Skip to main content

FAM78A Antibody - BSA Free

Novus Biologicals, part of Bio-Techne | Catalog # NBP3-46500

Novus Biologicals, part of Bio-Techne
Catalog #
Availability
Size / Price
Qty
Loading...
NBP3-46500

Key Product Details

Species Reactivity

Human, Mouse, Rat

Applications

Immunohistochemistry, Western Blot, ELISA

Label

Unconjugated

Antibody Source

Polyclonal Rabbit IgG

Format

BSA Free

Concentration

Please see the vial label for concentration. If unlisted please contact technical services.

Product Specifications

Immunogen

family with sequence similarity 78, member A. (Uniprot# Q5JUQ0)

Clonality

Polyclonal

Host

Rabbit

Isotype

IgG

Description

Novus Biologicals Rabbit FAM78A Antibody - BSA Free (NBP3-46500) is a polyclonal antibody validated for use in IHC, WB and ELISA. All Novus Biologicals antibodies are covered by our 100% guarantee.

Scientific Data Images for FAM78A Antibody - BSA Free

FAM78A Antibody - BSA Free

Western Blot: FAM78A Antibody - BSA Free [NBP3-46500] -

Western Blot: FAM78A Antibody - BSA Free [NBP3-46500] - Mouse liver tissue were subjected to SDS PAGE followed by western blot with (FAM78A antibody) at dilution of 1:500
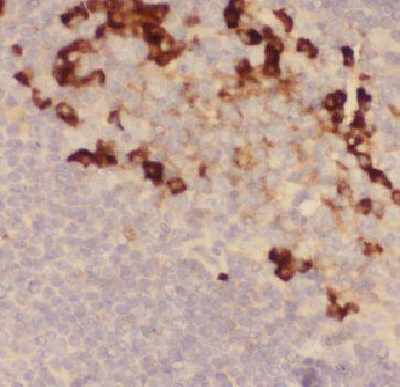
FAM78A Antibody - BSA Free

Immunohistochemistry: FAM78A Antibody - BSA Free [NBP3-46500] -

Immunohistochemistry: FAM78A Antibody - BSA Free [NBP3-46500] - Immunohistochemistry of paraffin-embedded human tonsillitis slide using (FAM78A Antibody) at dilution of 1:50

Applications for FAM78A Antibody - BSA Free

Application
Recommended Usage

Immunohistochemistry

1:20-1:200

Western Blot

1:500-1:2000
Application Notes
Theoretical Molecular Weight is 32-35 kDa

Formulation, Preparation, and Storage

Purification

Immunogen affinity purified

Formulation

PBS, 50% Glycerol, pH (7.3)

Format

BSA Free

Preservative

0.02% Sodium Azide

Concentration

Please see the vial label for concentration. If unlisted please contact technical services.

Shipping

The product is shipped with polar packs. Upon receipt, store it immediately at the temperature recommended below.

Stability & Storage

Store at -20C. Avoid freeze-thaw cycles.

Background: FAM78A

Alternate Names

C9orf59, chromosome 9 open reading frame 59, family with sequence similarity 78, member A, FLJ00024, hypothetical protein LOC286336

Gene Symbol

FAM78A

Additional FAM78A Products

Product Documents for FAM78A Antibody - BSA Free

Certificate of Analysis

To download a Certificate of Analysis, please enter a lot number in the search box below.

Product Specific Notices for FAM78A Antibody - BSA Free

This product is for research use only and is not approved for use in humans or in clinical diagnosis. Primary Antibodies are guaranteed for 1 year from date of receipt.

Loading...
Loading...
Loading...
Loading...