Skip to main content

FAM55B Antibody - BSA Free

Novus Biologicals, part of Bio-Techne | Catalog # NBP2-31001

Novus Biologicals, part of Bio-Techne
Catalog #
Availability
Size / Price
Qty
Loading...
NBP2-31001-25ul
NBP2-31001

Key Product Details

Validated by

Orthogonal Validation, Independent Antibodies

Species Reactivity

Human

Applications

Immunohistochemistry, Immunohistochemistry-Paraffin

Label

Unconjugated

Antibody Source

Polyclonal Rabbit IgG

Format

BSA Free

Concentration

Concentrations vary lot to lot. See vial label for concentration. If unlisted please contact technical services.

Product Specifications

Immunogen

This antibody was developed against a recombinant protein corresponding to amino acids: LSKEEWRLFHRSNIGVEMMKNFTPIEVIPCNKSENIKKNCQIGMKTPFPSGYTLKKMWITAFCKQIKFNETKNINDCLERKLI

Clonality

Polyclonal

Host

Rabbit

Isotype

IgG

Scientific Data Images for FAM55B Antibody - BSA Free

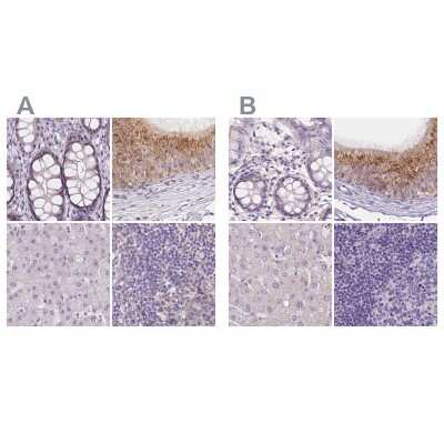
Immunohistochemistry-Paraffin: FAM55B Antibody [NBP2-31001]

Immunohistochemistry-Paraffin: FAM55B Antibody [NBP2-31001]

Immunohistochemistry-Paraffin: FAM55B Antibody [NBP2-31001] - Staining of human colon.
Immunohistochemistry-Paraffin: FAM55B Antibody [NBP2-31001]

Immunohistochemistry-Paraffin: FAM55B Antibody [NBP2-31001]

Immunohistochemistry-Paraffin: FAM55B Antibody [NBP2-31001] - Staining of human endometrium shows low expression as expected.
Immunohistochemistry-Paraffin: FAM55B Antibody [NBP2-31001]

Immunohistochemistry-Paraffin: FAM55B Antibody [NBP2-31001]

Immunohistochemistry-Paraffin: FAM55B Antibody [NBP2-31001] - Staining of human epididymis shows high expression.

Applications for FAM55B Antibody - BSA Free

Application
Recommended Usage

Immunohistochemistry

1:200 - 1:500

Immunohistochemistry-Paraffin

1:200 - 1:500
Application Notes
For IHC-Paraffin, HIER pH 6 retrieval is recommended.

Formulation, Preparation, and Storage

Purification

Affinity purified

Formulation

PBS (pH 7.2) and 40% Glycerol

Format

BSA Free

Preservative

0.02% Sodium Azide

Concentration

Concentrations vary lot to lot. See vial label for concentration. If unlisted please contact technical services.

Shipping

The product is shipped with polar packs. Upon receipt, store it immediately at the temperature recommended below.

Stability & Storage

Store at 4C short term. Aliquot and store at -20C long term. Avoid freeze-thaw cycles.

Background: FAM55B

Alternate Names

Family With Sequence Similarity 55, Member B, FLJ25224, Neurexophilin And PC-Esterase Domain Family, Member 2, NXPE Family Member 2, NXPE2, Protein FAM55B

Gene Symbol

NXPE2

UniProt

Additional FAM55B Products

Product Documents for FAM55B Antibody - BSA Free

Certificate of Analysis

To download a Certificate of Analysis, please enter a lot number in the search box below.

Product Specific Notices for FAM55B Antibody - BSA Free

This product is for research use only and is not approved for use in humans or in clinical diagnosis. Primary Antibodies are guaranteed for 1 year from date of receipt.

Loading...
Loading...
Loading...
Loading...