Skip to main content

FAM62A Antibody - BSA Free

Novus Biologicals, part of Bio-Techne | Catalog # NBP1-84741

Novus Biologicals, part of Bio-Techne
Catalog #
Availability
Size / Price
Qty
Loading...
NBP1-84741

Key Product Details

Validated by

Knockout/Knockdown

Species Reactivity

Human

Applications

Immunohistochemistry, Immunohistochemistry-Paraffin, Western Blot

Label

Unconjugated

Antibody Source

Polyclonal Rabbit IgG

Format

BSA Free

Concentration

Concentrations vary lot to lot. See vial label for concentration. If unlisted please contact technical services.

Product Specifications

Immunogen

This antibody was developed against Recombinant Protein corresponding to amino acids: LEVEVFDKDLDKDDFLGRCKVRLTTVLNSGFLDEWLTLEDVPSGRLHLRLERLTPRPTAAELEEVLQVNSLIQTQKSAELAAALLSIYMERAEDLPLRKGTKHLSPYATLTVGDSSHKTKTISQTSAPVWDESASFLIRKPHTE

Reactivity Notes

Reactivity reported in scientific literature (PMID: 25787254)

Clonality

Polyclonal

Host

Rabbit

Isotype

IgG

Scientific Data Images for FAM62A Antibody - BSA Free

FAM62A Antibody - BSA Free Western Blot: FAM62A Antibody - BSA Free [NBP1-84741]

Western Blot: FAM62A Antibody - BSA Free [NBP1-84741]

Analysis in U-87MG ATCC cells transfected with control siRNA, target specific siRNA probe #1 and #2, using Anti-ESYT1 antibody. Remaining relative intensity is presented. Loading control: Anti-GAPDH.
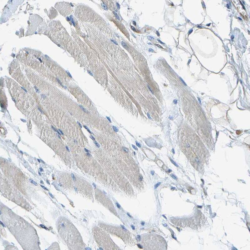
FAM62A Antibody - BSA Free Immunohistochemistry-Paraffin: FAM62A Antibody - BSA Free [NBP1-84741]

Immunohistochemistry-Paraffin: FAM62A Antibody - BSA Free [NBP1-84741]

Staining of human skeletal muscle shows weak positivity in myocytes.
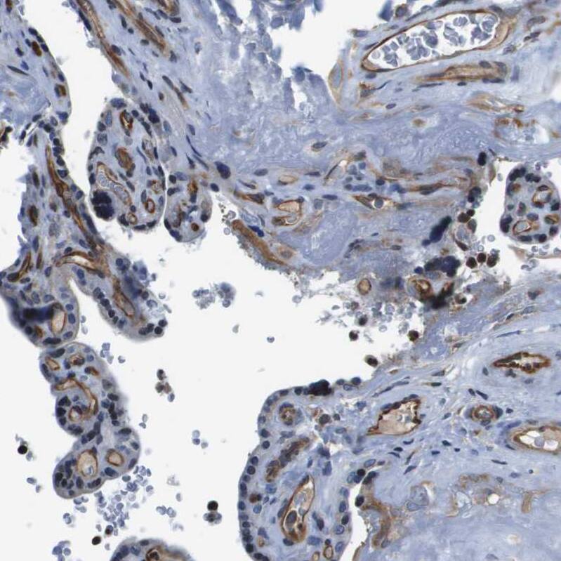
FAM62A Antibody - BSA Free Immunohistochemistry-Paraffin: FAM62A Antibody - BSA Free [NBP1-84741]

Immunohistochemistry-Paraffin: FAM62A Antibody - BSA Free [NBP1-84741]

Staining of human fallopian tube shows moderate cytoplasmic positivity in glandular cells and endothelial cells.

Applications for FAM62A Antibody - BSA Free

Application
Recommended Usage

Immunohistochemistry

1:50 - 1:200

Immunohistochemistry-Paraffin

1:50 - 1:200

Western Blot

0.04-0.4 ug/ml
Application Notes
For IHC-Paraffin, HIER pH 6 retrieval is recommended.

Formulation, Preparation, and Storage

Purification

Affinity purified

Formulation

PBS (pH 7.2) and 40% Glycerol

Format

BSA Free

Preservative

0.02% Sodium Azide

Concentration

Concentrations vary lot to lot. See vial label for concentration. If unlisted please contact technical services.

Shipping

The product is shipped with polar packs. Upon receipt, store it immediately at the temperature recommended below.

Stability & Storage

Store at 4C short term. Aliquot and store at -20C long term. Avoid freeze-thaw cycles.

Background: FAM62A

FAM62A belongs to the extended synaptotagmin family. It may play a role as a calcium-regulated intrinsic membrane protein.

Alternate Names

E-Syt1, extended synaptotagmin-like protein 1, family with sequence similarity 62 (C2 domain containing), member A, KIAA0747FAM62A, MBC2extended synaptotagmin-1, Membrane-bound C2 domain-containing protein

Gene Symbol

ESYT1

Additional FAM62A Products

Product Documents for FAM62A Antibody - BSA Free

Certificate of Analysis

To download a Certificate of Analysis, please enter a lot number in the search box below.

Product Specific Notices for FAM62A Antibody - BSA Free

This product is for research use only and is not approved for use in humans or in clinical diagnosis. Primary Antibodies are guaranteed for 1 year from date of receipt.

Loading...
Loading...
Loading...
Loading...