Skip to main content

FAM127C Antibody (OTI1A6) - Azide and BSA Free

Novus Biologicals, part of Bio-Techne | Catalog # NBP2-71867

Novus Biologicals, part of Bio-Techne
Catalog #
Availability
Size / Price
Qty
Loading...
NBP2-71867

Key Product Details

Species Reactivity

Human

Applications

Immunohistochemistry, Immunohistochemistry-Paraffin, Western Blot, Flow Cytometry, CyTOF-ready

Label

Unconjugated

Antibody Source

Monoclonal Mouse IgG1 Clone # OTI1A6

Format

Azide and BSA Free

Concentration

LYOPH mg/ml

Product Specifications

Immunogen

Full length human recombinant protein of human FAM127C (NP_001071641) produced in HEK293T cell.

Clonality

Monoclonal

Host

Mouse

Isotype

IgG1

Theoretical MW

13.1 kDa.
Disclaimer note: The observed molecular weight of the protein may vary from the listed predicted molecular weight due to post translational modifications, post translation cleavages, relative charges, and other experimental factors.

Description

Novus Biologicals Mouse FAM127C Antibody (OTI1A6) - Azide and BSA Free (NBP2-45699) is a monoclonal antibody validated for use in IHC, WB and Flow. All Novus Biologicals antibodies are covered by our 100% guarantee.

Scientific Data Images for FAM127C Antibody (OTI1A6) - Azide and BSA Free

Western Blot: FAM127C Antibody (OTI1A6)Azide and BSA Free [NBP2-71867]

Western Blot: FAM127C Antibody (OTI1A6)Azide and BSA Free [NBP2-71867]

Western Blot: FAM127C Antibody (OTI1A6) - Azide and BSA Free [NBP2-71867] - Analysis of HEK293T cells were transfected with the pCMV6-ENTRY control (Left lane) or pCMV6-ENTRY FAM127C.
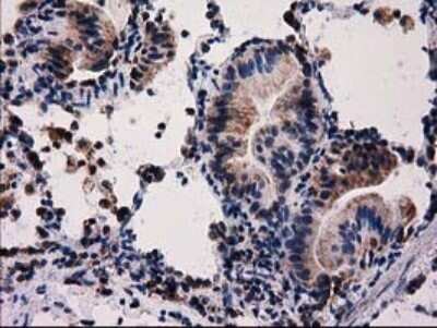
Immunohistochemistry: FAM127C Antibody (OTI1A6) - Azide and BSA Free [NBP2-71867]

Immunohistochemistry: FAM127C Antibody (OTI1A6) - Azide and BSA Free [NBP2-71867]

Immunohistochemistry: FAM127C Antibody (OTI1A6) - Azide and BSA Free [NBP2-71867] - Analysis of Carcinoma of Human lung tissue.
Immunohistochemistry: FAM127C Antibody (OTI1A6) - Azide and BSA Free [NBP2-71867]

Immunohistochemistry: FAM127C Antibody (OTI1A6) - Azide and BSA Free [NBP2-71867]

Immunohistochemistry: FAM127C Antibody (OTI1A6) - Azide and BSA Free [NBP2-71867] - Analysis of Adenocarcinoma of Human colon tissue.

Applications for FAM127C Antibody (OTI1A6) - Azide and BSA Free

Application
Recommended Usage

Flow Cytometry

1:100

Immunohistochemistry

1:150

Western Blot

1:500

Formulation, Preparation, and Storage

Purification

Immunogen affinity purified

Reconstitution

we recommend adding 100uL distilled water to a final antibody concentration of about 1 mg/mL. To use this carrier-free antibody for conjugation experiment, we strongly recommend performing another round of desalting process.

Formulation

Lyophilized from PBS (pH 7.3) with 8% Trehalose

Format

Azide and BSA Free

Preservative

No Preservative

Concentration

LYOPH mg/ml

Shipping

The product is shipped with polar packs. Upon receipt, store it immediately at the temperature recommended below.

Stability & Storage

Store at -20C. Avoid freeze-thaw cycles.

Background: FAM127C

Alternate Names

CXX1c, Family With Sequence Similarity 127 Member C, Family With Sequence Similarity 127, Member C, Mammalian Retrotransposon Derived Protein 8B, Mammalian Retrotransposon-Derived 2, MAR8B, Protein FAM127C, Retrotransposon Gag Like 8B, Retrotransposon Gag-Like Protein 8B, SIRH4, Sushi-Ichi Retrotransposon Homolog 1

Gene Symbol

RTL8B

Additional FAM127C Products

Product Documents for FAM127C Antibody (OTI1A6) - Azide and BSA Free

Certificate of Analysis

To download a Certificate of Analysis, please enter a lot number in the search box below.

Product Specific Notices for FAM127C Antibody (OTI1A6) - Azide and BSA Free

This product is for research use only and is not approved for use in humans or in clinical diagnosis. Primary Antibodies are guaranteed for 1 year from date of receipt.

Loading...
Loading...
Loading...
Loading...
Loading...
Loading...