Skip to main content

FAM151B Antibody - BSA Free

Novus Biologicals, part of Bio-Techne | Catalog # NBP1-90647

Novus Biologicals, part of Bio-Techne
Catalog #
Availability
Size / Price
Qty
Loading...
NBP1-90647
NBP1-90647-25ul

Key Product Details

Species Reactivity

Human

Applications

Immunohistochemistry, Immunohistochemistry-Paraffin, Western Blot, Immunocytochemistry/ Immunofluorescence

Label

Unconjugated

Antibody Source

Polyclonal Rabbit IgG

Format

BSA Free

Concentration

Concentrations vary lot to lot. See vial label for concentration. If unlisted please contact technical services.

Product Specifications

Immunogen

This antibody was developed against Recombinant Protein corresponding to amino acids: MAASAGGPGSWSENILEYFLRNSQITAEDGAEITWYHAANHKAQTNEALKSTAHMIEADVLLPSDGSEHSQPIMAHPPETNSDNTLQEWLTEVMK

Reactivity Notes

Immunogen displays the following percentage of sequence identity for non-tested species: Mouse (87%), Rat (87%)

Clonality

Polyclonal

Host

Rabbit

Isotype

IgG

Scientific Data Images for FAM151B Antibody - BSA Free

Immunocytochemistry/ Immunofluorescence: FAM151B Antibody [NBP1-90647]

Immunocytochemistry/ Immunofluorescence: FAM151B Antibody [NBP1-90647]

Immunocytochemistry/Immunofluorescence: FAM151B Antibody [NBP1-90647] - Immunofluorescent staining of human cell line U-2 OS shows localization to cytosol.
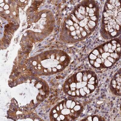
Immunohistochemistry-Paraffin: FAM151B Antibody [NBP1-90647]

Immunohistochemistry-Paraffin: FAM151B Antibody [NBP1-90647]

Immunohistochemistry-Paraffin: FAM151B Antibody [NBP1-90647] - Staining of human colon shows moderate cytoplasmic positivity in glandular cells.
FAM151B Antibody - BSA Free Western Blot: FAM151B Antibody - BSA Free [NBP1-90647]

Western Blot: FAM151B Antibody - BSA Free [NBP1-90647]

Analysis in control (vector only transfected HEK293T lysate) and FAM151B over-expression lysate (Co-expressed with a C-terminal myc-DDK tag (~3.1 kDa) in mammalian HEK293T cells).

Applications for FAM151B Antibody - BSA Free

Application
Recommended Usage

Immunocytochemistry/ Immunofluorescence

0.25-2 ug/ml

Immunohistochemistry

1:50 - 1:200

Immunohistochemistry-Paraffin

1:50 - 1:200

Western Blot

0.04-0.4 ug/ml
Application Notes
For IHC-Paraffin, HIER pH 6 retrieval is recommended. Immunocytochemistry/Immunofluorescence Fixation Permeabilization: Use PFA/Triton X-100.

Formulation, Preparation, and Storage

Purification

Affinity purified

Formulation

PBS (pH 7.2) and 40% Glycerol

Format

BSA Free

Preservative

0.02% Sodium Azide

Concentration

Concentrations vary lot to lot. See vial label for concentration. If unlisted please contact technical services.

Shipping

The product is shipped with polar packs. Upon receipt, store it immediately at the temperature recommended below.

Stability & Storage

Store at 4C short term. Aliquot and store at -20C long term. Avoid freeze-thaw cycles.

Background: FAM151B

Alternate Names

AASA9217, family with sequence similarity 151, member B, hypothetical protein LOC167555, UNQ9217, UNQ9217/PRO28685

Gene Symbol

FAM151B

Additional FAM151B Products

Product Documents for FAM151B Antibody - BSA Free

Certificate of Analysis

To download a Certificate of Analysis, please enter a lot number in the search box below.

Product Specific Notices for FAM151B Antibody - BSA Free

This product is for research use only and is not approved for use in humans or in clinical diagnosis. Primary Antibodies are guaranteed for 1 year from date of receipt.

Loading...
Loading...
Loading...
Loading...