FBX09 Antibody
Novus Biologicals, part of Bio-Techne | Catalog # NBP2-27364
Key Product Details
Species Reactivity
Validated:
Human
Predicted:
Primate (95%). Backed by our 100% Guarantee.
Applications
Immunocytochemistry/ Immunofluorescence, Immunohistochemistry, Immunohistochemistry-Paraffin, Western Blot
Label
Unconjugated
Antibody Source
Polyclonal Rabbit IgG
Concentration
0.5 mg/ml
Product Specifications
Immunogen
Synthetic peptide made to an N-terminal sequence of the human FBX09 protein (between amino acids 1-100) [UniProt Q9UK97]
Reactivity Notes
Immunogen displays the following percentage of sequence identity for non-tested species: 100% homologous to most ape species, most monkey species (95%)
Clonality
Polyclonal
Host
Rabbit
Isotype
IgG
Description
Novus Biologicals Rabbit FBX09 Antibody (NBP2-27364) is a polyclonal antibody validated for use in IHC, WB and ICC/IF. All Novus Biologicals antibodies are covered by our 100% guarantee.
Scientific Data Images for FBX09 Antibody
Western Blot: FBX09 Antibody [NBP2-27364]
Western Blot: FBX09 Antibody [NBP2-27364] - Analysis of FBXO9 using FBXO9 polyclonal antibody. ThP1 cell lysate in the 1) absence and 2) presence of immunizing peptide probed with FBXO9 antibody at 5 ug/ml. Goat anti-rabbit Ig HRP secondary antibody and PicoTect ECL substrate solution were used for this test.
Immunocytochemistry/ Immunofluorescence: FBX09 Antibody [NBP2-27364] - ICC-IF validation of FBX09 antibody on HeLa cells at 1:100 dilution with detection using Dylight 488 - conjugated secondary antibody (Green). Alpha tubulin and nuclei were counterstained against Dylight 568 (Red) and DAPI (Blue), respectively.
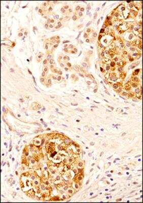
Immunohistochemistry-Paraffin: FBX09 Antibody [NBP2-27364]
Immunohistochemistry-Paraffin: FBX09 Antibody [NBP2-27364] - IHC analysis of formalin fixed paraffin embedded tissue section of human pancreas using FBX09 antibody at 1:100 dilution. The antibody generated a cytoplasmic-nuclear staining in cells of Islets of Langerhans while the pancreatic acini showed very mild to negligible signal for FBX09 immunostaining.Applications for FBX09 Antibody
Application
Recommended Usage
Immunocytochemistry/ Immunofluorescence
5ug/ml
Immunohistochemistry
2-5 ug/ml
Immunohistochemistry-Paraffin
2-5 ug/ml
Western Blot
4-6ug/ml
Formulation, Preparation, and Storage
Purification
Protein A purified
Formulation
PBS containing 0.05% BSA.
Preservative
0.05% Sodium Azide
Concentration
0.5 mg/ml
Shipping
The product is shipped with polar packs. Upon receipt, store it immediately at the temperature recommended below.
Stability & Storage
Store at 4C short term. Aliquot and store at -20C long term. Avoid freeze-thaw cycles.
Background: FBX09
Alternate Names
Cross-immune reaction antigen 1, dJ341E18.2, F-box only protein 9, F-box protein 9, F-box protein Fbx9, FBX9DKFZp434C0118, KIAA0936, NY-REN-57, Renal carcinoma antigen NY-REN-57, VCIA1
Gene Symbol
FBXO9
UniProt
Additional FBX09 Products
Product Documents for FBX09 Antibody
Product Specific Notices for FBX09 Antibody
This product is for research use only and is not approved for use in humans or in clinical diagnosis. Primary Antibodies are guaranteed for 1 year from date of receipt.
Loading...
Loading...
Loading...
Loading...