Skip to main content

FAM189B Antibody - BSA Free

Novus Biologicals, part of Bio-Techne | Catalog # NBP1-88343

Novus Biologicals, part of Bio-Techne
Catalog #
Availability
Size / Price
Qty
Loading...
NBP1-88343
NBP1-88343-25ul

Key Product Details

Species Reactivity

Human, Mouse, Rat

Applications

Immunohistochemistry, Immunohistochemistry-Paraffin, Western Blot, Immunocytochemistry/ Immunofluorescence

Label

Unconjugated

Antibody Source

Polyclonal Rabbit IgG

Format

BSA Free

Concentration

Concentrations vary lot to lot. See vial label for concentration. If unlisted please contact technical services.

Product Specifications

Immunogen

This antibody was developed against Recombinant Protein corresponding to amino acids: LLLPRSHSDPGITTSSDTADFRDLYTKVLEEEAASVSSADTGLCSEACLFRLARCPSPKLLRARSAEKRRPVPTFQKVPLPSGPAPAHSLGDLKGSWPGRGLVTRFLQISRKAPDPSGT

Clonality

Polyclonal

Host

Rabbit

Isotype

IgG

Scientific Data Images for FAM189B Antibody - BSA Free

Immunocytochemistry/ Immunofluorescence: FAM189B Antibody [NBP1-88343]

Immunocytochemistry/ Immunofluorescence: FAM189B Antibody [NBP1-88343]

Immunocytochemistry/Immunofluorescence: FAM189B Antibody [NBP1-88343] - Immunofluorescent staining of human cell line A-431 shows localization to nucleoplasm.
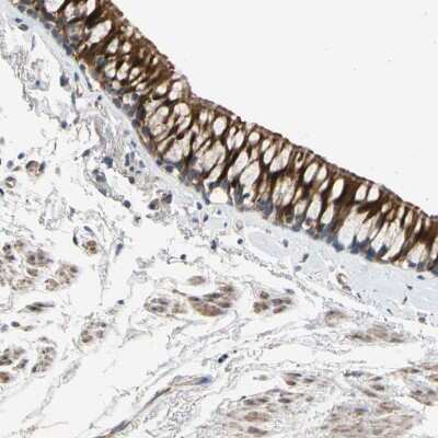
Immunohistochemistry-Paraffin: FAM189B Antibody [NBP1-88343]

Immunohistochemistry-Paraffin: FAM189B Antibody [NBP1-88343]

Immunohistochemistry-Paraffin: FAM189B Antibody [NBP1-88343] - Staining of human bronchus shows strong cytoplasmic positivity in respiratory epithelial cells.
Western Blot: FAM189B Antibody [NBP1-88343]

Western Blot: FAM189B Antibody [NBP1-88343]

Western Blot: FAM189B Antibody [NBP1-88343] - Lane 1: Marker [kDa] 230, 130, 95, 72, 56, 36, 28, 17, 11. Lane 2: Human cell line RT-4. Lane 3: Human cell line U-251MG sp. Lane 4: Human plasma (IgG/HSA depleted). Lane 5: Human liver tissue. Lane 6: Human tonsil tissue

Applications for FAM189B Antibody - BSA Free

Application
Recommended Usage

Immunocytochemistry/ Immunofluorescence

0.25-2 ug/ml

Immunohistochemistry

1:20 - 1:50

Immunohistochemistry-Paraffin

1:20 - 1:50

Western Blot

0.04-0.4 ug/ml
Application Notes
For IHC-Paraffin, HIER pH 6 retrieval is recommended. ICC/IF, Fixation Permeabilization: Use PFA/Triton X-100.

Formulation, Preparation, and Storage

Purification

Affinity purified

Formulation

PBS (pH 7.2) and 40% Glycerol

Format

BSA Free

Preservative

0.02% Sodium Azide

Concentration

Concentrations vary lot to lot. See vial label for concentration. If unlisted please contact technical services.

Shipping

The product is shipped with polar packs. Upon receipt, store it immediately at the temperature recommended below.

Stability & Storage

Store at 4C short term. Aliquot and store at -20C long term. Avoid freeze-thaw cycles.

Background: FAM189B

Alternate Names

C1orf2, chromosome 1 open reading frame 2, COTE1, family with sequence similarity 189, member B, hypothetical protein LOC10712, Protein COTE1

Gene Symbol

FAM189B

Additional FAM189B Products

Product Documents for FAM189B Antibody - BSA Free

Certificate of Analysis

To download a Certificate of Analysis, please enter a lot number in the search box below.

Product Specific Notices for FAM189B Antibody - BSA Free

This product is for research use only and is not approved for use in humans or in clinical diagnosis. Primary Antibodies are guaranteed for 1 year from date of receipt.

Loading...
Loading...
Loading...
Loading...