FBXL17 Antibody - BSA Free
Novus Biologicals, part of Bio-Techne | Catalog # NBP2-16439
Key Product Details
Species Reactivity
Validated:
Human, Mouse
Predicted:
Rat (97%). Backed by our 100% Guarantee.
Applications
Immunohistochemistry, Immunohistochemistry-Paraffin, Western Blot
Label
Unconjugated
Antibody Source
Polyclonal Rabbit IgG
Format
BSA Free
Concentration
Concentrations vary lot to lot. See vial label for concentration. If unlisted please contact technical services.
Product Specifications
Immunogen
Recombinant protein encompassing a sequence within the center region of human FBXL17. The exact sequence is proprietary.
Reactivity Notes
Immunogen displays the following percentage of sequence identity for non-tested species: Xenopus laevis (83%).
Clonality
Polyclonal
Host
Rabbit
Isotype
IgG
Theoretical MW
76 kDa.
Disclaimer note: The observed molecular weight of the protein may vary from the listed predicted molecular weight due to post translational modifications, post translation cleavages, relative charges, and other experimental factors.
Disclaimer note: The observed molecular weight of the protein may vary from the listed predicted molecular weight due to post translational modifications, post translation cleavages, relative charges, and other experimental factors.
Description
Novus Biologicals Rabbit FBXL17 Antibody - BSA Free (NBP2-16439) is a polyclonal antibody validated for use in IHC and WB. All Novus Biologicals antibodies are covered by our 100% guarantee.
Scientific Data Images for FBXL17 Antibody - BSA Free
Immunohistochemistry-Paraffin: FBXL17 Antibody [NBP2-16439]
Immunohistochemistry-Paraffin: FBXL17 Antibody [NBP2-16439] - Mouse muscle. FBXL17 stained by FBXL17 antibody [C1C3] diluted at 1:500.Antigen Retrieval: Citrate buffer, pH 6.0, 15 min.Immunohistochemistry-Paraffin: FBXL17 Antibody [NBP2-16439]
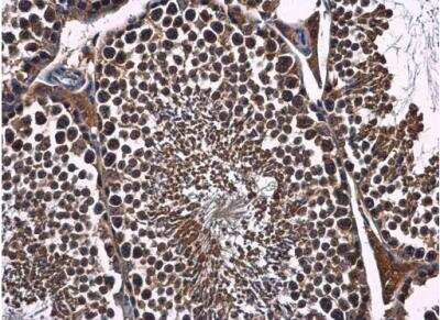
Immunohistochemistry-Paraffin: FBXL17 Antibody [NBP2-16439] - Mouse testis. FBXL17 antibody [C1C3] diluted at 1:500. Antigen Retrieval: Citrate buffer, pH 6.0, 15 min.Immunohistochemistry-Paraffin: FBXL17 Antibody [NBP2-16439]
Immunohistochemistry-Paraffin: FBXL17 Antibody [NBP2-16439] - Mouse heart. FBXL17 stained by FBXL17 antibody [C1C3] diluted at 1:500.Antigen Retrieval: Citrate buffer, pH 6.0, 15 min.Applications for FBXL17 Antibody - BSA Free
Application
Recommended Usage
Immunohistochemistry
1:100-1:1000
Immunohistochemistry-Paraffin
1:100-1:1000
Western Blot
1:500-1:3000
Formulation, Preparation, and Storage
Purification
Antigen Affinity-purified
Formulation
PBS, 20% Glycerol
Format
BSA Free
Preservative
0.025% Proclin 300
Concentration
Concentrations vary lot to lot. See vial label for concentration. If unlisted please contact technical services.
Shipping
The product is shipped with polar packs. Upon receipt, store it immediately at the temperature recommended below.
Stability & Storage
Aliquot and store at -20C or -80C. Avoid freeze-thaw cycles.
Background: FBXL17
Alternate Names
F-box and leucine-rich repeat protein 17, FBX13
Gene Symbol
FBXL17
UniProt
Additional FBXL17 Products
Product Documents for FBXL17 Antibody - BSA Free
Product Specific Notices for FBXL17 Antibody - BSA Free
This product is for research use only and is not approved for use in humans or in clinical diagnosis. Primary Antibodies are guaranteed for 1 year from date of receipt.
Loading...
Loading...
Loading...
Loading...
⚠ WARNING: This product can expose you to chemicals including mercury, which is known to the State of California to cause reproductive toxicity with developmental effects. For more information go to www.P65Warnings.ca.gov.