Skip to main content

FAM50A Antibody (JE65-21)

Novus Biologicals, part of Bio-Techne | Catalog # NBP3-32332

Recombinant Monoclonal Antibody
Novus Biologicals, part of Bio-Techne
Catalog #
Availability
Size / Price
Qty
Loading...
NBP3-32332

Key Product Details

Species Reactivity

Human, Mouse, Rat

Applications

Immunohistochemistry, Immunohistochemistry-Paraffin, Western Blot, Immunocytochemistry/ Immunofluorescence

Label

Unconjugated

Antibody Source

Recombinant Monoclonal Rabbit IgG Clone # JE65-21 expressed in HEK293

Concentration

1 mg/ml

Product Specifications

Immunogen

Synthetic peptide within human FAM50A aa 1-50/339. (Uniprot: Q14320)

Localization

Nucleus.

Clonality

Monoclonal

Host

Rabbit

Isotype

IgG

Theoretical MW

40 kDa.
Disclaimer note: The observed molecular weight of the protein may vary from the listed predicted molecular weight due to post translational modifications, post translation cleavages, relative charges, and other experimental factors.

Description

Novus Biologicals Rabbit FAM50A Antibody (JE65-21) (NBP3-32332) is a recombinant monoclonal antibody validated for use in IHC, WB and ICC/IF. All Novus Biologicals antibodies are covered by our 100% guarantee.

Scientific Data Images for FAM50A Antibody (JE65-21)

FAM50A Antibody (JE65-21)

Western Blot: FAM50A Antibody (JE65-21) [NBP3-32332]

Western Blot: FAM50A Antibody (JE65-21) [NBP3-32332] - Western blot analysis of FAM50A on different lysates with Rabbit anti-FAM50A antibody (NBP3-32332) at 1/1,000 dilution.

Lane 1: U87MG cell lysate
Lane 2: U937 cell lysate

Lysates/proteins at 10 ug/Lane.

Predicted band size: 40 kDa
Observed band size: 40 kDa

Exposure time: 2 minutes;

12% SDS-PAGE gel.

Proteins were transferred to a PVDF membrane and blocked with 5% NFDM/TBST for 1 hour at room temperature. The primary antibody (NBP3-32332) at 1/1,000 dilution was used in 5% NFDM/TBST at room temperature for 2 hours. Goat Anti-Rabbit IgG - HRP Secondary Antibody at 1:300,000 dilution was used for 1 hour at room temperature.
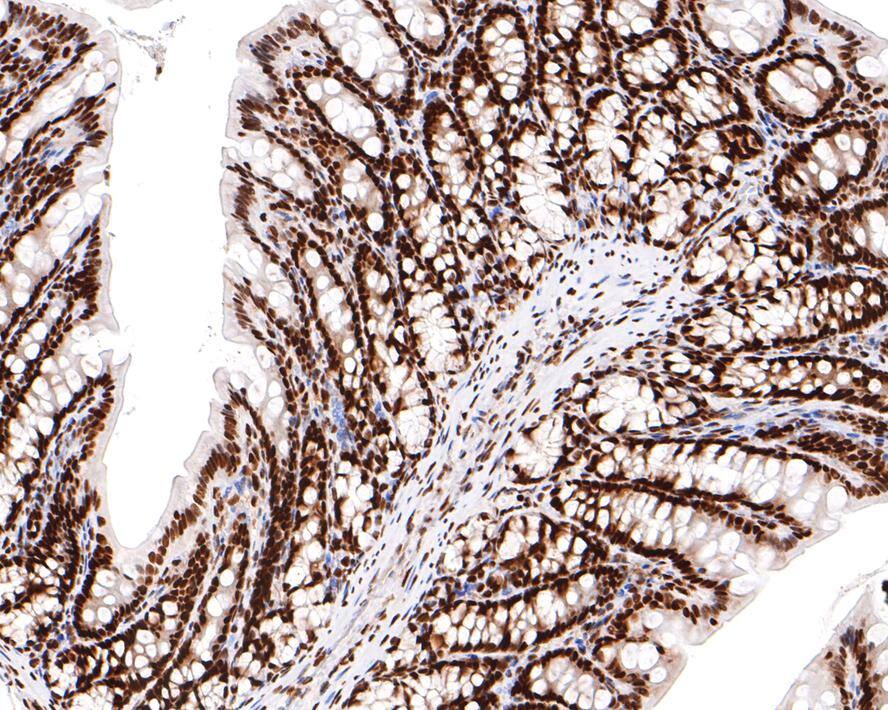
FAM50A Antibody (JE65-21)

Immunohistochemistry: FAM50A Antibody (JE65-21) [NBP3-32332]

Immunohistochemistry: FAM50A Antibody (JE65-21) [NBP3-32332] - Immunohistochemical analysis of paraffin-embedded rat rectum tissue with Rabbit anti-FAM50A antibody (NBP3-32332) at 1/400 dilution.

The section was pre-treated using heat mediated antigen retrieval with sodium citrate buffer (pH 6.0) for 2 minutes. The tissues were blocked in 1% BSA for 20 minutes at room temperature, washed with ddH2O and PBS, and then probed with the primary antibody (NBP3-32332) at 1/400 dilution for 1 hour at room temperature. The detection was performed using an HRP conjugated compact polymer system. DAB was used as the chromogen. Tissues were counterstained with hematoxylin and mounted with DPX.
FAM50A Antibody (JE65-21)

Immunocytochemistry/ Immunofluorescence: FAM50A Antibody (JE65-21) [NBP3-32332]

Immunocytochemistry/ Immunofluorescence: FAM50A Antibody (JE65-21) [NBP3-32332] - Immunocytochemistry analysis of NCI-H441 cells labeling FAM50A with Rabbit anti-FAM50A antibody (NBP3-32332) at 1/50 dilution.

Cells were fixed in 4% paraformaldehyde for 10 minutes at 37 ℃, permeabilized with 0.05% Triton X-100 in PBS for 20 minutes, and then blocked with 2% negative goat serum for 30 minutes at room temperature. Cells were then incubated with Rabbit anti-FAM50A antibody (NBP3-32332) at 1/50 dilution in 2% negative goat serum overnight at 4 ℃. Goat Anti-Rabbit IgG H&L (Alexa Fluor® 488) was used as the secondary antibody at 1/1,000 dilution. Nuclear DNA was labelled in blue with DAPI.

Beta tubulin (red) was stained at 1/200 dilution overnight at +4℃. Goat Anti-Mouse IgG H&L (iFluor™ 647) were used as the secondary antibody at 1/1,000 dilution.

Applications for FAM50A Antibody (JE65-21)

Application
Recommended Usage

Immunocytochemistry/ Immunofluorescence

1:50

Immunohistochemistry-Paraffin

1:200-1:400

Western Blot

1:500-1:1000

Formulation, Preparation, and Storage

Purification

Protein A purified

Formulation

1*TBS (pH7.4), 0.05% BSA and 40% Glycerol

Preservative

0.05% Sodium Azide

Concentration

1 mg/ml

Shipping

The product is shipped with polar packs. Upon receipt, store it immediately at the temperature recommended below.

Stability & Storage

Store at 4C short term. Aliquot and store at -20C long term. Avoid freeze-thaw cycles.

Background: FAM50A

The FAM50A gene belongs to the FAM50 family. The encoded protein is highly conserved in length and sequence across different species. It is a basic protein containing a nuclear localization signal, and may function as a DNA-binding protein or a transcriptional

Alternate Names

DXS9928EXAP-5 protein, family with sequence similarity 50, member A, HXC-26, Protein HXC-26, Protein XAP-5, XAP5HXC26,9F

Gene Symbol

FAM50A

Additional FAM50A Products

Product Documents for FAM50A Antibody (JE65-21)

Certificate of Analysis

To download a Certificate of Analysis, please enter a lot number in the search box below.

Product Specific Notices for FAM50A Antibody (JE65-21)

This product is for research use only and is not approved for use in humans or in clinical diagnosis. Primary Antibodies are guaranteed for 1 year from date of receipt.

Loading...
Loading...
Loading...
Loading...