FBF1 Antibody - BSA Free
Novus Biologicals, part of Bio-Techne | Catalog # NBP3-46344
Key Product Details
Species Reactivity
Human, Mouse
Applications
Immunohistochemistry, Western Blot, ELISA, Immunocytochemistry/ Immunofluorescence, Immunoprecipitation
Label
Unconjugated
Antibody Source
Polyclonal Rabbit IgG
Format
BSA Free
Concentration
Please see the vial label for concentration. If unlisted please contact technical services.
Product Specifications
Immunogen
Fas(TNFRSF6) binding factor 1. (Uniprot# Q8TES7)
Clonality
Polyclonal
Host
Rabbit
Isotype
IgG
Description
Novus Biologicals Rabbit FBF1 Antibody - BSA Free (NBP3-46344) is a polyclonal antibody validated for use in IHC, WB, ELISA, ICC/IF and IP. All Novus Biologicals antibodies are covered by our 100% guarantee.
Scientific Data Images for FBF1 Antibody - BSA Free
Western Blot: FBF1 Antibody - BSA Free [NBP3-46344] -
Western Blot: FBF1 Antibody - BSA Free [NBP3-46344] - Mouse brain tissue were subjected to SDS PAGE followed by western blot with (FBF1 antibody) at dilution of 1:400Immunohistochemistry: FBF1 Antibody - BSA Free [NBP3-46344] -
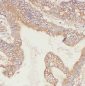
Immunohistochemistry: FBF1 Antibody - BSA Free [NBP3-46344] - Immunohistochemistry of paraffin-embedded human colon cancer using (FBF1 antibody) at dilution of 1:50Immunoprecipitation: FBF1 Antibody - BSA Free [NBP3-46344] -
Immunoprecipitation: FBF1 Antibody - BSA Free [NBP3-46344] - IP Result of anti-FBF1 (IP:, 4ug; Detection: 1:300) with mouse liver tissue lysate 4000ug.Applications for FBF1 Antibody - BSA Free
Application
Recommended Usage
Immunocytochemistry/ Immunofluorescence
1:20-1:200
Immunohistochemistry
1:20-1:200
Immunoprecipitation
1:200-1:1000
Western Blot
1:500-1:2000
Application Notes
Theoretical Molecular Weight is 69-70 kDa
Formulation, Preparation, and Storage
Purification
Immunogen affinity purified
Formulation
PBS, 50% Glycerol, pH (7.3)
Format
BSA Free
Preservative
0.02% Sodium Azide
Concentration
Please see the vial label for concentration. If unlisted please contact technical services.
Shipping
The product is shipped with polar packs. Upon receipt, store it immediately at the temperature recommended below.
Stability & Storage
Store at -20C. Avoid freeze-thaw cycles.
Background: FBF1
Alternate Names
ALB, albatross, Fas (TNFRSF6) binding factor 1, Fas binding protein 1, fas-binding factor 1, FBF-1, FLJ00103, FLJ13996, KIAA1863, protein albatross
Gene Symbol
FBF1
Additional FBF1 Products
Product Documents for FBF1 Antibody - BSA Free
Product Specific Notices for FBF1 Antibody - BSA Free
This product is for research use only and is not approved for use in humans or in clinical diagnosis. Primary Antibodies are guaranteed for 1 year from date of receipt.
Loading...
Loading...
Loading...
Loading...