee.

Scientific Data Images for FCER1G Antibody (HL1418) - Azide and BSA Free

FCER1G Antibody (HL1418) - Azide and BSA Free

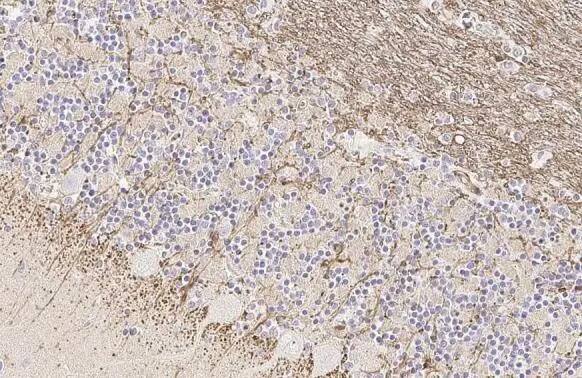
Immunohistochemistry-Paraffin: FCER1G Antibody (HL1418) - Azide and BSA Free [NBP3-25463] -

Immunohistochemistry-Paraffin: FCER1G Antibody (HL1418) - Azide and BSA Free [NBP3-25463] - FCER1G antibody [HL1418] detects FCER1G protein at cell membrane by immunohistochemical analysis. Sample: Paraffin-embedded dog cerebellum. FCER1G stained by FCER1G antibody [HL1418] (NBP3-25463) diluted at 1:100. Antigen Retrieval: Citrate buffer, pH 6.0, 15 min
FCER1G Antibody (HL1418) - Azide and BSA Free

Western Blot: FCER1G Antibody (HL1418) - Azide and BSA Free [NBP3-25463] -

Western Blot: FCER1G Antibody (HL1418) - Azide and BSA Free [NBP3-25463] - Non-transfected (-) and transfected (+) 293T whole cell extracts (30 ug) were separated by 15% SDS-PAGE, and the membrane was blotted with FCER1G antibody [HL1418] (NBP3-25463) diluted at 1:5000. The HRP-conjugated anti-rabbit IgG antibody was used to detect the primary antibody.
FCER1G Antibody (HL1418) - Azide and BSA Free

Immunohistochemistry-Paraffin: FCER1G Antibody (HL1418) - Azide and BSA Free [NBP3-25463] -

Immunohistochemistry-Paraffin: FCER1G Antibody (HL1418) - Azide and BSA Free [NBP3-25463] - FCER1G antibody [HL1418] detects FCER1G protein at cell membrane by immunohistochemical analysis. Sample: Paraffin-embedded cat cerebellum. FCER1G stained by FCER1G antibody [HL1418] (NBP3-25463) diluted at 1:100. Antigen Retrieval: Citrate buffer, pH 6.0, 15 min

Applications for FCER1G Antibody (HL1418) - Azide and BSA Free

Application
Recommended Usage

Western Blot

1:1000-1:10000

Formulation, Preparation, and Storage

Purification

Protein A purified

Formulation

PBS

Format

Azide and BSA Free

Preservative

No Preservative

Concentration

Concentrations vary lot to lot. See vial label for concentration. If unlisted please contact technical services.

Shipping

The product is shipped with polar packs. Upon receipt, store it immediately at the temperature recommended below.

Stability & Storage

Store at 4C short term. Aliquot and store at -20C long term. Avoid freeze-thaw cycles.

Background: FCER1G

The high affinity IgE receptor is a key molecule involved in allergic reactions. It is a tetramer composed of 1 alpha,1 beta, and 2 gamma chains. The gamma chains are also subunits of other Fc receptors. (provided by RefSeq)

Alternate Names

Fc fragment of IgE, high affinity I, receptor for; gamma polypeptide, Fc-epsilon RI-gamma, FceRI gamma, FCRG, high affinity immunoglobulin epsilon receptor subunit gamma, IgE Fc receptor subunit gamma, immunoglobulin E receptor, high affinity, gamma chain

Gene Symbol

FCER1G

Additional FCER1G Products

Product Documents for FCER1G Antibody (HL1418) - Azide and BSA Free

Certificate of Analysis

To download a Certificate of Analysis, please enter a lot number in the search box below.

Product Specific Notices for FCER1G Antibody (HL1418) - Azide and BSA Free

This product is for research use only and is not approved for use in humans or in clinical diagnosis. Primary Antibodies are guaranteed for 1 year from date of receipt.

Loading...
Loading...
Loading...
Loading...