Skip to main content

FAM134B Antibody - BSA Free

Novus Biologicals, part of Bio-Techne | Catalog # NBP1-59817

Novus Biologicals, part of Bio-Techne
Catalog #
Availability
Size / Price
Qty
Loading...
NBP1-59817

Key Product Details

Species Reactivity

Human, Mouse

Applications

Immunohistochemistry, Immunohistochemistry-Paraffin, Western Blot

Label

Unconjugated

Antibody Source

Polyclonal Rabbit IgG

Format

BSA Free

Concentration

1 mg/ml

Product Specifications

Immunogen

Synthetic peptides corresponding to FAM134B The peptide sequence was selected from the middle region of FAM134B. Peptide sequence LSVSDTDVSEVSWTDNGTFNLSEGYTPQTDTSDDLDRPSEEVFSRDLSDF. The peptide sequence for this immunogen was taken from within the described region.

Clonality

Polyclonal

Host

Rabbit

Isotype

IgG

Theoretical MW

39 kDa.
Disclaimer note: The observed molecular weight of the protein may vary from the listed predicted molecular weight due to post translational modifications, post translation cleavages, relative charges, and other experimental factors.

Description

The addition of 50% glycerol is optional for those storing this antibody at -20C and not aliquoting smaller units. However, please note that glycerol may interrupt some downstream antibody applications and should be added with caution.

Scientific Data Images for FAM134B Antibody - BSA Free

Western Blot: FAM134B Antibody [NBP1-59817]

Western Blot: FAM134B Antibody [NBP1-59817]

Western Blot: FAM134B Antibody [NBP1-59817] - 1: HEK293T 2: HEK293T mouse FAM134B over-expression, 1 ug 3: HEK293T mouse FAM134B over-expression, 4 ug 4: HEK293T human FAM134B over-expression, 1 ug 5: HEK293T human FAM134B over-expression, 4 ug. This image was submitted via customer Review.
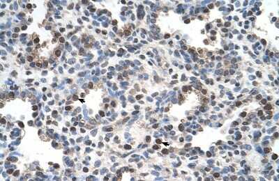
Immunohistochemistry-Paraffin: FAM134B Antibody [NBP1-59817]

Immunohistochemistry-Paraffin: FAM134B Antibody [NBP1-59817]

Immunohistochemistry-Paraffin: FAM134B Antibody [NBP1-59817] - Human Lung Alveolar cells (indicated with arrows), 4-8ug/ml.
Western Blot: FAM134B Antibody [NBP1-59817]

Western Blot: FAM134B Antibody [NBP1-59817]

Western Blot: FAM134B Antibody [NBP1-59817] - Jurkat cell lysate, Antibody Titration: 0.625ug/ml

Applications for FAM134B Antibody - BSA Free

Application
Recommended Usage

Immunohistochemistry

1:10-1:500

Immunohistochemistry-Paraffin

1:10-1:500

Western Blot

1.0 ug/ml

Reviewed Applications

Read 1 review rated 5 using NBP1-59817 in the following applications:

Formulation, Preparation, and Storage

Purification

Protein A purified

Formulation

PBS, 2% Sucrose

Format

BSA Free

Preservative

0.09% Sodium Azide

Concentration

1 mg/ml

Shipping

The product is shipped with polar packs. Upon receipt, store it immediately at the temperature recommended below.

Stability & Storage

Store at 4C short term. Aliquot and store at -20C long term. Avoid freeze-thaw cycles.

Background: FAM134B

The function remains unknown.

Alternate Names

FAM134B protein, family with sequence similarity 134, member B, FLJ20152, FLJ22155, FLJ22179, HSAN2B, JK1

Gene Symbol

RETREG1

Additional FAM134B Products

Product Documents for FAM134B Antibody - BSA Free

Certificate of Analysis

To download a Certificate of Analysis, please enter a lot number in the search box below.

Product Specific Notices for FAM134B Antibody - BSA Free

This product is for research use only and is not approved for use in humans or in clinical diagnosis. Primary Antibodies are guaranteed for 1 year from date of receipt.

Loading...
Loading...
Loading...
Loading...