Skip to main content

FAM50B Antibody - BSA Free

Novus Biologicals, part of Bio-Techne | Catalog # NBP2-49529

Novus Biologicals, part of Bio-Techne
Catalog #
Availability
Size / Price
Qty
Loading...
NBP2-49529
NBP2-49529-25ul

Key Product Details

Species Reactivity

Human

Applications

Immunohistochemistry, Immunohistochemistry-Paraffin, Immunocytochemistry/ Immunofluorescence

Label

Unconjugated

Antibody Source

Polyclonal Rabbit IgG

Format

BSA Free

Concentration

Concentrations vary lot to lot. See vial label for concentration. If unlisted please contact technical services.

Product Specifications

Immunogen

This antibody was developed against a recombinant protein corresponding to amino acids: QEALVRERERQLAKRQHLEEQRLQQ

Clonality

Polyclonal

Host

Rabbit

Isotype

IgG

Description

Novus Biologicals Rabbit FAM50B Antibody - BSA Free (NBP2-49529) is a polyclonal antibody validated for use in IHC and ICC/IF. All Novus Biologicals antibodies are covered by our 100% guarantee.

Scientific Data Images for FAM50B Antibody - BSA Free

Immunocytochemistry/ Immunofluorescence: FAM50B Antibody [NBP2-49529]

Immunocytochemistry/ Immunofluorescence: FAM50B Antibody [NBP2-49529]

Immunocytochemistry/Immunofluorescence: FAM50B Antibody [NBP2-49529] - Staining of human cell line HeLa shows localization to nucleoplasm & cytokinetic bridge. Antibody staining is shown in green.
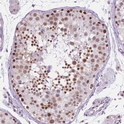
Immunohistochemistry-Paraffin: FAM50B Antibody [NBP2-49529]

Immunohistochemistry-Paraffin: FAM50B Antibody [NBP2-49529]

Immunohistochemistry-Paraffin: FAM50B Antibody [NBP2-49529] - Staining of human testis shows moderate nuclear positivity in cells in seminiferous ducts.

Applications for FAM50B Antibody - BSA Free

Application
Recommended Usage

Immunocytochemistry/ Immunofluorescence

0.25-2 ug/ml

Immunohistochemistry

1:200 - 1:500

Immunohistochemistry-Paraffin

1:200 - 1:500
Application Notes
For IHC-Paraffin, HIER pH 6 retrieval is recommended. ICC/IF Fixation Permeabilization: Use PFA/Triton X-100.

Formulation, Preparation, and Storage

Purification

Affinity purified

Formulation

PBS (pH 7.2) and 40% Glycerol

Format

BSA Free

Preservative

0.02% Sodium Azide

Concentration

Concentrations vary lot to lot. See vial label for concentration. If unlisted please contact technical services.

Shipping

The product is shipped with polar packs. Upon receipt, store it immediately at the temperature recommended below.

Stability & Storage

Store at 4C short term. Aliquot and store at -20C long term. Avoid freeze-thaw cycles.

Background: FAM50B

Alternate Names

family with sequence similarity 50, member B, Protein XAP-5-like, X5LD6S2654E

Gene Symbol

FAM50B

Additional FAM50B Products

Product Documents for FAM50B Antibody - BSA Free

Certificate of Analysis

To download a Certificate of Analysis, please enter a lot number in the search box below.

Product Specific Notices for FAM50B Antibody - BSA Free

This product is for research use only and is not approved for use in humans or in clinical diagnosis. Primary Antibodies are guaranteed for 1 year from date of receipt.

Loading...
Loading...
Loading...
Loading...