Skip to main content

Fc epsilon RI beta/MS4A2 Antibody - BSA Free

Novus Biologicals, part of Bio-Techne | Catalog # NBP2-31807

Novus Biologicals, part of Bio-Techne
Catalog #
Availability
Size / Price
Qty
Loading...
NBP2-31807
NBP2-31807-25ul

Key Product Details

Validated by

Orthogonal Validation

Species Reactivity

Human

Applications

Immunohistochemistry, Immunohistochemistry-Paraffin

Label

Unconjugated

Antibody Source

Polyclonal Rabbit IgG

Format

BSA Free

Concentration

Concentrations vary lot to lot. See vial label for concentration. If unlisted please contact technical services.

Product Specifications

Immunogen

This antibody was developed against a recombinant protein corresponding to amino acids: EELKGNKVPEDRVYEELNIYSATYSELEDPGEMSPPID

Clonality

Polyclonal

Host

Rabbit

Isotype

IgG

Description

Novus Biologicals Rabbit Fc epsilon RI beta/MS4A2 Antibody - BSA Free (NBP2-31807) is a polyclonal antibody validated for use in IHC. All Novus Biologicals antibodies are covered by our 100% guarantee.

Scientific Data Images for Fc epsilon RI beta/MS4A2 Antibody - BSA Free

Immunohistochemistry-Paraffin: Fc epsilon RI beta/MS4A2 Antibody [NBP2-31807]

Immunohistochemistry-Paraffin: Fc epsilon RI beta/MS4A2 Antibody [NBP2-31807]

Immunohistochemistry-Paraffin: Fc epsilon RI beta/MS4A2 Antibody [NBP2-31807] - Staining of human small intestine shows strong cytoplasmic positivity in myelopoietic cells.
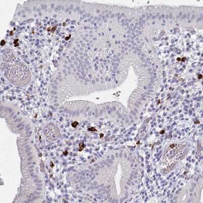
Immunohistochemistry-Paraffin: Fc epsilon RI beta/MS4A2 Antibody [NBP2-31807]

Immunohistochemistry-Paraffin: Fc epsilon RI beta/MS4A2 Antibody [NBP2-31807]

Immunohistochemistry-Paraffin: Fc epsilon RI beta/MS4A2 Antibody [NBP2-31807] - Analysis in human gallbladder and pancreas tissues. Corresponding MS4A2 RNA-seq data are presented for the same tissues.
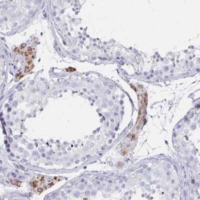
Immunohistochemistry-Paraffin: Fc epsilon RI beta/MS4A2 Antibody [NBP2-31807]

Immunohistochemistry-Paraffin: Fc epsilon RI beta/MS4A2 Antibody [NBP2-31807]

Immunohistochemistry-Paraffin: Fc epsilon RI beta/MS4A2 Antibody [NBP2-31807] - Staining of human testis shows moderate cytoplasmic positivity in Leydig cells.

Applications for Fc epsilon RI beta/MS4A2 Antibody - BSA Free

Application
Recommended Usage

Immunohistochemistry

1:500 - 1:1000

Immunohistochemistry-Paraffin

1:500 - 1:1000
Application Notes
For IHC-Paraffin, HIER pH 6 retrieval is recommended.

Formulation, Preparation, and Storage

Purification

Affinity purified

Formulation

PBS (pH 7.2) and 40% Glycerol

Format

BSA Free

Preservative

0.02% Sodium Azide

Concentration

Concentrations vary lot to lot. See vial label for concentration. If unlisted please contact technical services.

Shipping

The product is shipped with polar packs. Upon receipt, store it immediately at the temperature recommended below.

Stability & Storage

Store at 4C short term. Aliquot and store at -20C long term. Avoid freeze-thaw cycles.

Background: Fc epsilon RI beta/MS4A2

The allergic response involves the binding of allergen to receptor-bound IgE followed by cell activation and the release of mediators responsible for the manifestations of allergy. The IgE-receptor, a tetramer composed of an alpha, beta, and 2 disulfide-linked gamma chains, is found on the surface of mast cells and basophils. This gene encodes the beta subunit of the high affinity IgE receptor which is a member of the membrane-spanning 4A gene family. Members of this nascent protein family are characterized by common structural features and similar intron/exon splice boundaries and display unique expression patterns among hematopoietic cells and nonlymphoid tissues. This family member is localized to 11q12, among a cluster of family members. [provided by RefSeq]

Long Name

Fc epsilon Receptor I beta

Alternate Names

APY, ATOPY, Fc epsilonRIb, FCER1B, IGEL, IGER, IGHER, MS4A2

Gene Symbol

MS4A2

UniProt

Additional Fc epsilon RI beta/MS4A2 Products

Product Documents for Fc epsilon RI beta/MS4A2 Antibody - BSA Free

Certificate of Analysis

To download a Certificate of Analysis, please enter a lot number in the search box below.

Product Specific Notices for Fc epsilon RI beta/MS4A2 Antibody - BSA Free

This product is for research use only and is not approved for use in humans or in clinical diagnosis. Primary Antibodies are guaranteed for 1 year from date of receipt.

Loading...
Loading...
Loading...
Loading...