FBXO21 Antibody - BSA Free
Novus Biologicals, part of Bio-Techne | Catalog # NBP3-36704
Key Product Details
Species Reactivity
Human, Mouse, Rat
Applications
Immunohistochemistry, Immunohistochemistry-Paraffin, Western Blot, ELISA, Immunocytochemistry/ Immunofluorescence
Label
Unconjugated
Antibody Source
Polyclonal Rabbit IgG
Format
BSA Free
Concentration
Please see the vial label for concentration. If unlisted please contact technical services.
Product Specifications
Immunogen
Recombinant fusion protein containing a sequence corresponding to amino acids 440-621 of human FBXO21 (NP_055817.1).
Sequence:
PEKVLDILQHIQTLDPGQHGAVGYLVQHTLEHIERKKEEVGVEVKLRSDEKHRDVCYSIGLIMKHKRYGYNCVIYGWDPTCMMGHEWIRNMNVHSLPHGHHQPFYNVLVEDGSCRYAAQENLEYNVEPQEISHPDVGRYFSEFTGTHYIPNAELEIRYPEDLEFVYETVQNIYSAKKENIDE
Sequence:
PEKVLDILQHIQTLDPGQHGAVGYLVQHTLEHIERKKEEVGVEVKLRSDEKHRDVCYSIGLIMKHKRYGYNCVIYGWDPTCMMGHEWIRNMNVHSLPHGHHQPFYNVLVEDGSCRYAAQENLEYNVEPQEISHPDVGRYFSEFTGTHYIPNAELEIRYPEDLEFVYETVQNIYSAKKENIDE
Clonality
Polyclonal
Host
Rabbit
Isotype
IgG
Theoretical MW
72 kDa.
Disclaimer note: The observed molecular weight of the protein may vary from the listed predicted molecular weight due to post translational modifications, post translation cleavages, relative charges, and other experimental factors.
Disclaimer note: The observed molecular weight of the protein may vary from the listed predicted molecular weight due to post translational modifications, post translation cleavages, relative charges, and other experimental factors.
Description
Novus Biologicals Rabbit FBXO21 Antibody - BSA Free (NBP3-36704) is a polyclonal antibody validated for use in IHC, WB, ELISA and ICC/IF. All Novus Biologicals antibodies are covered by our 100% guarantee.
Scientific Data Images for FBXO21 Antibody - BSA Free
Western Blot: FBXO21 Antibody [NBP3-36704] -
Western Blot: FBXO21 Antibody [NBP3-36704] - Western blot analysis of various lysates using FBXO21 Rabbit pAb at 1:1000 dilution.Secondary antibody: HRP-conjugated Goat anti-Rabbit IgG (H+L) at 1:10000 dilution.
Lysates/proteins: 25ug per lane.
Blocking buffer: 3% nonfat dry milk in TBST.
Detection: ECL Basic Kit.
Exposure time: 1s.
Immunohistochemistry: FBXO21 Antibody [NBP3-36704] -
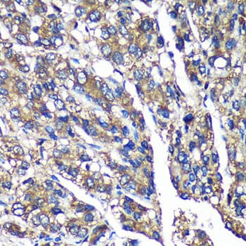
Immunohistochemistry: FBXO21 Antibody [NBP3-36704] - Immunohistochemistry analysis of paraffin-embedded Human liver cancer using FBXO21 Rabbit pAb at dilution of 1:100 (40x lens). Microwave antigen retrieval performed with 0.01M PBS Buffer (pH 7.2) prior to IHC staining.Immunohistochemistry: FBXO21 Antibody [NBP3-36704] -
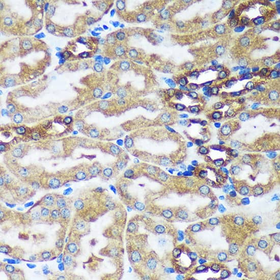
Immunohistochemistry: FBXO21 Antibody [NBP3-36704] - Immunohistochemistry analysis of paraffin-embedded Mouse kidney using FBXO21 Rabbit pAb at dilution of 1:100 (40x lens). Microwave antigen retrieval performed with 0.01M PBS Buffer (pH 7.2) prior to IHC staining.Applications for FBXO21 Antibody - BSA Free
Application
Recommended Usage
Immunocytochemistry/ Immunofluorescence
1:50 - 1:200
Immunohistochemistry-Paraffin
1:50 - 1:200
Western Blot
1:500 - 1:2000
Formulation, Preparation, and Storage
Purification
Affinity purified
Formulation
PBS (pH 7.3), 50% glycerol
Format
BSA Free
Preservative
0.01% Thimerosal
Concentration
Please see the vial label for concentration. If unlisted please contact technical services.
Shipping
The product is shipped with polar packs. Upon receipt, store it immediately at the temperature recommended below.
Stability & Storage
Store at -20C. Avoid freeze-thaw cycles.
Background: FBXO21
Alternate Names
DKFZp434G058, F-box only protein 21, F-box protein 21, FBX21FLJ90233, KIAA0875MGC26682
Gene Symbol
FBXO21
Additional FBXO21 Products
Product Documents for FBXO21 Antibody - BSA Free
Product Specific Notices for FBXO21 Antibody - BSA Free
This product is for research use only and is not approved for use in humans or in clinical diagnosis. Primary Antibodies are guaranteed for 1 year from date of receipt.
Loading...
Loading...
Loading...
Loading...