Skip to main content

FAM241A Antibody - BSA Free

Novus Biologicals, part of Bio-Techne | Catalog # NBP2-37990

Novus Biologicals, part of Bio-Techne
Catalog #
Availability
Size / Price
Qty
Loading...
NBP2-37990
NBP2-37990-25ul

Key Product Details

Species Reactivity

Validated:

Human

Predicted:

Mouse (91%), Rat (91%). Backed by our 100% Guarantee.

Applications

Immunohistochemistry, Immunohistochemistry-Paraffin, Immunocytochemistry/ Immunofluorescence

Label

Unconjugated

Antibody Source

Polyclonal Rabbit IgG

Format

BSA Free

Concentration

Concentrations vary lot to lot. See vial label for concentration. If unlisted please contact technical services.

Product Specifications

Immunogen

This antibody was developed against a recombinant protein corresponding to amino acids: NHTGEPVGDDYKKMGTLFGELNKNLINMGFTRM

Clonality

Polyclonal

Host

Rabbit

Isotype

IgG

Description

Novus Biologicals Rabbit FAM241A Antibody - BSA Free (NBP2-37990) is a polyclonal antibody validated for use in IHC and ICC/IF. All Novus Biologicals antibodies are covered by our 100% guarantee.

Scientific Data Images for FAM241A Antibody - BSA Free

Immunocytochemistry/ Immunofluorescence: FAM241A Antibody [NBP2-37990]

Immunocytochemistry/ Immunofluorescence: FAM241A Antibody [NBP2-37990]

Immunocytochemistry/Immunofluorescence: FAM241A Antibody [NBP2-37990] - Staining of human cell line U-2 OS shows localization to vesicles. Antibody staining is shown in green.
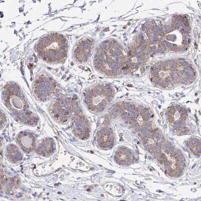
Immunohistochemistry-Paraffin: FAM241A Antibody [NBP2-37990]

Immunohistochemistry-Paraffin: FAM241A Antibody [NBP2-37990]

Immunohistochemistry-Paraffin: FAM241A Antibody [NBP2-37990] - Staining of human breast shows moderate cytoplasmic positivity in glandular cells.

Applications for FAM241A Antibody - BSA Free

Application
Recommended Usage

Immunocytochemistry/ Immunofluorescence

0.25-2 ug/ml

Immunohistochemistry

1:500 - 1:1000

Immunohistochemistry-Paraffin

1:500 - 1:1000
Application Notes
For IHC-Paraffin, HIER pH 6 retrieval is recommended. ICC/IF Fixation/Permeabilization: PFA/Triton X-100.

Formulation, Preparation, and Storage

Purification

Affinity purified

Formulation

PBS (pH 7.2) and 40% Glycerol

Format

BSA Free

Preservative

0.02% Sodium Azide

Concentration

Concentrations vary lot to lot. See vial label for concentration. If unlisted please contact technical services.

Shipping

The product is shipped with polar packs. Upon receipt, store it immediately at the temperature recommended below.

Stability & Storage

Store at 4C short term. Aliquot and store at -20C long term. Avoid freeze-thaw cycles.

Background: FAM241A

Alternate Names

C4orf32, chromosome 4 open reading frame 32, FLJ39370

Gene Symbol

C4ORF32

UniProt

Additional FAM241A Products

Product Documents for FAM241A Antibody - BSA Free

Certificate of Analysis

To download a Certificate of Analysis, please enter a lot number in the search box below.

Product Specific Notices for FAM241A Antibody - BSA Free

This product is for research use only and is not approved for use in humans or in clinical diagnosis. Primary Antibodies are guaranteed for 1 year from date of receipt.

Loading...
Loading...
Loading...
Loading...